Mất thị lực, nguy cơ sống thực vật sau khi uống cồn pha nước lọc
VTC News dẫn thông tin từ Bệnh viện Đa khoa tỉnh Phú Thọ cho biết, các bác sĩ đang cấp cứu, điều trị cho hai bệnh nhân ngộ độc cồn methanol.
Ở trường hợp thứ nhất, một ngày sau khi uống hết 100 ml cồn 90 độ pha với 500 ml nước lọc, nam bệnh nhân bị đau bụng, nôn ra dịch nâu, mắt mờ dần. Anh được chuyển tuyến đến Bệnh viện Đa khoa tỉnh Phú Thọ trong tình trạng mất thị lực, kết quả xét nghiệm cho thấy có tình trạng toan hóa máu.
Bệnh nhân được chẩn đoán ngộ độc methanol, phải lọc máu cấp cứu. Dù sau đó được chuyển lên khoa Chống độc Bệnh viện Bạch Mai điều trị nhưng người này vẫn bị mất thị lực.
Trường hợp thứ 2 là người đàn ông 66 tuổi, uống phải cồn giả pha nước lọc. Một ngày sau, ông bị đau đầu, mắt mờ dần, vật vã kích thích, sau đó hôn mê. Bệnh nhân nhập viện trong tình trạng hôn mê sâu, toan chuyển hóa nặng do ngộ độc methanol.

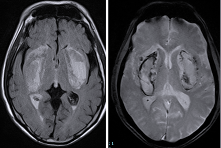
Kết quả chụp cộng hưởng từ sọ não cho thấy có tổn thương nhồi máu, hoại tử, chảy máu nhân bèo hai bên – dạng tổn thương não điển hình do ngộ độc methanol. Dù được hồi sức tích cực, lọc máu, thở máy nhưng tình trạng người bệnh vẫn rất nặng, hôn mê sâu, có nhiều nguy cơ lâm vào tình trạng sống thực vật.
Theo thạc sĩ Bùi Tất Luật ở khoa Cấp Cứu Bệnh viện đa khoa tỉnh Phú Thọ, thời gian gần đây, tình trạng ngộ độc methanol đang có xu hướng gia tăng.
Methanol thường được gọi là cồn công nghiệp, giá rất rẻ nên dễ bị kẻ xấu sử dụng làm rượu giả, cồn giả pha nước (thay cho ethanol). Nhiều người mua cồn y tế hay các sản phẩm dán nhãn ethanol nhưng thành phần lại chứa methanol, thậm chí nồng độ methanol rất cao.
Cồn giả trông giống như cồn thật nhưng chứa methanol, được hấp thu dễ dàng qua đường tiêu hóa, qua da hoặc qua đường hô hấp và gây ngộ độc. Do methanol được cơ thể chuyển hóa và thải trừ chậm, gây ngộ độc cũng chậm nên nếu tiếp xúc mức độ ít trong thời gian dài hoặc lặp lại nhiều lần, nó sẽ tích lũy trong cơ thể và gây ngộ độc sau nhiều ngày.
Người phụ nữ bị xoắn hoại tử mạc nối lớn đại tràng góc gan
Bệnh viện Bãi Cháy Quảng Ninh đã phẫu thuật cấp cứu cho một bệnh nhân N.M.N (nữ, 63 tuổi, trú tại Quảng Long, Hải Hà, Quảng Ninh) bị xoắn hoại tử mạc nối lớn đại tràng góc gan, theo thông tin trên báo Sức Khỏe & Đời Sống.
Bệnh nhân vào viện trong tình trạng đau bụng 3 ngày, kèm theo gai sốt, không nôn, đại tiểu tiện được. Kết quả khám lâm sàng và cận lâm sàng của bệnh nhân cho thấy: bụng chướng, ấn đau vùng mạn sườn và hạ sườn phải. Phản ứng thành bụng mạn sườn, hạ sườn phải rõ.
Qua thăm khám và hội chẩn, bệnh nhân được chẩn đoán xoắn hoại tử mạc nối lớn đại tràng góc gan, có chỉ định phẫu thuật nội soi cấp cứu. Hơn một giờ, kíp phẫu thuật do ThS.BS Đỗ Chí Nhàn - Phó trưởng khoa Ung bướu 1 Bệnh viện Bãi Cháy và ekip đã phẫu thuật thành công cho bệnh nhân. Hiện tại, sức khỏe của bệnh nhân ổn định.
XEM THÊM: Bệnh thận mạn có xu hướng trẻ hóa, bác sĩ chỉ ra nguyên nhân từ thói quen sinh hoạt
ThS.BS Đỗ Chí Nhàn cho biết: "Xoắn mạc nối lớn là tình trạng hiếm gặp, nguyên nhân của xoắn mạc nối nguyên phát có thể do mạc nối, cuống mạc nối quá dài, và sự gia tăng thể tích ở phần xa của mạc nối do sự lắng đọng mỡ hoặc do mạc nối chẻ đôi.
Cơ chế gây xoắn mạc nối gồm chấn thương, béo phì, hoạt động thể lực, ho, mang thai, thay đổi tư thế đột ngột hoặc ruột bị chèn ép giữa gan và thành bụng gây tăng nhu động, phẫu thuật vùng bụng và sự rung động liên tục của mạc nối do nhu động ruột. Xoắn mạc nối thứ phát thường gặp hơn do dính, thoát vị sau phẫu thuật.
Xoắn mạc nối lớn nếu không được điều trị kịp thời có dẫn đến biến chứng nghiêm trọng như hoại tử mạc nối, vỡ mạch máu gây xuất huyết, áp xe ổ bụng, viêm phúc mạc hoặc tắc ruột gây nhiễm trùng, nhiễm độc ổ bụng, ảnh hưởng đến tính mạng người bệnh nếu không được chẩn đoán và điều trị can thiệp cấp cứu kịp thời".
Cấp cứu bệnh nhân bị suy hô hấp mức độ nguy kịch
Báo Sức Khỏe & Đời Sống đưa tin, khoa Cấp cứu Bệnh viện Trung ương Thái Nguyên vừa tiếp nhận, cấp cứu kịp thời và điều trị thành công cho người bệnh N.V.C (SN 1965, ở phường Tân Thịnh, TP.Thái Nguyên, tỉnh Thái Nguyên) bị suy hô hấp mức độ nguy kịch.
Khai thác thông tin ban đầu được biết, bệnh nhân có tiền sử bệnh phổi tắc nghẽn mạn tính đã lâu, vẫn điều trị ngoại trú theo sổ. Tuy nhiên, trước ngày phải nhập viện cấp cứu, người bệnh đột ngột xuất hiện cơn khó thở cấp tính. Dù đã được cấp cứu và xử lý tại tuyến cơ sở nhưng tình trạng bệnh không thuyên giảm thậm chí người bệnh ngày càng khó thở hơn, mệt nhiều, kích thích, vã mồ hôi và phải thở gắng sức.
Sau khi được chuyển cấp cứu đến Bệnh viện Trung ương Thái Nguyên, người bệnh được các bác sĩ, nhân viên y tế khoa Cấp cứu tiến hành cấp cứu và đánh giá có tình trạng suy hô hấp mức độ nguy kịch.

Ngay lập tức, người bệnh được chỉ định đặt ống nội khí quản, thở máy hỗ trợ, dùng thuốc giãn phế quản đường tĩnh mạch. Sau 1 ngày, người bệnh tiến triển tốt, các bác sĩ đã tiến hành cai máy thở và rút ống nội khí quản chuyển thở oxy kính cho người bệnh. Sau 3 ngày điều trị, người bệnh hoàn toàn ổn định và được xuất viện trở về nhà.
Được ra viện sớm hơn so với những người bệnh khác, bệnh nhân và gia đình rất phấn khởi, không quên gửi lời cảm ơn chân thành đến đội ngũ bác sĩ, nhân viên khoa Cấp cứu đã tận tình cứu chữa, cấp cứu qua cơn nguy kịch. Đây không chỉ là niềm vui của riêng người bệnh và gia đình mà còn là niềm vui chung của tập thể cán bộ các y bác sĩ.
Theo khuyến cáo của các bác sĩ, những trường hợp người bệnh, người dân có bệnh phổi tắc nghẽn mạn tính khi xuất hiện cơn khó thở cần đến các cơ sở y tế chuyên sâu để sớm được khám, chẩn đoán và xử lý kịp thời, tránh để tình trạng bệnh diễn biến nặng phải can thiệp đặt ống nội khí quản, thở máy, điều trị dài ngày gây tổn hại sức khỏe và gia tăng chi phí điều trị.
Đinh Kim(T/h)









