Bệnh tiểu đường được xem là kẻ giết người âm thầm vì căn bệnh tồn tại nhiều năm trong cơ thể và không dễ nhận biết, đến khi phát hiện ra những biến chứng thì cũng đã muộn. Chúng ta cần nhận biết 8 biểu hiện của bệnh tiểu đường sau đây để đẩy lùi căn bệnh này càng sớm càng tốt.
1. Hay bị khát nước, uống liên tục mà vẫn thấy khát
Trong điều kiện bình thường, thời tiết không quá nóng nực và bạn không lao động quá sức nhưng luôn thấy cơ thể bị thiếu nước dù đã uống nhiều. Đó là dấu hiệu của bệnh tiểu đường.
Khi đường huyết cao, tế bào sẽ bị mất nước nhiều hơn vì nước trong tế bào dùng để pha loãng đường trong máu. Lúc này, cơ thể sẽ thường xuyên báo hiệu mất nước.
2. Đi tiểu nhiều lần, nhất là hay tiểu đêm
Khi lượng đường trong máu cao, thận có nhiệm vụ bài tiết các chất dư thừa này qua đường nước tiểu liên tục khiến bạn cứ đi tiểu thường xuyên. Trong thời gian dài, thận sẽ ngày càng suy yếu, gây hại cho cơ thể bạn.
Nếu thấy số lần đi tiểu bất thường, bạn nên nghi ngờ ngay đến căn bệnh tiểu đường.
Tiểu đêm thường xuyên báo hiệu nguy cơ mắc bệnh tiểu đường |
3. Thị lực không rõ
Mắt ngày càng kém cũng là dấu hiệu của bệnh tiểu đường.
Đường huyết cao có thể gây các tổn thương như đục thủy tinh thể hoặc hư võng mạc khiến thị lực bị suy giảm, nhìn ngày càng mờ.
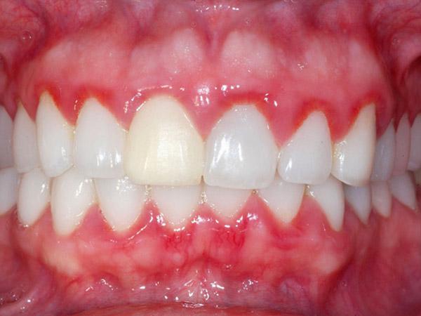
4. Viêm nướu răng
Khi đường huyết tăng cao, hệ miễn dịch trong cơ thể bị phá hủy dần khiến sức đề kháng suy giảm. Hiện tượng viêm nướu răng xảy ra do vi khuẩn tấn công mà cơ thể chống lại không được.
| Viêm nướu răng thường xuyên là dấu hiệu của bệnh tiểu đường |
5. Xuất hiện các vết thâm nám, sậm màu ở một số vùng da
Những vết thâm sậm màu như vậy còn được gọi là bệnh gai đen, thường xuất hiện ở vùng nách, khuỷu tay, đầu gối, khớp ngón tay.
Điều này nói rằng bạn có nguy cơ mắc phải bệnh tiểu đường trong tương lai nếu không điều chỉnh lại thói quen sinh hoạt và ăn uống.
6. Các vết thương lâu lành hơn bình thường
Đây là dấu hiệu của bệnh tiểu đường rõ rệt nhất. Đường huyết cao làm các động mạch và tĩnh mạch bị tổn thương nên việc cầm máu và lành miệng vết thương sẽ lâu bất thường.
| Vết thương của người bị tiểu đường sẽ lâu lành hơn bình thường |
Bạn cần hết sức cẩn trọng không để bản thân bị thương trong những trường hợp này. Và lập tức tiến hành kiểm tra đường huyết xem ở mức nào, có nguy hiểm hay không.
7. Sụt cân không rõ nguyên nhân, dù đã ăn nhiều
Nếu thật sự bị tiểu đường, bạn sẽ rất hay thấy đói bụng, muốn ăn nhiều nhưng lại sụt cân liên tục.
Vì tế bào không nhận được đường để chuyển hóa thành năng lượng nên phải đốt cháy chất béo và cơ bắp trong cơ thể để bù đắp. Lúc này, dù bạn cố gắng ăn nhiều nhưng số ký vẫn sẽ giảm hụt xuống một cách bất thường.
8. Thường xuyên thấy buồn ngủ, mệt mỏi và cáu gắt
Vì tế bào không thể chuyển hóa năng lượng từ đường nên cơ thể không có sức lực để sinh hoạt như bình thường.
Bạn sẽ bị cảm giác buồn ngủ liên tục, lúc thức lại không tỉnh táo, không có sức làm việc và tâm trạng bị bức bối, cáu gắt vô lý.
Mách bạn cách ổn định đường huyết nhờ 100% Khổ Qua Rừng với Viên Uống Khổ Qua Rừng Mudaru
Viên uống Mudaru giúp cho bệnh nhân ổn định đường huyết để ngăn ngừa những biến chứng, đồng thời giúp đào thải độc tố trong tuyến tụy, cung cấp những dưỡng chất bổ sung cho tuyến tụy giúp tuyến tụy được hồi phục và hoạt động trở lại bình thường, Kích thích tuyến tụy hoạt động chuyển hóa hết lượng đường trong cơ thể.
Tinh chất khổ qua rừng trong Viên uống khổ qua rừng Mudaru sẽ ức chế hấp thu glucose ở ruột, làm tăng hoạt tính của men hấp thu và sử dụng đường, giảm cholesterol và lipid máu, giảm mỡ máu, trung hòa các gốc tự do, bảo vệ hệ miễn dịch cho cơ thể.














