Tin tức đời sống mới nhất ngày 27/4/2020. Cập nhật tin đời sống mới ngày 27/4/2020 trên trang Đời sống & Pháp luật.
Ngực thủng lỗ sâu hoắm vì tiêm silicon ‘nâng cấp vòng 1’
Vết thương do tiêm silicon nâng ngực tạo thành chiếc "giếng sâu". |
Ngày 26/4, TS.BS Nguyễn Phan Tú Dung, Giám đốc bệnh viện thẩm mỹ JW cho biết, vừa cứu kịp thời của một nữ bệnh nhân bị một lỗ thủng sâu ở ngực phải, vùng da ngực bị hoại tử nham nhở gần 6cm2, liên tục chảy máu và dịch vàng.
Bệnh nhân N.T.T.H (40 tuổi, ngụ tại TPHCM) cho biết, đã 2 lần nâng ngực bằng cách tiêm silicon lỏng ở Trung Quốc. Lần đầu là cách đây khoảng 20 năm, sau khi tiêm silicon được một thời gian, chị H. thấy vẫn chưa hài lòng nên đã quyết định tiêm lần 2 (cách đó 5 năm) cũng tại Trung Quốc.
Đầu năm 2020, bỗng nhiên ngực phải ngày càng căng cứng và xuất hiện nhiều đốm màu tím và ngày càng sậm màu. Điển hình nhất là suốt 1 tháng gần đây, ngực xuất hiện một lỗ thủng sâu, to và miệng vết thương liên tục chảy dịch vàng đục, cộng với việc quá đau nhức nên chị H. quyết định đi khám.
TS.BS Tú Dung nhận định đây là trường hợp hoại tử ngực do tiêm silicon lỏng nên cần phải cấp cứu khẩn cấp.
“Do trước đó bệnh nhân đã tiêm silicon lỏng vào vùng ngực để ngực to hơn. Tuy nhiên, vì tiêm silicon quá nhiều và mũi tiêm quá sâu, nên đã chọc thẳng vào cả mô tuyến và cơ ngực. Hậu quả là tạo thành các khối u xơ cứng và các khối áp-xe quá to đã phá hủy thành ngực, các mô mềm tạo thành "lỗ rò lớn ngoài da", BS Tú Dung cho biết.
Theo BS Tú Dung, nguyên nhân chính là vì silicon đã ngấm vào các mô mỡ và mạch máu, gây ra hoại tử và biến chứng nặng nề khiến vùng ngực bị đâm thủng và vùng da bị hoại tử, khó xác định ranh giới mô tuyến, mô cơ với silicon. Đây cũng chính là điểm khó khăn nhất trong quá trình thực hiện giải phẫu tách triệt để các khối silicon ra khỏi ngực của bệnh nhân.
Suốt 5 giờ đồng hồ, bệnh nhân đã được các BS nạo vét các khối silicon đóng vón cục, cắt lọc mô hoại tử, tạo hình khép lỗ thủng trên ngực phải. Hiện, bệnh nhân đã ổn định và tiếp tục tiêm truyền kháng sinh để ngăn ngừa nhiễm trùng.
“Đây là ca biến chứng thứ 3 hoại tử ngực do bơm silicon lỏng vào ngực mà Bệnh viện thẩm mỹ JW tiếp nhận trong hơn một tuần qua”, BS Tú Dung chia sẻ.
Kỳ lạ bê con "2 đầu, 2 lưng" chào đời ở Mỹ
Con bê có 2 đầu, gắn liền với 2 cột sống, 1 xương chậu. |
Một con bê đột biến hai đầu đã được sinh ra tại một trang trại ở Mỹ trước sự kinh ngạc của gia đình người nông dân. Mọi người trong trang trại khẳng định chưa bao giờ nhìn thấy bất cứ điều gì như vậy suốt 5 thế hệ.
Scott Kolousek ở Wessington Springs, Nam Dakota, Mỹ chính là người đã phát hiện ra một trong những con bò nhà mình gặp khó khăn trong quá trình sinh nở. Vào thời điểm đó, Scott và gia đình đã chào đón một nửa lứa bê trong mùa sinh sản năm 2020 và tất cả những con bò khác trong trang trại đều sinh sản bình thường.
Chân trước và đầu bê chui ra ngoài đầu tiên và mọi thứ dường như vẫn bình thường cho đến khi bò mẹ bỗng nhiên khó sinh, phải tiến hành mổ đẻ. Đến lúc này, lý do mới được tiết lộ.
“Chúng tôi không biết con bê là bất thường cho đến khi bác sĩ mổ lấy thai. Chúng tôi chưa bao giờ có một con bê 2 đầu nào dù mỗi năm có khoảng 700 con bê được sinh ra và việc này đã được thực hiện qua nhiều thế hệ.
Chồng tôi là thế hệ thứ năm trong trang trại. Tuy nhiên, đây là lần đầu tiên đối với chúng tôi”, vợ của người nông dân là Amber cho biết.
“Tất cả chúng tôi đều rất sốc khi thấy con bê 2 đầu nằm trên tay bác sĩ.”, Amber nói thêm.
Mọi người ở Wessington Springs, kể cả bác sĩ thú y cũng chưa bao giờ thấy bất cứ điều gì như vậy trong cuộc sống thực. Đáng buồn là con bê đã không thể sống sót sau khi sinh.
Nhiều khả năng trong quá trình thụ thai, một trứng đã tách ra để trở thành cặp bê sinh đôi giống hệt nhau. Tuy nhiên, quá trình này đã gặp trục trặc khi không phân tách hoàn toàn.
Vì vậy, con vật này đáng lẽ ra phải là 2 con bê nhưng lại bị dính liền với nhau. Trên thế giới đã có những trường hợp tương tự như vậy nhưng các con vật đa phần đều không thể sống sót quá lâu. Kể cả khi sống sót được, sẽ rất khó để bê con có thể đứng dậy và di chuyển xung quanh.
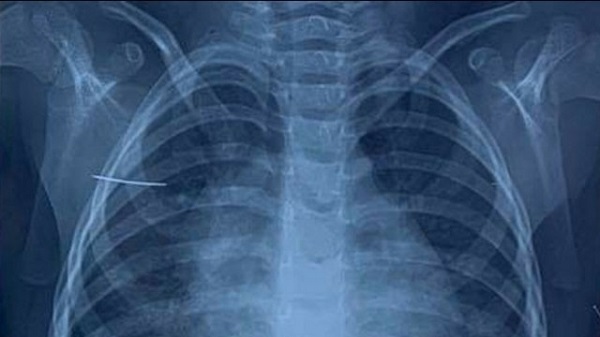
Gắp kim khâu 4cm trong cơ thể bé gái 3 tuổi
Trên phim chụp X-quang của bệnh nhi. Ảnh do BV cung cấp. |
Theo thông tin tử bệnh viện Nhi Trung ương, ngày 23/4, các bác sĩ Khoa Ngoại tổng hợp đã thực hiện ca mổ nội soi kéo dài 1 giờ, gắp ra từ cơ thể bé gái 3 tuổi một chiếc kim khâu dài khoảng 4 cm.
Gia đình bệnh nhi cho biết, 2 ngày trước khi nhập viện, trong lúc chơi đùa bé gái P.D.C (huyện Bình Giang, tỉnh Hải Dương) vô tình nằm đè vào chiếc kim khâu. Sau tai nạn, bé có biểu hiện đau vùng vai phải nên đã được gia đình đưa đến khám tại bệnh viện tỉnh. Tại đây, các bác sĩ bệnh viện tỉnh đã phát hiện có dị vật ở lồng ngực bên phải của bé, nghi là chiếc kim khâu. Ngay lập tức, cháu được chuyển tới bệnh viện Nhi Trung ương.
Tại bệnh viện Nhi Trung ương, khi tiến hành cho bệnh nhi chụp X-quang và cắt vi tính lồng ngực, các bác sĩ phát hiện dị vật hình kim khâu nằm tại vị trí mặt trước xương bả vai. Cháu C. được chỉ định phẫu thuật để lấy vị vật ra khỏi cơ thể.
Bác sĩ Nguyễn Minh Khôi, khoa Ngoại tổng hợp, người trực tiếp phẫu thuật cho bé C. chia sẻ: “Trong quá trình phẫu thuật nội soi bằng 03 trocar đi vào tổ chức giữa cơ dưới vai và cơ thang, các bác sĩ phát hiện dị vật nằm lẫn trong các sợi cơ là chiếc kim khâu dài 3.8cm, đầu nhọn. Sau 1 giờ, dị vật đã được lấy ra hoàn toàn, không đứt gãy”.
TS, BS Phạm Duy Hiền, Phó Giám đốc bệnh viện Nhi Trung ương, Trưởng khoa Ngoại Tổng hợp cho biết, dị vật sắc nhọn chui vào cơ thể là một tai nạn sinh hoạt nguy hiểm nhưng khá thường gặp ở trẻ em. Phẫu thuật lấy dị vật còn là thử thách trong các trường hợp dị vật nhỏ, di chuyển và nằm lẫn trong các khối cơ sâu.
Trong trường hợp của cháu C., dị vật được các bác sĩ xác định chính xác nhờ phim chụp cắt lớp 128 dãy có dựng hình kết hợp phẫu thuật nội soi vào khoang dưới cân nông giúp giảm sang chấn, tổn thương tổ chức và thẩm mỹ sau mổ.
Sau phẫu thuật 4 tiếng, bé C đã nhanh chóng trở lại sinh hoạt bình thường.
Phát hiện người thân vẫn còn sống sau khi đã nhận tro cốt từ bệnh viện
Một phụ nữ ở Ecuador biết rằng chị gái mình còn sống sau khi đã nhận được tro cốt từ bệnh viện - Ảnh: Minh hoạ. |
Theo Reuters, bà Alba Maruri, 74 tuổi, được đưa vào phòng chăm sóc đặc biệt ngày 27/3 vì bị sốt cao và khó thở. Nhân viên y tế nói với gia đình sau ngày hôm đó rằng bà đã chết, em gái người đã khuất, bà Aura nói với Reuters.
Một tuần sau, cơ quan y tế bàn giao cho người thân một thi thể họ nghĩ là bà Maruri. Đến hôm 24/4, các nhân viên y tế đã đến nhà của gia đình bà Maruri.
“Xe cứu thương đến với một bác sĩ, một bác sĩ tâm thần và nhân viên xã hội. Họ đã xin lỗi và họ nói với chúng tôi chị gái của tôi còn sống. Chúng tôi rất sốc”, bà Aura Maruri nói. “Những gì xảy ra là phép màu của Chúa”.
Bà Maruri bị nghi nhiễm Covid-19 nhưng không được xác nhận vì bà không được xét nghiệm.
Gia đình không thể đến thăm bà cho đến hôm 25/4 vì các biện pháp giới nghiêm để ngăn chặn sự lây lan của virus.
Bà Aura Maruri nói rằng bà không biết phải làm gì với chiếc hộp kim loại giữ tro cốt của xác chết bị đưa tới do nhầm lẫn.
Được biết dịch Covid-19 khiến hệ thống y tế, nhà tang lễ, nhà xác ở một thành phố Ecuador quá tải. Một số người phải chờ đợi nhiều ngày để nghe tin tức về người thân, hoặc chờ nhận thi thể về an táng.
Guayaquil, thành phố có 2,7 triệu dân, là thủ phủ của tỉnh Guayas. Thành phố này chiếm 68% số ca Covid-19 của Ecuador. Tuy nhiên, chính quyền cho biết điều tồi tệ nhất vẫn chưa xảy đến khi Guayaquil đang bị quá tải bởi cuộc khủng hoảng y tế.
Tại bệnh viện lớn nhất thành phố - Los Ceibos, cuộc khủng hoảng đang diễn ra ngày một tồi tệ hơn. Trên mạng xã hội, các đoạn video ghi lại hình ảnh trong bệnh viện cho thấy những thùng chứa thi thể người đươc che phủ bằng tấm bạt đen.
Ở phía bên kia, mọi người đeo khẩu trang chờ đợi. Nhiều người trở nên mất bình tĩnh vì họ đã phải đợi nhiều ngày để có tin tức về người thân của mình.
Giới chức Guayaquil đã tiếp nhận hàng nghìn thùng các-tông dùng làm quan tài khi số ca tử vong vì Covid-19 tăng lên. Số người chết tăng lên nhanh và dồn dập khiến thành phố không còn đủ quan tài để chôn cất người chết.
Quỳnh Chi (T/h)









