Tin tức đời sống mới nhất ngày 13/4/2021. Cập nhật tin đời sống mới nhất ngày 13/4/2021 trên trang Đời sống & Pháp luật.
Bệnh nhi bị kẹt đồng xu ở thực quản
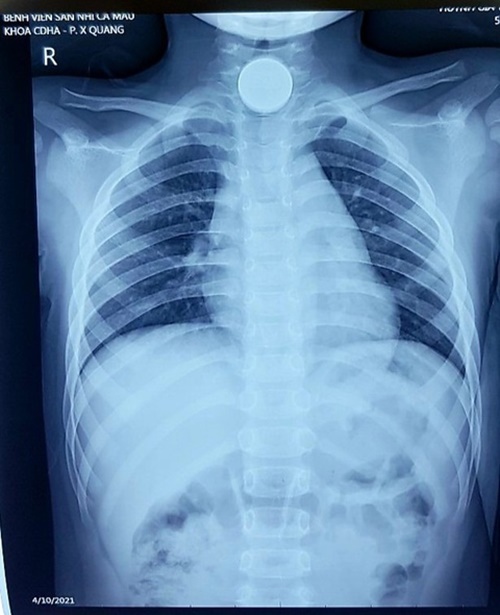
Hình ảnh chụp X-quang của bệnh nhi mắc đồng xu ở thực quản. (Ảnh: BV) |
Các bác sĩ của bệnh viện Sản - Nhi Cà Mau vừa tiếp nhận bệnh nhi là bé L.V.T. (5 tuổi), nhập viện ngày 10/4 trong tình trạng nuốt vướng, đau họng, khó thở nhẹ, không ăn uống được.
Bé được đưa tới cấp cứu tại một phòng khám tư nhân trước khi chuyển tới bệnh viện Sản - Nhi Cà Mau. Hình chụp X-quang cho thấy đồng xu mắc kẹt ở thực quản đoạn cổ - ngực.
Tại bệnh viện, các bác sĩ nhanh chóng gây mê và nội soi ống cứng lấy dị vật cho bệnh nhi. May mắn, dị vật trơn láng, niêm mạc của bé T. không bị tổn thương nặng. Bệnh nhi được theo dõi tại bệnh viện 2 ngày và hiện có thể trở về nhà.
Bé gái nguy kịch sau vài ngày nôn, sốt nhẹ
Bệnh nhi được các bác sĩ cứu sống ngoạn mục. (BV) |
Bé B.H.P.N. (9 tuổi, ngụ Tiền Giang) chỉ nôn và sốt nhẹ nhưng mệt mỏi, mẹ bé cho đi khám phòng khám tư không đỡ. Ngày hôm sau, bé nôn ói liên tục, đột ngột trợn mắt ngất lịm. Khi cấp cứu vào viện, bé đã trụy tim mạch.
Bệnh nhi được nhanh chóng cấp cứu ngưng tim ngưng thở, ổn định tạm huyết áp bằng nhiều loại thuốc vận mạch liều cao, siêu âm và xét nghiệm cho thấy men tim của bé rất cao.
Các bác sĩ bệnh viện tuyến dưới xác định bé bị viêm cơ tim, sốc tim, nhanh chóng chuyển thẳng lên Bệnh viện Nhi đồng Thành phố, tìm cơ hội ECMO cứu sống trong tình thế "ngàn cân treo sợi tóc".
Tại Bệnh viện Nhi đồng Thành phố, các êkíp bác sĩ đã thay nhau túc trực, tăng cường tua trực, áp dụng kỹ thuật ECMO (oxy hóa máu bằng màng ngoài cơ thể), hội chẩn tham vấn liên tục qua các ứng dụng trực tuyến, theo dõi sát từng biến chuyển ca bệnh phức tạp này.
Ngày 12/4, bệnh nhân vừa được cai máy ECMO ổn định, chính thức trở thành bệnh nhi thứ 17 trên 24 ca nguy kịch vì tim phổi, được triển khai ECMO đúng chỉ định để cấp cứu kịp thời.
Thanh niên bị dao đâm xuyên ngực trái được cứu sống
Khoa Cấp cứu bệnh viện Chợ Rẫy (TP.HCM) tiếp nhận một bệnh nhân trong tình trạng nguy kịch là anh N.M.T. (27 tuổi, ngụ An Giang).
Theo lời kể của người nhà bệnh nhân, vào khoảng 16h30 ngày 11/4, tại Bình Phước, anh T. đã bị người khác dùng vật nhọn (dao) đâm vào ngực trái. Bệnh nhân được đưa vào cấp cứu tại bệnh viện Bình Phước, sau đó chuyển lên bệnh viện Chợ Rẫy.
Bệnh nhân T. nhập bệnh viện Chợ Rẫy với một vết thương ở ngực trái, cách mỏm mũi kiếm xương ức 2cm về bên trái, đã khâu cầm máu.
Trước tình trạng nguy kịch của bệnh nhân, các bác sĩ khoa Cấp cứu đã nhanh chóng kích hoạt quy trình “báo động đỏ”, truyền 2 đơn vị hồng cầu, truyền bù dung dịch đẳng trương, đồng thời tiến hành hội chẩn liên chuyên khoa khẩn cấp.
Để giữ lấy sự sống cho bệnh nhân, các bác sĩ tham gia hội chẩn đã nhất trí tiến hành mổ khẩn cho bệnh nhân ngay tại khoa Cấp cứu để tận dụng thời gian “can thiệp vàng”.
Sau phẫu thuật, tri giác bệnh nhân ổn định, bệnh nhân vẫn còn thở máy, nhưng thuốc vận mạch đã giảm liều và đang được các bác sĩ theo dõi sát sao quá trình hồi phục.
Việt Hương (T/h)











