Mảnh đạn đã nằm 40 năm trong người ông K., gây ra ổ áp xe lớn khiến ông vô cùng đau đớn, nhưng do bác sĩ nói không lấy ra được nên ông đành phải "sống chung".
Ngày 26/3, thông tin từ Bệnh viện Đại học Y dược (ĐHYD) TP. HCM cho biết nơi đây vừa mổ gắp viên đạn nằm trong cơ thể một bệnh nhân 40 năm gây ổ áp xe khổng lồ.
Bệnh nhân là ông V.Đ. K. (69 tuổi), ngụ Nghệ An. Trước đó ông K. nhập viện trong tình trạng vùng hông bị sưng tấy, đau dữ dội kèm sốt cao.
Khai thác bệnh sử, các bác sĩ được biết ông K. từng nhập ngũ năm 28 tuổi và đã bị trúng đạn vào vùng hông phải trong lúc chiến đấu. Vị trí viên đạn nằm sâu trong vùng lưng hông. Lúc đó, trong điều kiện khó khăn, các bác sĩ quân y chỉ lấy được một mảnh đầu của viên đạn ra khỏi người ông, phần còn lại của viên đạn vẫn còn kẹt trong cơ thắt lưng không thể gắp ra được.
Trải qua 40 năm, những cơn đau thoáng qua cứ bám theo ông. Dù đã đi khám nhiều lần, nhưng đa số các bác sĩ đều cho rằng việc lấy viên đạn ra là không khả thi, do viên đạn đã đi sâu vào trong cơ của vùng hông chậu. Vì vậy, ông quyết định cam chịu và “so kè” độ chai lì của bản thân cùng với viên đạn. Thậm chí ông đã từng coi viên đạn như một phần thân thể của mình.
Gần đây, vùng hông của ông bị sưng tấy, đau dữ dội kèm sốt cao và không đáp ứng với các loại thuốc mà chú đang điều trị. Tình trạng ngày càng trở nặng hơn nên ông được người nhà đưa đến Bệnh viện Đại học Y Dược TP. HCM thăm khám.
Ổ áp xe khổng lồ ở thắt lưng người đàn ông. Ảnh: BVCC |
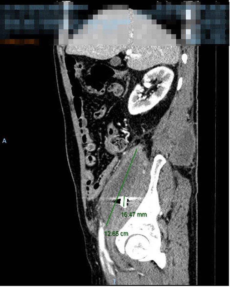
Qua thăm khám toàn diện, chụp cắt lớp điện toán vùng bụng, các bác sĩ phát hiện bệnh nhân có một ổ áp xe to tại vùng cơ thắt lưng chậu phải, ổ áp xe đã lan ra sau lưng. Sâu bên trong ổ áp xe có ghi nhận hình ảnh nghi ngờ của mảnh kim loại, tương ứng với mảnh đạn từng kẹt lại trong người bệnh nhân.
Kết quả xét nghiệm máu cho thấy tình trạng bạch cầu máu của ông K. tăng cao, dấu hiệu nhiễm trùng nặng. Với chẩn đoán áp xe lớn cơ thắt lưng chậu bên phải nghi do mảnh đạn, các BS khoa Ngoại tiêu hóa của BV đã chỉ định mổ cấp cứu cho ông K.
Êkip phẫu thuật cho ông K. Ảnh: BSCC |
ThS-BS Lê Châu Hoàng Quốc Chương, người phẫu thuật trực tiếp cho ông K, chia sẻ: Đánh giá trước mổ, khả năng lấy viên đạn rất khó khăn vì viên đạn sau 40 năm đã “chui” vào rất sâu trong cơ thắt lưng chậu bên phải. Tuy nhiên, nếu chỉ xử lý ổ áp xe mà không lấy mảnh đạn thì chắc chắn ổ nhiễm trùng sẽ tái phát.
Sau khi rạch phá rộng ổ áp xe, đã lấy ra hơn 500ml mủ đặc. Với mong muốn tha thiết được các bác sĩ lấy mảnh đạn ra khỏi cơ thể để không còn bị hành hạ bởi các cơn đau của người bệnh, cùng quyết tâm cứu chữa cho người bệnh của êkip các bác sĩ phẫu thuật và sự hỗ trợ của các trang thiết bị đầy đủ, mảnh đạn đã được lấy ra khỏi ổ bụng của người bệnh với kích thước 1x1cm, nhiều cạnh sắc”.
Mảnh đạn lạc được lấy ra khỏi người ông K. Ảnh: BVCC |
Sau phẫu thuật, ông K. được điều trị chăm sóc hậu phẫu tại khoa Ngoại Tiêu hóa. Chỉ sau 2 ngày tình trạng nhiễm trùng của ông đã thuyên giảm rõ rệt. Ông hết sốt, hết đau hông lưng, ổ áp xe nhỏ dần và biến mất. Ông được xuất viện sau 1 tuần điều trị.
TS-BS Ung Văn Việt – Khoa Ngoại Tiêu hóa BV ĐHYD, người thăm khám trực tiếp và chỉ định mổ cho ông K, khuyến cáo: "Các trường hợp có dị vật trong cơ thể nên phẫu thuật lấy ra sớm, nhằm tránh biến chứng như trường hợp của ông K. Nếu nghi ngờ có di vật trong người, cần đến cơ sở y tế khám bệnh để được xác định chẩn đoán kịp thời. Dị vật khi vào trong mô mềm không ở yên mà có thể di chuyển (do vận động, do co cơ…) nên lần phát hiện đầu tiên sẽ có cơ hội lấy ra thành công cao nhất. Dị vật khi ở trong cơ thể, có thể “im lặng” trong thời gian dài, nhưng sẽ bộc phát nhiễm trùng bất kì lúc nào".
Minh Minh(T/h)













