3 người đàn ông nguy kịch, nôn ra máu sau khi dọn đồ trong mưa lũ
Theo VietNamNet, Bệnh viện Bệnh Nhiệt đới Trung ương (Hà Nội) vừa tiếp nhận cấp cứu và điều trị liên tiếp nhiều ca bệnh nhiễm xoắn khuẩn Leptospira, trong đó có một số trường hợp diễn biến nặng, tổn thương đa cơ quan.
Trường hợp nặng nhất là ông B.Đ.Q (65 tuổi, trú tại Thái Nguyên). Trong đợt ngập lụt vừa qua, ông thường xuyên lội nước để di chuyển đồ đạc trong nhà. Bốn ngày trước khi nhập viện, ông bắt đầu sốt cao, rét run, đau mỏi cơ toàn thân. Sau đó, bệnh nhân xuất hiện vàng da vàng mắt tăng dần, mệt nhiều và nôn ra máu.

Bệnh nhân được cấp cứu. Ảnh: VietNamNet.
Tới ngày thứ 4, ông mới được đưa vào bệnh viện tỉnh, sau đó nhanh chóng chuyển đến Bệnh viện Bệnh Nhiệt đới Trung ương.
Thạc sĩ Phan Văn Mạnh, Khoa Cấp cứu, cho biết - bệnh nhân nhập viện trong tình trạng vàng mắt vàng da, nôn máu, thiếu máu nặng, sốc, toan chuyển hóa và suy đa tạng (suy thận, suy gan, suy tim), rối loạn đông máu.
Ông Q. được chẩn đoán nhiễm Leptospira thể nặng (còn được gọi là bệnh Weil), tiên lượng tử vong rất cao. Người bệnh được xử trí nội soi dạ dày cấp cứu để cầm máu và truyền cấp các chế phẩm máu, đồng thời can thiệp hồi sức tích cực bằng đặt ống thở nội khí quản thở máy và lọc máu.
Trường hợp thứ hai là ông T.Q.H (45 tuổi, ở Cao Bằng). Trước khi nhập viện 3 ngày, ông có biểu hiện sốt cao 40 độ C, rét run, đau đầu, nôn ra máu đỏ tươi. Kết quả xét nghiệm tại bệnh viện tuyến tỉnh cho thấy ông H. có men gan tăng cao, suy gan, suy thận cấp nên được chuyển đến Bệnh viện Bệnh Nhiệt đới Trung ương. Tại Khoa Nhiễm khuẩn tổng hợp, bệnh nhân có mắt sung huyết, củng mạc mắt vàng, đau mỏi toàn thân được chẩn đoán nhiễm khuẩn huyết do Leptospira, viêm gan cấp do nhiễm độc, suy thận.
Trường hợp thứ ba là anh T.V.T (34 tuổi ở Tuyên Quang). Trước khi nhập viện 7 ngày, anh T sốt nóng, sốt rét từng cơn (nhiệt độ cao nhất 40 độ C), đau mỏi cơ, đau họng, mệt mỏi, ăn uống kém, khó thở, tức ngực. Sau một ngày điều trị tại bệnh viện tỉnh không thuyên giảm, anh được chuyển đến Bệnh viện Bệnh Nhiệt đới Trung ương trong tình trạng mắt sung huyết, đau mỏi cơ toàn thân, nhiễm trùng huyết do Leptospira, suy thận.
Khai thác bệnh sử của cả ba bệnh nhân đều có điểm chung là thường xuyên lội nước, tiếp xúc với bùn đất trong vùng ngập lụt do ảnh hưởng của đợt mưa bão vừa qua. Đây là điều kiện thuận lợi để xoắn khuẩn Leptospira xâm nhập qua cơ thể qua các vết trầy xước hoặc niêm mạc.
Bác sĩ Phan Văn Mạnh, Khoa Cấp cứu, Bệnh viện Bệnh Nhiệt đới Trung ương, cho biết - bệnh Leptospira (xoắn khuẩn vàng da) là bệnh truyền nhiễm cấp tính do các xoắn khuẩn gây bệnh thuộc chi Leptospira, họ Leptospiraceae gây ra.
Nguồn lây nhiễm chính là từ các loài động vật gặm nhấm (như chuột), vật nuôi (trâu, bò, lợn, mèo, chó…). Vi khuẩn có thể xâm nhập vào cơ thể người thông qua tiếp xúc trực tiếp hoặc gián tiếp với nước tiểu hoặc mô của động vật bị nhiễm bệnh.
Bác sĩ khuyến cáo, sau khi tiếp xúc với nước bẩn, nếu thấy sốt, đau mỏi cơ, vàng da hoặc các biểu hiện bất thường về sức khỏe khác, cần đến cơ sở y tế sớm để được khám và điều trị kịp thời, tránh bệnh diễn biến nguy hiểm.
Vừa xem tivi vừa chơi, bé 13 tuổi nuốt đinh ghim vào đường thở
Theo Sức khỏe & Đời sống, Bệnh viện Phổi Trung ương thông tin, các bác sĩ của bệnh viện vừa xử trí ca mắc dị vật là đinh ghim sắc nhọn mắc sâu trong đường thở, sau khi trẻ vô tình hít phải khi đang ngậm trong lúc xem điện thoại.
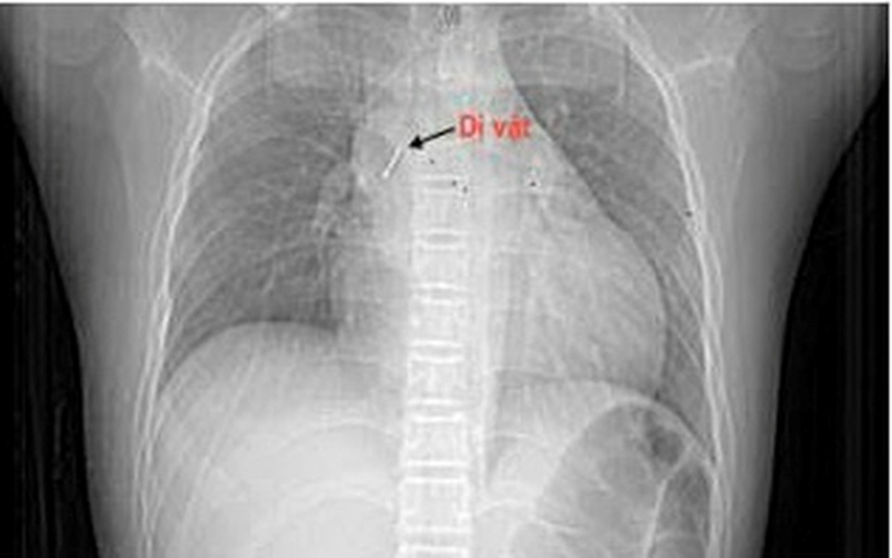
Theo gia đình bệnh nhi, vào tối ngày 13/10/2025, bé P.T.T.P (13 tuổi, Hà Nội) vừa ngồi xem điện thoại vừa ngậm chiếc đinh ghim bảng dài khoảng 2,5 cm. Trong lúc bé cười lớn, chiếc đinh bất ngờ rơi vào họng khiến bé ho sặc sụa, khó thở và cảm giác vướng ở ngực, nói khó. Gia đình hốt hoảng đưa trẻ tới bệnh viện gần nhà. Tại đây, bệnh nhi được làm các xét nghiệm máu, chụp phim cắt lớp vi tính lồng ngực, nội soi phế quản ống mềm, các bác sĩ xác định dị vật đã nằm sâu trong phế quản trung gian bên phải.

Dị vật trong đường thở bệnh nhi. Ảnh: Sức khỏe & Đời sống.
Do dị vật sắc nhọn, đâm xuyên thành phế quản gây chảy máu và phù nề niêm mạc nên việc gắp gặp rất nhiều khó khăn. Sau hơn 2 giờ thực hiện thủ thuật không thành công, bệnh nhi được chuyển khẩn cấp sang Bệnh viện Phổi Trung ương.
Tiếp nhận ca bệnh, ThS.BSCKII Nguyễn Lê Nhật Minh – Trưởng khoa Nội soi chẩn đoán và can thiệp, Bệnh viện Phổi Trung ương cùng ê-kíp đã nhanh chóng tiến hành thủ thuật nội soi phế quản ống mềm gắp dị vật để xử trí.
"Dị vật là chiếc đinh ghim sắc nhọn, nằm vướng tại phế quản trung gian, đầu nhọn đâm xuyên sâu vào thành phế quản. Đây là ca gắp dị vật rất khó, bởi ngoài tính chất, đặc điểm của dị vật như trên, bệnh nhi còn phản ứng theo phản xạ nên cần đòi hỏi thao tác nhanh, chính xác tuyệt đối để tránh làm rách thành phế quản hay đẩy dị vật xuống sâu hơn, có thể dẫn tới nhiễm trùng, chảy máu, tràn khí màng phổi, tràn khí trung thất. Thậm chí những biến chứng đó có thể gây hậu quả suy hô hấp cấp cho người bệnh. Do vậy sau khi đã đánh giá toàn diện kíp thực hiện đã cẩn trọng gỡ phần đầu đinh đang cắm vào thành phế quản thành trạng thái tự do bằng những dụng cụ kìm nội soi phế quản chuyên dụng, rồi từ từ gắp thành công dị vật ra ngoài. Quá trình diễn ra trong vòng 15 phút." bác sĩ Minh cho biết.
Sau thủ thuật, bệnh nhi giảm ho nhiều, đỡ khó thở và còn tức ngực nhẹ, song vẫn phải theo dõi do có biến chứng tràn khí trung thất và tràn khí dưới da vùng cổ. Hiện tại sức khỏe của bệnh nhi đã ổn định, các triệu chứng cũng tiến triển tốt và vẫn đang được điều trị theo phác đồ nội khoa sau hít phải dị vật.
Chia sẻ lại sự việc, cháu bé vẫn còn sợ: "Lúc đầu cháu chỉ nghịch thôi, cháu ngồi xem điện thoại trên bàn học vào buổi tối, vừa xem vừa lấy tay đưa đinh ghim tài liệu lên miệng nghịch. Cháu không ngờ chỉ một cái cười thôi mà đinh lại rơi vào họng, ho không dừng được. Cháu rất sợ, cảm thấy khó thở, nói khó, vướng ở họng. Mẹ cháu vỗ rung không cải thiện nên đã đưa cháu vào Bệnh viện Phổi Trung ương, các bác sĩ đã lấy được dị vật ra giúp cháu.", bé P chia sẻ.
Theo ThS.BSCKII Nguyễn Lê Nhật Minh, tình huống này là lời cảnh báo cho các bậc phụ huynh: "Trẻ em, đặc biệt trong độ tuổi từ 5 đến 15 rất hay có thói quen ngậm đồ vật như bút, ghim, nắp bút, đồng xu... Khi cười, nói hay hít mạnh, dị vật có thể lọt vào đường thở, gây hậu quả nghiêm trọng. Dị vật sắc nhọn còn nguy hiểm hơn vì dễ đâm thủng niêm mạc, gây chảy máu hoặc nhiễm trùng thậm chí có trường hợp còn gây suy hô hấp cấp nguy hiểm tới tính mạng".
BS Minh khuyến cáo, phụ huynh cần tuyệt đối không để trẻ chơi hoặc cầm các vật nhỏ, nhọn, đồng thời hướng dẫn trẻ tránh đưa bất kỳ vật gì vào miệng, ngoài ra cần phối hợp với nhà trường, cơ sở y tế để giáo dục về mức độ nguy hiểm của những hành động gây ra tình trạng hít phải dị vật đường thở.
Khi trẻ có dấu hiệu ho sặc, khó thở đột ngột, nghi ngờ hít phải vật lạ, cần đưa đến cơ sở y tế chuyên khoa hô hấp ngay lập tức, không tự xử lý tại nhà để tránh nguy cơ biến chứng nặng nề.










