Theo Cổng thông tin Bệnh viện Nhân dân 115, hai du khách này đã được sơ cứu và phẫu thuật mở sọ giải ép tại Bệnh viện Bà Rịa trước khi được chuyển đến Bệnh viện Nhân dân 115 để điều trị chuyên sâu.

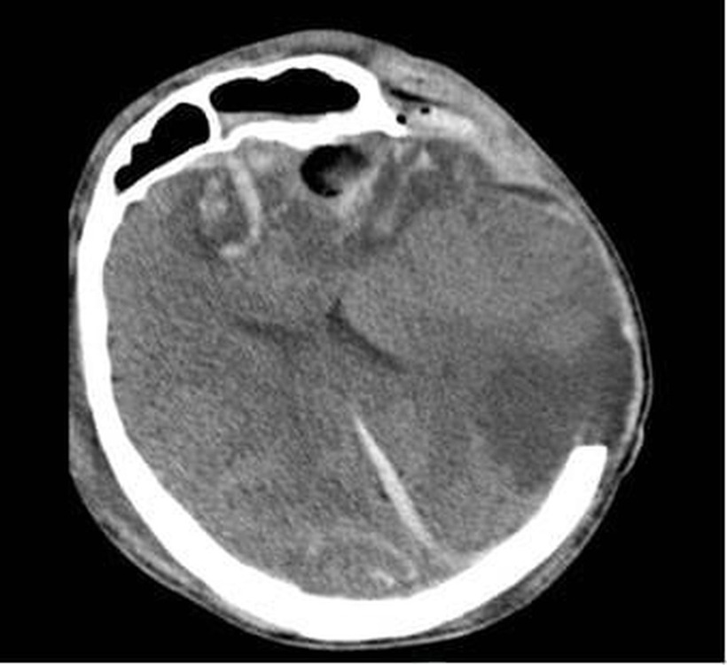
Phim CT não người bệnh G.A. ngày 06/01/2026 cho thấy dập não xuất huyết nhiều nơi, phù não lan tòa dù đã được mở sọ giải ép tối đa. Ảnh: Bệnh viện Nhân dân 115.
Người con trai, G.A. (28 tuổi), nhập viện trong tình trạng hôn mê sâu, phải thở máy. Kết quả chụp CT scan sọ não cho thấy dập não xuất huyết rải rác và phù não lan tỏa, đặt anh vào nguy cơ tử vong cao. Anh G.A. đã được điều trị tích cực tại Đơn vị Hồi sức Ngoại khoa, khoa Gây mê Hồi sức.
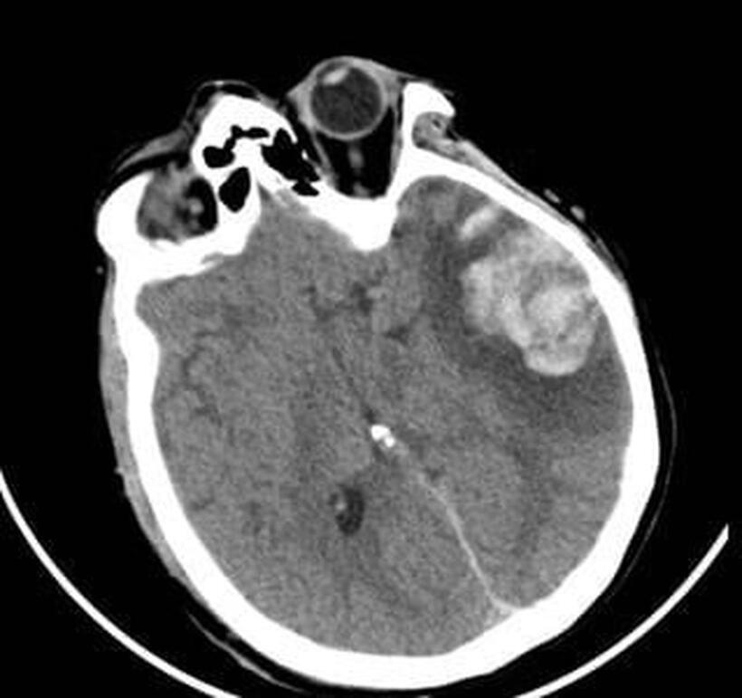
Cùng thời điểm, bà G.N. (53 tuổi), mẹ của anh G.A., cũng nhập viện trong tình trạng lơ mơ, dập não thái dương lượng lớn. Các bác sĩ đã quyết định điều trị bảo tồn thay vì phẫu thuật để tránh tổn thương thứ phát.

Phim CT scan ngày 06/01/2026 người bệnh G.N. cho thấy vùng dập não xuất huyết thái dương lớn kèm phù tổ chức xung quanh. Ảnh: Bệnh viện Nhân dân 115.
Quyết định này đã mang lại hiệu quả tích cực, bà G.N. dần tỉnh táo và cải thiện chức năng ngôn ngữ. Sau 10 ngày điều trị tại khoa Ngoại Thần kinh, bà đã hồi phục và được xuất viện.
Sau hơn 10 ngày hồi sức tích cực, anh G.A. bắt đầu có những phản ứng đầu tiên với kích thích đau. Đến ngày thứ 20, anh đã cai máy thở thành công, tự mở mắt và được chuyển về khoa Ngoại Thần kinh để tiếp tục theo dõi.
Trong suốt quá trình điều trị, do hai mẹ con không có thân nhân tại Việt Nam và gặp rào cản ngôn ngữ, đội ngũ y tế đã thay nhau chăm sóc từ bữa ăn, vệ sinh cá nhân đến động viên tinh thần. Phòng Chỉ đạo tuyến - Công tác xã hội cũng đã chủ động phối hợp với Đại sứ quán Liên bang Nga để kết nối với gia đình hai bệnh nhân tại quê nhà.
Mười ngày sau khi xuất viện, bà G.N. đã trở lại khoa để thăm con trai. Cuộc gặp gỡ đầy xúc động sau quãng thời gian đối mặt với sinh tử đã khiến nhiều người chứng kiến không khỏi nghẹn ngào. Bà G.N. bày tỏ lòng biết ơn sâu sắc đến tập thể y bác sĩ Bệnh viện Nhân dân 115: "Cảm ơn các bạn đã tận tâm giúp đỡ mẹ con tôi vượt qua giai đoạn khó khăn nhất nơi đất khách quê người".
Hiện tại, tình trạng sức khỏe của hai mẹ con đã ổn định và đang hoàn tất các thủ tục để trở về Nga tiếp tục hành trình phục hồi chức năng.










