(ĐSPL) – Một người đàn ông 48 tuổi ở Ý đã bị xoay chuyển trái tim 90 độ về bên phải sau khi gặp một tai nạn mô tô. Tuy nhiên, nạn nhân vẫn may mắn sống sót.
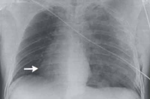
Khi nạn nhân được đưa đến bệnh viện, các bác sĩ cấp cứu phát hiện rằng trái tim của người đàn ông này đã dịch chuyển khi họ tìm cách nghe nhịp tim. Hình ảnh chụp X-quang cho thấy tim nạn nhân đã xoay chuyển 90 độ về bên phải. Ngoài ra, động mạch chủ và động mạch phổi của nạn nhân đã quay về bên phải.
![]() |
| Tim bệnh nhân xoay 90 độ sau tai nạn. |
Nhóm bác sĩ điều trị phát hiện ra rằng, các vết thương ở phổi bệnh nhân và tai nạn khiến khí trong phổi thoát ra ngoài, đẩy trái tim về bên phải. Sau khi họ rút khí khỏi lồng ngực, tim bệnh nhân lại xoay về bên trái và trở lại vị trí cũ sau 24 giờ.
Thật ngạc nhiên, các xét nghiệm khác cho thấy trái tim của người đàn ông này đã không hề bị tổn hại gì – không có mạch máu nào bị rách và các van tim vẫn hoạt động bình thường.
![]() |
| Hình ảnh (trái) cho thấy trái tim xoay lệch 90 độ về bên phải và trở lại bình thường (phải). |
Trưởng Khoa Phẫu thuật tim lồng ngực tại Bệnh viện Lenox Hill, New York - TS Gregory Fontana - nhận định: “Đây là trường hợp vô cùng bất thường nhưng rất thú vị về giải phẫu học. Tôi chưa từng thấy trường hợp nào như vậy. Thật ngạc nhiên vì bệnh nhân vẫn còn sống. Điều độc đáo của ca này là trái tim xoay chuyển quá xa theo hướng khác”.
Trường hợp trái tim xoay chuyển do tai nạn như vậy là điều chưa từng thấy, TS Fontana nhận định.











