
Sau bát cháo gà, người đàn ông nhập viện vì miếng xương mắc cổ họng
Liên tiếp các trường hợp mắc dị vật trong quá trình ăn uống, có những bệnh nhân đến viện muộn khi xuất hiện các triệu chứng nặng.

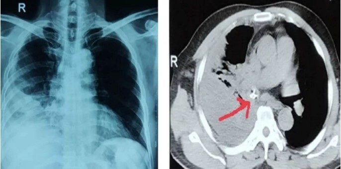
Liên tiếp các trường hợp mắc dị vật trong quá trình ăn uống, có những bệnh nhân đến viện muộn khi xuất hiện các triệu chứng nặng.

Ngay sau khi nhập viện, bệnh nhân được chỉ định nội soi thực quản – dạ dày ống mềm lấy dị vật nhưng không thành công.

Tin tức đời sống mới nhất ngày 17/5/2024. Cập nhật tin đời sống mới nhất ngày 17/5/2024 trên trang Đời sống & Pháp luật.

Tin tức đời sống mới nhất ngày 31/10/2023. Cập nhật tin đời sống mới nhất ngày 31/10/2023 trên trang Đời sống & Pháp luật.

Tin tức đời sống mới nhất ngày 15/10/2023. Cập nhật tin đời sống mới nhất ngày 15/10/2023 trên trang Đời sống & Pháp luật.

Nam bệnh nhân được người nhà chuyển đến Bệnh viện Đa khoa tỉnh Phú Thọ trong tình trạng đau tức ngực và khó thở.

Nhiều năm trở lại đây người đàn ông 31 tuổi ở Phú Thọ thường xuyên cảm thấy đau hậu môn, chảy dịch mủ vàng xanh đục. Gần đây đi khám mới phát hiện mảnh xương gà vùng hậu môn.

Tin tức đời sống mới nhất ngày 18/12/2022. Cập nhật tin đời sống mới nhất ngày 18/12/2022 trên trang Đời sống & Pháp luật.

Tin tức đời sống mới nhất ngày 9/11/2021. Cập nhật tin đời sống mới nhất ngày 9/11/2021 trên trang Đời sống & Pháp luật.

Lo lắng đưa con đến bệnh viện thăm khám, bố mẹ bàng hoàng khi nghe bác sĩ thông báo nguyên nhân.

Tin tức đời sống mới nhất ngày 25/7/2021. Cập nhật tin đời sống mới nhất ngày 25/7/2021 trên trang Đời sống & Pháp luật.

Bị hóc xương gà nhưng bệnh nhân không đến bệnh viện lấy ra mà lại tự ý dùng mẹo chữa, để cả tuần khiến thực quản mưng mủ, nhiễm trùng nặng.

Trong lúc ăn cơm với thịt gà, cụ ông bị mảnh xương dài 4cm đâm thủng thực quản và phải nhập viện cấp cứu.

Trong lúc ăn, chị V. to tiếng với con nên nuốt phải mảnh xương gà lớn, sau đó chị ăn thêm ổi và lê để đẩy dị vật xuống dạ dày nhưng không khỏi, chị phải nhập viện.

Trong lúc vừa ăn vừa xem tivi bé gái 13 tuổi nuốt phải đoạn xương gà lớn, được gia đình đưa đi cấp cứu.

Các bác sỹ phát hiện dị vật là một xương gà chọc thủng ruột non, gây nhiều dịch mủ và dịch tiêu hóa trong ổ bụng bệnh nhân.