Tại Khoa Khám bệnh và Điều trị ngoại trú, Bệnh viện Bệnh Nhiệt đới Trung ương, các bác sĩ vừa kịp thời phát hiện và can thiệp một trường hợp bị tụ máu mạn tính dưới màng cứng gây chèn ép não nặng. Đáng chú ý, người bệnh đến khám với những biểu hiện ban đầu rất kín đáo, dễ bị bỏ sót nếu không được khai thác bệnh sử kỹ lưỡng, thăm khám thần kinh đầy đủ.
Cụ thể, ông P.V.D. (50 tuổi ở Bắc Ninh) được người nhà đưa đến khám, gia đình chủ động đề nghị bác sĩ chỉ thực hiện xét nghiệm máu tìm “sán não”. Thông tin ban đầu được cung cấp khá rời rạc, chỉ cho biết người bệnh từng có một cơn “lên cơn” cách đây khoảng một tháng và gần đây xuất hiện thêm hai cơn liên tiếp trong cùng một ngày, vào buổi sáng và buổi chiều.
Qua khai thác bệnh sử chi tiết, các cơn được mô tả có đặc điểm mất ý thức đột ngột, kèm co giật tay chân trong thời gian ngắn, sau cơn bệnh nhân không nhớ được diễn biến. Đây là những dấu hiệu rất điển hình của cơn động kinh toàn thể. Gia đình cho biết sau các cơn này, người bệnh đã đi khám tại một số cơ sở y tế và được gợi ý khả năng liên quan đến “sán não”, vì vậy được hướng dẫn đến Bệnh viện Bệnh Nhiệt đới Trung ương để làm xét nghiệm chuyên sâu.

Người đàn ông thường xuyên co giật ngỡ là mắc sán não
Theo ThS.BSCKII Doãn Thị Huyền, Bệnh viện Bệnh Nhiệt đới Trung ương người bệnh không có bệnh lý nền, không sốt, không có yếu tố gợi ý co giật thứ phát do rối loạn chuyển hóa hay nhiễm trùng cấp tính. Điều này đặt ra yêu cầu bắt buộc phải tìm nguyên nhân tổn thương thực thể trong não, thay vì chỉ khu trú chẩn đoán vào một nguyên nhân đơn lẻ theo suy đoán như sán não.
BS Huyền phân tích, chỉ cần xuất hiện từ hai cơn co giật không do nguyên nhân cấp tính đã đủ tiêu chuẩn chẩn đoán động kinh theo chuẩn quốc tế, và đồng thời phải tìm nguyên nhân gây ra các cơn này. Đặc biệt, động kinh khởi phát muộn ở người lớn tuổi tuyệt đối không được xem là vô căn cho đến khi loại trừ các bệnh lý nội sọ nguy hiểm. Khi tiếp tục hỏi sâu, gia đình cho biết người bệnh từng bị ngã khi khởi phát cơn co giật và có đập đầu nhưng không nhớ rõ mức độ, thời điểm rơi vào khoảng bốn tuần trước – chi tiết này rất phù hợp với thời gian hình thành một khối tụ máu não mạn tính dưới màng cứng - tình trạng có thể tiến triển âm thầm và dễ bị bỏ qua.
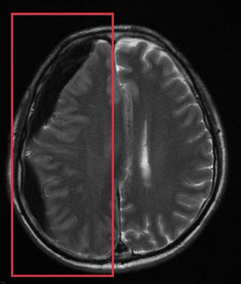
Trước băn khoăn của gia đình, BS Huyền đã tư vấn ưu tiên chụp MRI sọ não. Kết quả chụp MRI sọ não cấp đã xác định người bệnh có khối tụ máu não dưới màng cứng mạn tính kích thước lớn vùng thái dương, gây hiệu ứng khối và đè đẩy đường giữa của não. Đây là tình trạng đặc biệt nguy hiểm, bởi khối tụ máu có thể tiến triển âm thầm trong nhiều tuần với triệu chứng kín đáo như chậm chạp, giảm trí nhớ, rối loạn ngôn ngữ nhưng có nguy cơ cao dẫn đến liệt vận động, tụt kẹt não, hôn mê và tử vong nếu không được xử trí kịp thời
Ngay sau khi có kết quả chẩn đoán hình ảnh, ông P.V.D được chuyển sang chuyên Khoa Phẫu thuật thần kinh sọ não để phẫu thuật cấp cứu lấy bỏ tụ máu, giải phóng chèn ép nhu mô não. Đồng thời, người bệnh được chỉ định điều trị thuốc kháng động kinh do đã có nhiều cơn co giật rõ ràng trước đó. Sau can thiệp, tình trạng ý thức cải thiện tốt, không xuất hiện cơn co giật.

Khối tụ máu não dưới màng cứng mạn tính kích thước lớn vùng thái dương, gây hiệu ứng khối và đè đẩy đường giữa của não
Dấu hiệu dễ nhầm lẫn với nhiều bệnh
Từ trường hợp này, ThS.BSCKII Doãn Thị Huyền nhấn mạnh, các cơn co giật ngắn, thoáng qua rất dễ bị nhầm với ngất hoặc bị xem nhẹ, đặc biệt khi người bệnh vẫn sinh hoạt gần như bình thường giữa các cơn. Tuy nhiên, mọi cơn co giật đều là dấu hiệu bất thường của não, cần được khám chuyên khoa thần kinh để tìm nguyên nhân. Việc e ngại chẩn đoán hình ảnh hoặc chỉ làm xét nghiệm theo “nghe mách” có thể khiến bỏ sót những tổn thương nội sọ nguy hiểm.
Bác sĩ Huyền khuyến cáo, khi người bệnh có biểu hiện co giật, mất ý thức đột ngột – kể cả cơn ngắn chỉ kéo dài vài chục giây– cần đi khám sớm để được đánh giá toàn diện. Nếu trong cơn có ngã, va đập đầu, tuyệt đối không chủ quan vì tụ máu não có thể xuất hiện muộn sau nhiều tuần. Các thăm dò hình ảnh như CT hoặc MRI chính là “cánh tay nối dài” của bác sĩ, giúp phát hiện kịp thời những nguyên nhân nguy hiểm và bảo vệ tính mạng người bệnh.










