Bất ngờ bị ngừng tim khi đang chơi cầu lông
Theo tạp chí Tri Thức, đầu tháng 4/2024, anh N.T.T (41 tuổi, ở quận Hà Đông, Hà Nội đang chơi cầu lông cùng bạn thì xuất hiện đau ngực, sau đó vài phút thì ngừng tim phổi.
Ngay sau đó, anh T. được bạn bè cấp cứu ngừng tim phổi bằng ép tim, thổi ngạt và đưa vào khoa cấp cứu Nội, Hồi sức nội, Bệnh viện Quân y 103 (Hà Nội). Tại đây, bệnh nhân T. lại tiếp tục bị rung thất, ngừng tuần hoàn hai lần.
Sau mỗi lần cấp cứu khoảng 20 phút, tim của anh T. đập trở lại. Ngay khi tiếp nhận người bệnh, bệnh viện kích hoạt báo động đỏ, hội chẩn với các chuyên khoa Hồi sức, Nội Tim mạch, Can thiệp Tim mạch.
Anh T. được chẩn đoán trạng thái sau hồi sinh, ngừng tim phổi do nhồi máu cơ tim cấp. Người bệnh sau khi vào khoa vẫn tiếp tục rung thất nhiều lần, được hồi sinh tổng hợp, sốc điện cấp cứu, thở máy và dùng thuốc vận mạch liều cao.

Bác sĩ thăm khám cho bệnh nhân trước khi xuất viện. Ảnh: Tri Thức
Các chuyên gia từ nhiều chuyên khoa tham gia hội chẩn cấp cứu quyết định lựa chọn phương pháp điều trị vừa hồi sức tích cực, vừa can thiệp tái thông động mạch vành, tranh thủ từng phút để cứu người bệnh.
Kết quả chụp động mạch vành cấp cứu cho thấy tổn thương từ thân chung động mạch vành trái (đây là động mạch lớn nhất nuôi cho cơ tim) kèm theo hẹp nặng và nhiều cục máu đông.
Ekip kỹ thuật tiến hành can thiệp đặt giá đỡ động mạch (stent) cho anh T. Ngay sau can thiệp, các chỉ số mạch và huyết áp người bệnh nhanh chóng ổn định, giảm được các thuốc vận mạch và không xuất hiện các rối loạn nhịp thất nguy hiểm.
Tại khoa Hồi sức nội, bệnh nhân này tiếp tục được theo dõi và chăm sóc bằng an thần, thở máy và các biện pháp bảo vệ não. Sau 2 ngày, người bệnh tỉnh, tự thở, được rút ống nội khí quản và hồi phục sức khỏe rất nhanh. Hiện, bệnh nhân T. được xuất viện.
Theo TS.BS Trần Đức Hùng - Trưởng khoa Can thiệp tim mạch, rối loạn nhịp thất rất nguy hiểm. Ngừng tuần hoàn là một trong các biến chứng rất nặng của bệnh nhồi máu cơ tim cấp, tỷ lệ tử vong cao nếu không được cấp cứu kịp thời.
Trường hợp của bệnh nhân T. rất may mắn được cứu sống nhờ được cấp cứu tại chỗ kịp thời, bác sĩ can thiệp thành công.
Cứu bệnh nhân nhồi máu cơ tim biến chứng suy tim, suy thận cấp
VTV Times đưa tin, nữ bệnh nhân N.T.T.N. (61 tuổi, trú tại Thới Lai, Cần Thơ) nhập viện với chẩn đoán nhồi máu cơ tim cấp ngày thứ 7 biến chứng suy tim cấp, suy thận cấp.
Được biết, 7 ngày trước khi nhập viện, bệnh nhân xuất hiện những cơn đau ngực trái khi đang làm việc nhà, mỗi cơn đau kéo dài khoảng 30 phút, giảm dần khi nằm nghỉ ngơi. Do tính chất công việc nên bệnh nhân không đến khám và điều trị ở cơ sở y tế nào.
Tuy nhiên, những cơn đau ngực trái xuất hiện nhiều hơn kèm cảm giác hụt hơi, khó thở tăng dần cả khi nghỉ ngơi nên bệnh nhân đến khám và nhập viện tại Bệnh viện Đa khoa Xuyên Á Vĩnh Long.
Ngay khi tiếp nhận bệnh nhân ở khoa Cấp cứu, đội ngũ bác sĩ nhanh chóng thăm khám và chỉ định các xét nghiệm cần thiết. Từ đó, ghi nhận bệnh nhân có nhiều bệnh lý phối hợp: suy tim cấp, nhồi máu cơ tim cấp, viêm phổi, suy thận cấp.

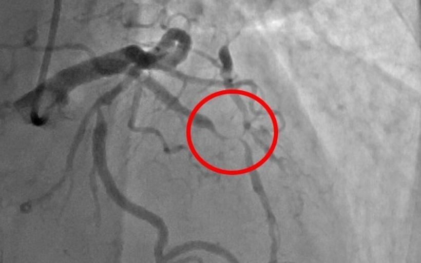
Hình ảnh mạch vành người bệnh trước can thiệp. Ảnh: VTV Times
Bệnh nhân được điều trị tích cực tình trạng suy tim, nhồi máu cơ tim, phối hợp kháng sinh, cân bằng nước điện giải. Ngay khi tình trạng khó thở cải thiện, chức năng thận ổn định, bệnh nhân được ekip can thiệp tiến hành chụp động mạch vành.
Kết quả chụp cho thấy bệnh nhân bị hẹp nặng cả ba nhánh động mạch vành (mạch máu nuôi tim). Sau đó, ekip can thiệp tư vấn rõ gia đình các phương pháp can thiệp mạch vành, nguy cơ, lợi ích của từng phương pháp.
Gia đình thống nhất lựa chọn phương pháp đặt stent động mạch vành. Với thủ thuật này, chỉ cần gây tê tại cổ tay nên trong và sau quá trình can thiệp, bệnh nhân hoàn toàn tỉnh táo.
Sau khoảng 45 phút, ekip can thiệp đã đặt thành công 2 stent vào nhánh động mạch vành - thủ phạm hẹp nặng và tắc gần hoàn toàn (nhánh liên thất trước) gây nên bệnh cảnh nhồi máu cơ tim cấp, suy tim cấp.
Sau can thiệp đặt stent, tình trạng khó thở, đau ngực cải thiện rõ rệt, bệnh nhân có thể tự sinh hoạt cá nhân, tự đi lại trong phòng bệnh, dự kiến sẽ xuất viện trong vài ngày tới.
Cụ ông ở Hà Tĩnh tử vong nghi do sốc nhiệt
Báo Sức Khỏe & Đời Sống dẫn thông tin từ lãnh đạo UBND xã Kim Song Trường (huyện Can Lộc, tỉnh Hà Tĩnh) cho biết, trên địa bàn vừa có một cụ ông tử vong nghi do sốc nhiệt. Nạn nhân được xác định là ông N.H.O. (80 tuổi).
Trước đó, khoảng 12h ngày 28/4, ông O. đi từ nhà người thân ở thị xã Hồng Lĩnh để về nhà. Khi đi đến đoạn xã Thanh Bình Thịnh, do thời tiết nóng bức, ông O. bị ngất xỉu giữa đường. Ngay khi phát hiện, người dân đưa ông O. đi cấp cứu, tuy nhiên sau đó nạn nhân đã tử vong.
Theo Đài Khí tượng thủy văn Hà Tĩnh, ngày 28/4, tỉnh Hà Tĩnh nắng nóng gay gắt và đặc biệt gay gắt. Nhiệt độ cao nhất phổ biến 40 - 42 độ C, riêng TP.Hà Tĩnh, Hương Sơn, Hương Khê trên 42 độ C.

Xã Kim Song Trường (huyện Can Lộc, tỉnh Hà Tĩnh) vừa có một trường hợp tử vong nghi do sốc nhiệt. Ảnh minh họa: Sức Khỏe & Đời Sống
Các bác sĩ khuyến cáo, trong điều kiện thời tiết nắng nóng như những ngày vừa qua, người dân nên hạn chế ra đường và lao động ngoài trời ở khung thời gian từ 11h – 15h để tránh bị sốc nhiệt. Nếu buộc phải ra ngoài vào khung thời gian này, người dân nên mặc quần áo kín, đeo khẩu trang.
Đặc biệt, khi gặp bệnh nhân bị sốc nhiệt hoặc say nắng, cần đưa ngay người bệnh vào trong bóng mát và tiến hành sơ cứu. Sau đó, cần đưa ngay bệnh nhân đến cơ sở y tế gần nhất để điều trị.










