
Đi chơi tàu lượn siêu tốc, người đàn ông 40 tuổi bị xuất huyết não
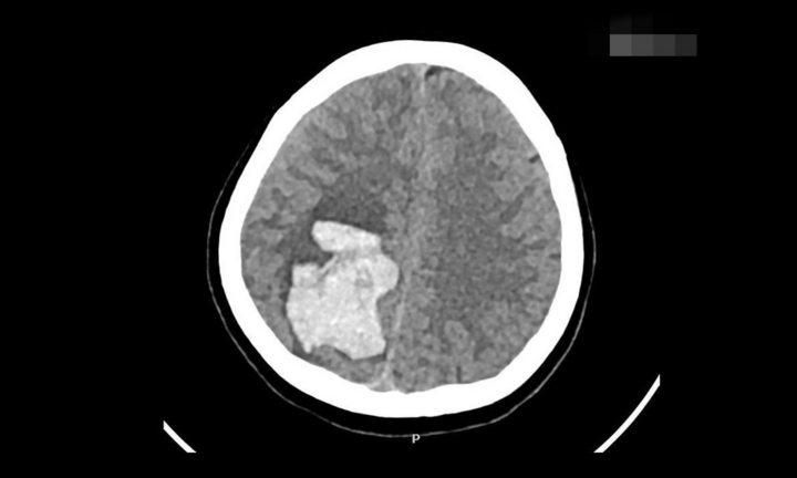
Sau chuyến du lịch, một người đàn ông 40 tuổi đã bị xuất huyết não và phải trải qua phẫu thuật để duy trì sự sống, nguyên nhân đến từ trò chơi tàu lượn siêu tốc.

Sau chuyến du lịch, một người đàn ông 40 tuổi đã bị xuất huyết não và phải trải qua phẫu thuật để duy trì sự sống, nguyên nhân đến từ trò chơi tàu lượn siêu tốc.

Thông tin về cái chết của một nam diễn viên Trần Vũ được chia sẻ trên khắp mạng xã hội khiến nhiều người bàng hoàng.

Lãnh đạo trường Cao đẳng Nông nghiệp Thanh Hóa cho biết, nhà trường vẫn đang cắt cử người túc trực động viên, hỗ trợ gia đình nam sinh.

Nam diễn viên Nhật Bản Shinsaku Shimazaki qua đời ở tuổi 32 do xuất huyết não, gia đình đã tổ chức tang lễ riêng tư và công ty quản lý sẽ tổ chức lễ tưởng niệm vào ngày 31/10 tại Tokyo.

Đường Đường đã qua đời sau khi bị xuất huyết não tại nhà riêng vào đêm 12/8. Cô được đưa đi cấp cứu ngay lập tức, nhưng không qua khỏi.

Một phụ nữ 30 tuổi ở Trung Quốc phải nhập viện cấp cứu vì xuất huyết não. Nguyên nhân được xác định là do cô đã quát mắng người yêu liên tục.

Các bác sĩ kịp thời cứu sống thai phụ ở tuần 19 bị đột quỵ xuất huyết não do tiền sản giật, nguy cơ đe dọa tính mạng cả mẹ và thai nhi.

Cơ quan chức năng đang xác minh làm rõ vụ bé trai xuất huyết não bất thường tại điểm giữ trẻ tự phát tại Quảng Ngãi.

Cứu sống bé 13 tuổi bị xuất huyết não nghiêm trọng; Bé trai 10 tuổi nhập viện sau khi bị chuột cắn… là những tin tức đời sống mới nóng ngày 17/6.

Được chẩn đoán bị xuất huyết não, nữ ca sĩ Đoạn Dục qua đời sau 25 ngày hôn mê trong bệnh viện.

Thông tin Karen Silva đột ngột qua đời ở tuổi 17 do bị đột quỵ xuất huyết não khiến nhiều khán giả bàng hoàng và xót xa.

Đang trong giờ học, một nam sinh ở Hà Tĩnh đột ngột xuất hiện các triệu chứng đau đầu dữ dội, nôn mửa, sau đó hôn mê và phải nhập viện cấp cứu.

Bé trai 14 tuổi rơi vào hôn mê sau cơn đau đầu dữ dội; Tay bị sưng tấy, nổi mụn nước sau bôi dầu gió khi mắc Zona… là những tin tức đời sống mới nóng ngày 20/4.

Người phụ nữ mang thai ngoài tử cung ở vị trí rất hiếm gặp; Cứu người phụ nữ hôn mê sâu sau bữa nhậu… là những tin tức đời sống đáng chú ý ngày 26/3.

Bệnh nhân nặng hơn 100kg, hôn mê sâu, xuất huyết não được cứu sống nhờ mổ sọ não tại chỗ.

Thói quen hút shisha thường xuyên, ngày càng tăng khiến một nam thanh niên 22 tuổi bị đột quỵ xuất huyết não, phải nhập viện cấp cứu vì cơn đau đầu dữ dội.

Các bác sĩ tại Bệnh Viện Nhân dân Gia Định, đã tiến hành phẫu thuật khẩn cấp, để cứu sống thai phụ bị xuất huyết não nhập viện trong tình trạng nguy kịch, hôn mê.

Phẫu thuật giữa đêm khuya cứu người phụ nữ bị xuất huyết não; Vùng cẳng tay sưng nề sau đắp thuốc lá giảm đau… là những tin tức đời sống đáng chú ý ngày 8/3/2025.

Di chứng tai biến mạch máu não, người phụ nữ không thăm khám thường xuyên khiến biến chứng ngày càng nghiêm trọng.

Bé trai 4 tuổi bị rắn lục đuôi đỏ cắn. Do không được cấp cứu kịp thời, bé bị rối loạn đông máu và xuất huyết não.

Nhiều bạn bè và cư dân mạng bày tỏ sự tiếc thương, xót xa trước sự ra đi đột ngột của nam diễn viên Hứa Triệu Trình.

Người đàn ông bị xuất huyết não sau khi tắm khuya; Người phụ nữ mang khối u buồng trứng nặng 15kg… là những tin tức đời sống đáng chú ý ngày 20/12.

Tin tức đời sống mới nhất ngày 23/10/2024. Cập nhật tin tức đời sống mới nhất ngày 23/10/2024 trên trang Đời sống & Pháp luật.

Tin tức đời sống mới nhất ngày 3/10/2024. Cập nhật tin tức đời sống mới nhất ngày 3/10/2024 trên trang Đời sống & Pháp luật.

Người nhà cho biết nam sinh đang chạy bộ tập thể dục tại sân trường thì bất ngờ than mệt, nhức đầu, buồn nôn, lừ đừ rồi kế đó ngất xỉu.

Vui mừng sau khi hẹn hò gặp được người ưng ý, người phụ nữ bất ngờ bị xuất huyết não do vỡ mạch máu.

Tài xế của đoàn phim bị xuất huyết não, hiện đang sống thực vật. Thái độ thiếu trách nhiệm của ê-kíp khiến nhiều người phẫn nộ.

Bé P.H.H (5 tuổi) vào viện cấp cứu trong tình trạng sốc chấn thương, dập gan, phổi do bị xe đi lùi tông phải khi đang chơi trước nhà.

Tin tức đời sống mới nhất ngày 1/2/2023. Cập nhật tin đời sống mới nhất ngày 1/2/2023 trên trang Đời sống & Pháp luật.

Tin tức đời sống mới nhất ngày 30/1/2023. Cập nhật tin đời sống mới nhất ngày 30/1/2023 trên trang Đời sống & Pháp luật.