Chị Nguyễn Thị Quyên (28 tuổi, tại TP HCM) có nguy cơ tiền sản giật từ tuần thai 12, đang được điều trị dự phòng. Sang tuần thai 19, chị Quyên đột ngột có triệu chứng đau đầu, buồn nôn, rồi ngã quỵ, liệt hoàn toàn nửa người trái, lơ mơ.
Quá trình nhập viện ban đầu, nhịp tim sản phụ vẫn ổn định ở mức 140 lần/phút. Tuy nhiên chỉ số tri giác Glasgow (GCS) của thai phụ chỉ còn 11/15 - dấu hiệu cảnh báo tổn thương thần kinh trung ương nghiêm trọng.
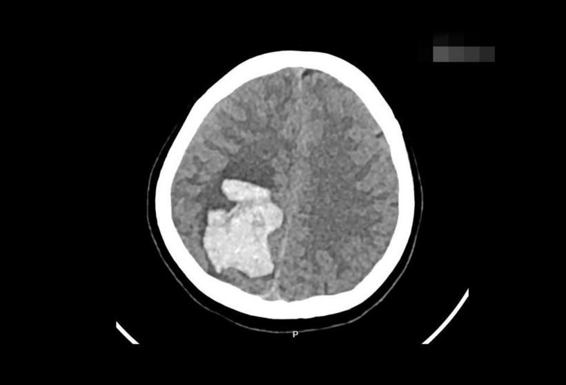
Ngay lập tức, bệnh viện kích hoạt y lệnh khẩn “Code Stroke” (quy trình cấp cứu đột quỵ não, được thiết lập để tối ưu hóa thời gian và nâng cao hiệu quả điều trị cho bệnh nhân - PV), mở lối ưu tiên cấp cứu. Khảo sát hình ảnh học ghi nhận chị Quyên có ổ xuất huyết nội sọ lớn ở bán cầu não phải, kích thước khoảng 5x4x6 cm trong nhu mô não đính chẩm phải. Khối máu tụ gây chèn ép mạnh và đẩy lệch đường giữa não - dấu hiệu tình trạng tăng áp lực nội sọ nguy kịch. Đây là tình huống tối cấp. Nếu chậm trễ, nguy cơ đe dọa tính mạng cả mẹ và thai nhi rất cao.
Các bác sĩ nhanh chóng hội chẩn, đánh giá nguy cơ và thống nhất chỉ định phẫu thuật khẩn cấp bằng robot ngay trong khung “giờ vàng”, mục tiêu cứu sống cả mẹ và thai nhi. Sau gần 90 phút, khối máu tụ được lấy sạch hoàn toàn, mô não được giải phóng khỏi chèn ép, áp lực nội sọ giảm rõ rệt. Ca phẫu thuật thành công ngoạn mục, cứu sống người mẹ.
Hai ngày sau mổ, chị Quyên hồi tỉnh tốt, chỉ số tri giác cải thiện rõ rệt, có thể cử động nhẹ tay trái, tim thai ổn định. Kết quả chụp CT 1975 lát cắt kiểm tra ghi nhận não được giải áp hiệu quả, không xuất hiện ổ máu tụ mới.
Ngày thứ 5 sau mổ, bệnh nhân hồi phục tốt, hoàn toàn tỉnh táo, sức cơ tay trái đạt 4/5, chân trái đạt 2/5, bắt đầu có dấu hiệu vận động trở lại. Chị Quyên tiếp tục tập hồi phục để ổn định sức khỏe tốt nhất. Bác sĩ nhận định thai máy đều đặn, các chỉ số phát triển thai nhi được kiểm tra chặt chẽ, đang tăng trưởng trong giới hạn bình thường.

Hình ảnh xuất huyết não của thai phụ mang thai ở tuần 19. Ảnh: BSCC
Nguy cơ từ việc sản phụ mắc tiền sản giật
ThS.BS Nguyễn Thị Quý Khoa, Phó khoa Sản, Trung tâm Sản Phụ khoa, Bệnh viện Đa khoa Tâm Anh TP HCM, cho biết về cơ chế, tiền sản giật làm tăng sức cản thành mạch của mạch máu toàn thân, dẫn đến tăng huyết áp, giảm cung lượng tim và thể tích huyết tương.
Những thay đổi này gây rối loạn tưới máu não, có thể dẫn đến phù não và xuất huyết, đặc biệt khi xuất hiện các cơn tăng huyết áp đột ngột vượt quá khả năng tự điều hòa của mạch máu não.
Tình trạng tăng huyết áp diễn tiến phức tạp trên nền tiền sản giật. Dùng thuốc hạ áp đúng cách có thể ngăn ngừa 70% biến chứng, song nguy cơ vẫn còn do các cơn tăng huyết áp đột ngột, thường liên quan đến căng thẳng tâm lý, áp lực công việc hoặc thay đổi nội tiết.
Bác sĩ khuyến cáo phụ nữ mang thai, đặc biệt những người có yếu tố nguy cơ như tiền sản giật, tăng huyết áp, béo phì, đái tháo đường, rối loạn đông máu hoặc tiền sử gia đình bị đột quỵ, cần theo dõi định kỳ, thường xuyên tại cơ sở y tế có chuyên khoa Sản và Thần kinh để kiểm soát các yếu tố nguy cơ.
"Khi xuất hiện các dấu hiệu cảnh báo như đau đầu dữ dội, kéo dài, rối loạn thị giác (nhìn mờ, nhìn đôi), khó nói, mất ý thức thoáng qua, nôn ói, co giật, liệt nửa người... cần đưa đến bệnh viện có khả năng xử trí đột quỵ chuyên sâu để được can thiệp điều trị kịp thời", BS Khoa lưu ý.
*Tên nhân vật đã được thay đổi!






