
Tin tức đời sống 10/2: Người đàn ông đột ngột ngã gục sau khi tăng huyết áp không triệu chứng
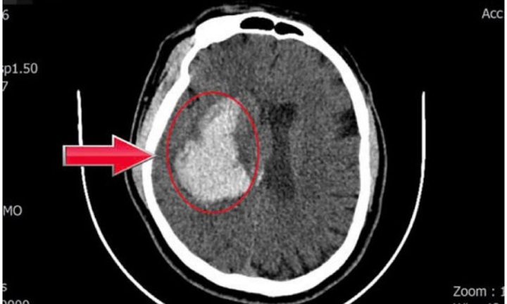
Người đàn ông đột ngột ngã gục sau khi tăng huyết áp không triệu chứng; Bé trai đột ngột ngưng tim...là những tin tức đời sống hôm nay (10/2).

Người đàn ông đột ngột ngã gục sau khi tăng huyết áp không triệu chứng; Bé trai đột ngột ngưng tim...là những tin tức đời sống hôm nay (10/2).

Bác sĩ Tanisha (Ấn Độ) chỉ ra 3 thói quen phổ biến khiến bệnh gan nhiễm mỡ trở nên nghiêm trọng.

Người đàn ông nguy kịch vì vi khuẩn “ăn thịt người”; Ca bệnh đặc biệt nhiễm cùng lúc 5 loại ký sinh trùng...là những tin đời sống đáng chú ý.

Bất ngờ ngất xỉu khi đang học, bé gái rơi vào sốc tim, nguy kịch; 10 phút can thiệp thần tốc giành sự sống cho cụ ông bị ngừng tuần hoàn...là những tin đời sống đáng chú ý.

Theo Bệnh viện Nhân dân 115 (TP.HCM), đơn vị này vừa cứu sống thành công hai mẹ con du khách người Nga sau một tai nạn giao thông nghiêm trọng.

Cứu sống người đàn ông nhiễm "vi khuẩn ăn thịt người"; Chủ quan, thai phụ 28 tuổi đẻ rớt tại phòng trọ ở TP. HCM ...là những tin tức đời sống đáng chú ý.

Sâu răng không điều trị, người đàn ông bị hoại tử lan xuống tận ngực; Dọn nhà đón Tết, người đàn ông ngã từ độ cao 4m, nguy kịch...là những tin đời sống đáng chú ý.

Thói quen sau bữa ăn khiến người đàn ông có ổ mủ trong gan; Can thiệp kịp thời cứu cụ ông sốc tim nguy kịch...là những tin đời sống đáng chú ý.

Các chuyên gia y tế kêu gọi cộng đồng nâng cao nhận thức về 6 yếu tố nguy cơ hàng đầu đang làm gia tăng tỷ lệ đột quỵ, đặc biệt ở nhóm người trẻ tuổi.

Bệnh viện Nhân dân Gia Định vừa tiếp nhận một ca cấp cứu hy hữu khi nữ bệnh nhân 16 tuổi gặp sự cố hy hữu liên quan đến dị vật đường tiết niệu.

Trong khi trà xanh giàu chất chống oxy hóa giúp thải độc và kháng viêm cho gan, thì cà phê lại hỗ trợ cân bằng enzyme và ngăn ngừa gan nhiễm mỡ.

Thay vì phân chia mảnh đất tổ tiên thành những lô nhỏ, hơn 20 gia đình tại Trung Quốc ..........

Sau tiếng nổ lớn, hàng xóm chạy ra kiểm tra thì phát hiện anh Vũ Văn Ch. (42 tuổi) đã tử vong tại chỗ, nghi do nổ pháo tự chế.

Đột quỵ trên sông, người đàn ông thoát nguy nhờ điều này; Kim may đâm sâu vào phế quản bé trai 13 tháng tuổi ...là những tin đời sống đáng chú ý.

Ca mổ thần tốc cứu cụ bà 101 tuổi; TP.HCM sẽ kiểm tra 1.320 cơ sở sau khi loạt đường dây thực phẩm bẩn bị phát hiện...là những tin đời sống đáng chú ý.

Từ 6–9h sáng được coi là "khung giờ nguy hiểm" của đột quỵ do những thay đổi đột ngột về huyết áp và sinh lý cơ thể khi bắt đầu ngày mới

Thời tiết trở lạnh, tại Trung tâm Chống độc - Bệnh viện Bạch Mai liên tiếp ghi nhận nhiều người bệnh vào cấp cứu do ngộ độc khí CO (Carbon monoxide) chủ yếu liên quan đến việc đốt than, củi trong không gian kín để sưởi ấm.

Các yếu tố như cao huyết áp, tiểu đường, béo phì, lạm dụng rượu bia và mỡ máu cao là những "thủ phạm" hàng đầu gây đột quỵ.

Có nhiều phương pháp để thanh lọc và giải độc gan, nhưng xây dựng một chế độ ăn uống khoa học với các thực phẩm phù hợp chính là giải pháp nền tảng và bền vững nhất.

Mật ong được biết đến như một "phương thuốc tự nhiên" quý giá giúp hỗ trợ thanh lọc gan, củng cố hệ miễn dịch và cải thiện chức năng tiêu hóa.

Khi chúng ta ngủ đủ giấc và đúng giờ, gan sẽ hoạt động thải độc hiệu quả hơn, đồng thời cơ thể cũng giảm bớt căng thẳng oxy hóa và phục hồi năng lượng nhanh chóng.

Thiếu niên 16 tuổi mắc bệnh hiếm sau 1 tháng bị chuột cắn; Gắp lắc bạc trong dạ dày bệnh nhi 2 tuổi...là những tin đời sống đáng chú ý.

Sự thay đổi nhiệt độ đột ngột là tác nhân khiến huyết áp trồi sụt thất thường, trở thành tác nhân dẫn đến sốc nhiệt, nhồi máu cơ tim và đột quỵ.

Để phòng ngừa đột quỵ trong mùa lạnh, hãy chú ý giữ ấm, hạn chế tắm muộn, uống nước ấm thường xuyên và tránh tập thể dục khi nhiệt độ xuống quá thấp.

Để quy trình thanh lọc gan đạt kết quả tốt nhất, người dùng cần đặc biệt lưu ý đến thời điểm bổ sung sữa đậu nành vào chế độ dinh dưỡng.

Người phụ nữ đột ngột méo mồm, liệt mặt sau giấc ngủ; Nam sinh bị dập nát bàn tay do pháo nổ ...là một trong những tin đời sống đáng chú ý.

Tình trạng đột quỵ ở trẻ em đang có xu hướng gia tăng, song những triệu chứng mơ hồ thường khiến phụ huynh chủ quan, làm mất đi "thời gian vàng" để cứu chữa.

Gan đóng vai trò thiết yếu đối với sức khỏe cơ thể. Nếu nhận thấy các dấu hiệu cảnh báo gan nhiễm mỡ này, bạn cần chủ động điều chỉnh chế độ ăn uống ngay lập tức.

Dưới đây là các thực phẩm có thể giúp phục hồi và duy trì khả năng giải độc tự nhiên của gan:

Bệnh viện Hữu nghị Việt Nam - Cu Ba Đồng Hới thông tin về trường hợp bệnh nhân 16 tuổi tử vong; Cứu bé 5 tuổi hẹp khí quản kèm bệnh tim bẩm sinh hiếm gặp...là những tin đời sống đáng chú ý.