
Từ “cửa tử” trở về: Những ca đột quỵ hồi phục kỳ diệu trong đợt giá rét
Thoát “cửa tử” sau đột quỵ, nhiều bệnh nhân cao tuổi đang từng ngày hồi phục giữa giá rét nhờ điều trị kịp thời.

Thoát “cửa tử” sau đột quỵ, nhiều bệnh nhân cao tuổi đang từng ngày hồi phục giữa giá rét nhờ điều trị kịp thời.

Vì sao quan hệ tình dục, chơi thể thao cường độ cao có thể gây đột quỵ? là câu hỏi được nhiều người quan tâm.

Để đối phó với nỗi lo đột quỵ bất ngờ, chế độ ăn uống khoa học, dựa trên những thực phẩm quen thuộc, là chìa khóa giúp cơ thể giảm thiểu nguy cơ bệnh tật.

Lịch sử làm việc cho thấy Tiểu Lạc thường kết thúc công việc lúc nửa đêm; từ tháng 7-10, trung bình mỗi ngày làm việc hơn 13 giờ, tháng 8 có lúc lên tới 14,8 giờ.

Số ca đột quỵ, hay tai biến mạch máu não, ở người trẻ đã gia tăng đáng kể trong những năm gần đây.

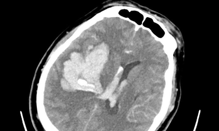
Cụ bà 75 tuổi bất ngờ lên cơn đột quỵ sau khi thức dậy đi vệ sinh lúc 2h sáng, với các triệu chứng méo miệng, chóng mặt, tê bì nửa người trái và mất thăng bằng.

Thời tiết chuyển lạnh đột ngột khiến số lượng bệnh nhân nhập viện vì đột quỵ não gia tăng từ 15-20%. Đặc biệt, căn bệnh đang tấn công mạnh vào người trẻ tuổi.

Người phụ nữ cấp cứu sau khi uống thuốc "xách tay" ngừa đột quỵ; Bệnh viện Đa khoa Đồng Nai được phép ghép thận ...là những tin đời sống đáng chú ý.

Tắm không đúng cách vào mùa đông có thể là nguyên nhân tăng nguy cơ đột quỵ vì cơ thể bạn dễ bị sốc nhiệt đột ngột.

Trong giờ học thể dục, một nữ sinh lớp 9 tại Quảng Trị bất ngờ ngã quỵ và sau đó tử vong.

Ngủ bù, giảm caffeine và ăn uống điều độ là chìa khóa giúp người làm ca đêm tránh xa đột quỵ.

Nam 19 tuổi phải can thiệp cấp cứu lấy huyết khối xoang tĩnh mạch thành công, tái thông toàn bộ các xoang tĩnh mạch lớn trong não sau 1 tuần đau đầu dữ dội.

Nghiên cứu trên hơn 9,3 triệu người đã chỉ ra rằng, 4 yếu tố nguy cơ hàng đầu dẫn đến đột quỵ và nhồi máu cơ tim lại là những điều quen thuộc đến mức gây ngạc nhiên.

Nhận biết các yếu tố nguy cơ từ sớm giúp thay đổi lối sống khoa học, phòng đột quỵ.

Vợ hốt hoảng phát hiện chồng hôn mê sau bữa nhậu từ đêm; TP. HCM lập 5 tổ y tế khẩn cấp chi viện Đắk Lắk ...là những tin đời sống đáng chú ý.

Thói quen ngâm chân đều đặn của người Nhật là một phương pháp bổ trợ hiệu quả, giúp giảm nguy cơ đột quỵ và cải thiện sức khỏe tổng thể.

Người phụ nữ đột quỵ khi đang quét sân; Nam thanh niên bị đinh bắn xuyên mắt khi đang làm việc....là những tin đời sống đáng chú ý.

Đột quỵ không chỉ xảy ra ở người cao tuổi hay người có bệnh nền, mà ngay cả người trẻ cũng có nguy cơ mắc phải.

Trời lạnh làm tăng nguy cơ đột quỵ, đặc biệt là với người cao tuổi và người có bệnh lý nền.

Khi trời trở lạnh hoặc khi nhiệt độ thay đổi đột ngột, nguy cơ đột quỵ sẽ tăng cao.

Phát hiện người đàn ông nằm gục trong nhà vệ sinh, gia đình lập tức gọi 115. Trong lúc chờ lực lượng cấp cứu đến, người vợ cho chồng uống thuốc hạ áp và vắt chanh vào miệng để "cầu may".

Dưới đây là hai loại gia vị quen thuộc bạn có thể bổ sung vào chế độ ăn của mình, giúp ngăn ngừa hình thành cục máu đông, tránh bệnh đột quỵ nguy hiểm.

Các chuyên gia cảnh báo những người mắc bệnh nướu răng có nguy cơ đau tim, đột quỵ hoặc các vấn đề tim mạch nghiêm trọng cao gấp 2-3 lần so với người bình thường

F.A.S.T. là quy tắc nhận biết, xử trí đột quỵ sớm thông qua việc kiểm tra dấu hiệu trên mặt, tay, giọng nói, giúp người bệnh tránh các nguy cơ sức khỏe nghiêm trọng.

Việc nắm rõ nguyên nhân và cách phòng ngừa đột quỵ sẽ giúp bạn giảm tối đa các rủi ro có thể xảy ra, bảo vệ sức khỏe và tính mạng của mình.

Thay đổi lối sống lành mạnh không giúp ngăn ngừa hoàn toàn đột quỵ nhưng góp phần giảm nguy cơ mắc bệnh.

Tưởng đau vai thông thường, nam thanh niên bất ngờ bị đột quỵ; Bé trai chào đời với dây rốn thắt nút thành búi...là những tin đời sống đáng chú ý.

Đột quỵ là một tình trạng bệnh lý cực kỳ nguy hiểm và có thể gây tử vong nếu việc xử trí bị chậm trễ.

Sự thay đổi đột ngột của không khí lạnh khiến cơ thể chưa kịp thích ứng, dễ gây tăng huyết áp, co mạch và dẫn đến đột quỵ.

Các triệu chứng của cơn thiếu máu não cục bộ thoáng qua có thể qua nhanh, nhưng bạn không nên chủ quan, hãy coi đó là dấu hiệu cảnh báo để giảm nguy cơ đột quỵ sớm.