Ung thư phổi là một trong những căn bệnh nguy hiểm đang có nguy cơ tăng cao với tỷ lệ tử vong đáng báo động. Trong đó, có 4 nhóm nghề nghiệp dễ mắc bệnh này nhất, hãy cảnh giác để phòng tránh sớm.
Theo các chuyên gia y tế, bệnh ung thư phổi là một trong những bệnh lý ác tính phổ biến nhất, và là nguyên nhân tử vong hàng đầu ở độ tuổi trên 40 tại các quốc gia trên thế giới, trong đó có Việt Nam.
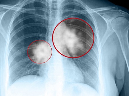
Ung thư phổi và những dấu hiệu nhận biết?
Ở giai đoạn sớm, bệnh thường không biểu hiện rõ ra bên ngoài. Tuy nhiên, khi bệnh phát triển, thường có các triệu chứng sau:
Đau tức ngực kéo dài, cố định ở cùng một vị trí.
Ho dai dẳng với tình trạng ngày một nặng, có thể ho ra máu.
Khó thở do khối u phát triển chèn ép lên đường hô hấp.
Các yếu tố chủ yếu dẫn đến ung thư phổi?
Thuốc lá, thuốc lào: 90% bệnh nhân ung thư phổi là do nguyên nhân này. Tuy nhiên, không chỉ những người hút thuốc mới mắc phải, những người hít phải khói thuốc cũng có nguy cơ mắc ung thư phổi rất cao.
Ô nhiễm môi trường: môi trường làm việc, môi trường sống chứa các hóa chất độc hại như niken, silic, khí than, crom,… cũng là nguyên nhân gây ung thư phổi. Nguy cơ này sẽ thực sự đáng báo động và tăng lên gấp nhiều lần nếu người bệnh có sử dụng thuốc lá.
Tiếp xúc với tia phóng xạ: môi trường phóng xạ khiến tỷ lệ mắc ung thư, đặc biệt là ung thư phổi tăng lên rất cao.
4 loại nghề nghiệp bệnh ung thư phổi dễ tiếp cận nhất?
Công nhân nhà máy hóa chất
Môi trường ở trong nhà máy hóa chất rất kém, trong không khí có những hạt độc hóa học, cơ thể sau khi hít không khí độc này sẽ chuyển chúng vào vùng lông mao phổi, gây rối loạn hô hấp, theo thời gian, sẽ dẫn đến suy thoái chức năng phổi. Những công nhân làm việc trong những mỏ uranium rất dễ hít phải khí radon hoặc tiếp xúc với các tia phóng xạ nguy hiểm.
Cảnh sát giao thông
Công việc của cảnh sát giao thông phải tiếp xúc hàng ngày trên đường, sẽ phải tiếp xúc và hít vào một số lượng lớn bụi khói xe, trong số khói bụi đó (đặc biệt là khí thải cơ giới) sẽ có những chất độc có hại có thể gây ra bệnh ung thư phổi.
Giáo viên
Đối với những giáo viên sử dụng phấn viết bảng, hàng ngày tiếp xúc bụi phấn với tần suất lớn. Loại bụi này có tính hấp thụ rất mạnh mẽ, sau khi hít vào cơ thể, sẽ tích tụ lại ở trong phế nang và đường hô hấp và gây tắc nghẽn phổi.
Đầu bếp
Nhà bếp thường có điều kiện thông gió kém, hơn nữa còn có nhiều khí dầu hóa lỏng, dầu nấu ăn, khói nấu bếp và các chất có hại khác rất nhiều. Khi đứng nấu bếp, người làm bếp sẽ phải hít những loại không khí đó, dẫn đến có thể sinh ra ung thư phổi. Dữ liệu nghiên cứu cho thấy, nấu ăn trong nhà 1 giờ tương đương với hút một nửa điếu thuốc lá.
Ung thư phổi cần có chế độ nghỉ ngơi như thế nào?
Để điều trị bệnh ung thư phổi hiệu quả, yếu tố dinh dưỡng đóng vai trò hết sức quan trọng. Bác sĩ sẽ cho lời khuyên cụ thể thích hợp cho từng trường hợp tùy vào từng giai đoạn của quá trình điều trị và loại phương pháp được điều trị.
Chế độ dinh dưỡng hợp lý cho người bệnh: tăng cường ăn trái cây, rau, ngũ cốc toàn phần, các sản phẩm từ sữa một lượng thịt vừa phải, ít chất béo động vật và hạn chế đường.
Chế độ vận động, tập luyện: vận động, tập luyện thể dục đều đặn, nhẹ nhàng. Khi có biến chứng cháy máu dạ dày, bệnh nhân nên hạn chế vận động.
Các bác sĩ khuyên bệnh nhân ung thư phổi, một trong những điều rất quan trọng đối với bệnh nhân ung thư phổi là tinh thần lạc quan, thoải mái và tin tưởng vào thầy thuốc.
Ung thư phổi nếu được phát hiện sớm và điều trị theo đúng phác đồ thì khả năng trị khỏi là rất lớn. Bởi vậy, nếu bạn có những dấu hiệu nghi mắc ung thư phổi, hãy đến ngay cơ sở y tế chuyên khoa để được khám và chẩn đoán bệnh.
Hằng Thanh(T/h)












