
Cứu sống ngoạn mục mẹ con du khách người Nga bị chấn thương sọ não nguy kịch
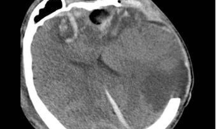
Theo Bệnh viện Nhân dân 115 (TP.HCM), đơn vị này vừa cứu sống thành công hai mẹ con du khách người Nga sau một tai nạn giao thông nghiêm trọng.

Theo Bệnh viện Nhân dân 115 (TP.HCM), đơn vị này vừa cứu sống thành công hai mẹ con du khách người Nga sau một tai nạn giao thông nghiêm trọng.

Tưởng chỉ là viêm mắt thông thường, nam thanh niên suýt đối mặt nguy cơ mù lòa do bệnh lý mạch máu não hiếm gặp sau tai nạn giao thông.

Tạm giữ hình sự La Văn Lộc; Thông đồng với em họ, chiếm đoạt ma túy của người yêu cũ để sử dụng...là những tin pháp luật nổi bật 24h qua.

Tà áo dài cuốn vào bánh xe đạp điện đã khiến một nữ sinh 15 tuổi bị kéo ngã xuống đường, dẫn đến chấn thương sọ não.

Ngôi sao truyền hình thực tế Giải Hiểu Đông đã qua đời ở tuổi 30 sau một thời gian dài điều trị chấn thương sọ não.

Đang đi trên đường, người phụ nữ 37 tuổi bất ngờ bị một cây lớn đổ xuống, đập trúng đầu, khiến cô bị chấn thương sọ não nghiêm trọng.

Billy Vigar, cựu cầu thủ của Arsenal qua đời ở tuổi 21 sau khi dính chấn thương não nghiêm trọng trong một trận đấu.

Trong lúc nhậu, 2 bên đã xảy mâu thuẫn, cự cãi, sau đó dẫn đến xô xát Hùng giật được cây sắt tròn, đánh vào vùng đầu của T và B khiến 2 người bị chấn thương sọ não.

Cơ quan Công an tỉnh Quảng Ngãi đã bắt giữ nghi phạm ném đá gây chấn thương sọ não cho một sinh viên Lào. Đối tượng này có 3 tiền án, vừa ra tù vào tháng 6/2025.

Cứu người đàn ông bị xuất huyết ruột non rất hiếm gặp; Gia đình tự ý thuốc nam trị khối “lạ” ở bụng, bé 8 tuổi vào viện… là tin tức đời sống mới nóng ngày 15/7.

Làm việc với công an, nghi phạm khai nhận do cần tiền trả nợ vay qua hình thức thuê tài khoản iCloud trên điện thoại nên nảy sinh ý định cướp vàng của bà.

Cơ quan Cảnh sát điều tra Công an tỉnh Đồng Nai tạm giữ hình sự 5 đối tượng trong vụ nam sinh bị đánh hội đồng ở TP.Biên Hòa để điều tra, làm rõ hành vi giết người.

Mang thai ở tuần 26 không may gặp tai nạn giao thông, khiến sản phụ chấn thương sọ não nghiêm trọng. May mắn sau 70 ngày chiến đấu hai mẹ con đã vượt cửa tử.

Trong cơn cuồng ghen cùng men rượu, Ksor Hinh ra tay đánh đứa con riêng của "vợ hờ " chấn thương sọ não, để lại nỗi đau không gì bù đắp được.

Thấy người tình dẫn 2 con đi khỏi phòng trọ, Ksor Hinh cầm một cây gậy gỗ dài khoảng 1,2 m đánh trúng bé gái 8 tuổi, khiến cháu bé bị chấn thương sọ não nặng.

Nỗ lực giành sự sống cho bệnh nhân ngưng tim hơn 60 phút; Nhân viên y tế hiến máu cứu người bệnh chấn thương sọ não… là những tin tức đời sống đáng chú ý ngày 4/3.

Cụ ông bị ung thư gan cất tiếng hát khi đang phẫu thuật; Bé 5 tuổi phổi đông đặc do mắc cúm A và sởi… là những tin tức đời sống đáng chú ý ngày 3/3.

Hơn 100 phút căng thẳng cứu em bé bị chấn thương sọ não; Cụ ông 71 tuổi đột ngột ngất xỉu trong bữa cơm… là những tin tức đáng chú ý ngày 12/2.

Phẫu thuật trong đêm cứu bé 5 tuổi bị chấn thương sọ não; Chồng hiến thận cứu vợ bị suy thận giai đoạn cuối… là những tin tức đời sống đáng chú ý ngày 9/2.

Nam thanh niên 21 tuổi sau buổi tiệc tất niên đã nhờ bạn chở về, không may gặp tai nạn dẫn đến chấn thương sọ não nghiêm trọng.

Thông tin mới vụ ngộ độc thuốc diệt chuột ở Tuyên Quang; Cụ ông phải phẫu thuật sau lần va đầu nhẹ vào cửa… là những tin tức đời sống đáng chú ý ngày 25/1.

Liên quan vụ người đàn ông bị đánh nguy kịch ở Bình Dương, nghi phạm Hiền khai lên mạng xã hội và biết nạn nhân đang nguy kịch, khó qua khỏi nên đã đi đầu thú.

Liên quan vụ người đàn ông bị đánh nguy kịch ở Bình Dương, nghi phạm Hiền khai đánh người do mâu thuẫn sau khi va chạm giao thông.

Vô tình vặn tay ga xe máy, bé 3 tuổi chấn thương sọ não; Người đàn ông bị thương tích nặng vùng đầu, mặt do pháo nổ… là những tin tức đời sống đáng chú ý ngày 26/12.

Phạm Trung Trưởng và Nguyễn Quang Sáng giật túi xách của người phụ nữ đi bộ khiến nạn nhân ngã đập đầu xuống đường, chấn thương sọ não.

Vào ngày xảy ra sự cố trên, trẻ vô tình vặn tay ga xe máy khiến chiếc xe lao về phía trước, va chạm với xe máy khác và trẻ bị ngã.

Nạn nhân hôn mê khi nhập viện, chỉ số sinh hiệu ổn định. Chẩn đoán sơ bộ cho thấy chấn thương sọ não nặng do tai nạn.

Tin tức đời sống mới nhất ngày 19/10/2024. Cập nhật tin tức đời sống mới nhất ngày 19/10/2024 trên trang Đời sống & Pháp luật.

Một nữ sinh 14 tuổi đã qua đời tại bệnh viện sau một thời gian dài điều trị tích cực, nguyên nhân do chấn thương sọ não sau 2 tháng cha mẹ gửi vào trường huấn luyện.

Khi bé trai chơi ở nhà cạnh cửa kéo, vô tình làm rớt thanh ray cửa sắt lùa, đầu thanh sắt đâm vào đỉnh đầu bé, chảy nhiều máu.