Tin tức đời sống mới nhất ngày 30/7/2018. Cập nhật tin đời sống mới nhất trên cả nước ngày 30/7/2018 trên trang Đời sống & Pháp luật.
Giả làm nhân viên y tế lừa hơn 6 triệu đồng của người bệnh
Người phụ nữ trung niên, ăn mặc gọn gàng tự nhận là bác sĩ Bệnh viện Phụ sản Trung ương, Hà Nội đã lừa người nhà bệnh nhân bằng cách nhận mua thuốc hộ theo đơn.
Sau khi đưa tiền cho người phụ nữ, may ngay là người đàn ông nảy sinh nghi ngờ và báo bảo vệ. Họ đã nhanh chóng bắt được người phụ nữ (xác định quê ở huyện Lập Thạch, Vĩnh Phúc) và thu được số tiền 6.230.000 đồng lấy của người nhà bệnh nhân.
Đại diện Bệnh viện Phụ sản Trung ương, ông Nguyễn Huy Tuấn, Trưởng phòng Công tác xã hội cho biết, vụ việc trên xảy ra tại Bệnh viện Phụ sản Trung ương vào ngày 26/7. Theo đó, người phụ nữ có hành vi lừa tiền của người nhà bệnh nhân là N.T.T. Bà T trước đây là nhân viên công ty vệ sinh (ký hợp đồng với Bệnh viện Phụ sản Trung ương). Tuy nhiên, bà T đã nghỉ việc vài năm.
| Giả làm nhân viên y tế lừa hơn 6 triệu đồng của người bệnh. Ảnh: Lao động |
Cũng theo ông Tuấn, vào ngày 26/7, bà T xuất hiện ở Bệnh viện Phụ sản Trung ương và gặp một người nhà bệnh nhân. Có thể do trước đây bà T từng làm việc tại Bệnh viện Phụ sản Trung ương, nắm được các sinh hoạt, quy luật của bệnh viện cũng như người bệnh nên đã thực hiện hành vi lừa đảo khá tinh vi.
Sau khi trò chuyện, biết người này đang đi mua thuốc, bà T tự giới thiệu là nhân viên BV, hứa đi mua thuốc hộ. Để làm tin, bà T. mở túi xách của mình, trong đó có áo trắng (dạng áo blouse) và ống nghe và nhờ người nhà bệnh nhân giữ hộ để làm tin. Người nhà bệnh nhân tin tưởng, đưa hơn 6 triệu đồng cho bà T mua thuốc hộ. Khi bà T đi được một đoạn, người nhà bệnh nhân nghi ngờ, chạy theo đến xe buýt, giữ lại bà T đưa vào phòng trực để làm rõ.
Bước đầu, bà T đã thừa nhận hành vi vi phạm của mình. Sau đó, Bệnh viện Phụ sản Trung ương đã bàn giao đối tượng cho công an phường Hàng Bông (quận Hoàn Kiếm) để xử lý.
Bé 2 tháng tuổi bị viêm phổi do dị tật cực kỳ hiếm gặp, cả thế giới chưa đến 40 người mắc
Vừa qua, bệnh viện Nhi Đồng 2 tiếp nhận trường hợp bệnh nhi 2 tháng tuổi bị viêm phổi kéo dài, suy hô hấp dù đã điều trị tại bệnh viện tuyến tỉnh nhưng bệnh không thuyên giảm.
Sau khi nhập viện, bé gái tiếp tục được điều trị viêm phổi. Tuy nhiên, khi chụp CT scan ngực, kết quả cho thấy bé có một đường rò đường mật từ gan trái vào khí quản, các bác sĩ khoa hô hấp quyết định nội soi khí quản. Nội soi khí quản cho hình ảnh mật chảy vào khí quản nơi phân chia hai phế quản trái và phải.
Sau khi bác sĩ hội chẩn, bệnh viện quyết định phẫu thuật ngay cho bé.
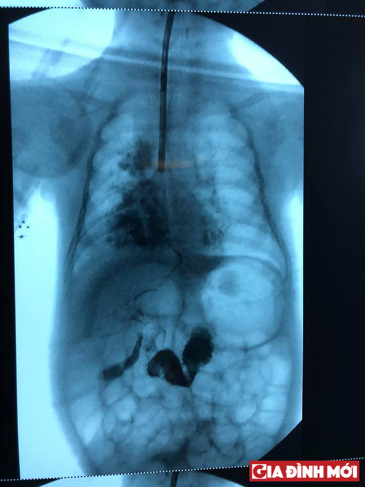
Trong quá trình phẫu thuật, bác sĩ cho biết, bé có đường rò khá dài từ nơi chia đôi phế quản trái và phải xuyên qua cơ hoành đến gan, nằm cạnh bên thực quản và mạch máu, thần kinh vùng ngực.
Hình ảnh đường rò gây ra bệnh lý viêm phổi của bé. Ảnh: Gia đình mới |
Bác sĩ cũng chụp Xquang cản quang trong lúc mổ cho thấy đường rò lúc mổ cho hình ảnh của đường mật trong gan và thuốc cản quang xuống tá tràng, không phát hiện dị tật đường mật khác đi kèm.
Sau khi cắt, khâu đường rò, hiện tại bệnh nhi đã ổn định, tình trạng viêm phổi đã cải thiện đáng kể. Theo y văn thế giới, trường hợp rò khí quản vào đường mật rất hiếm gặp, đến nay có chưa đến 40 trường hợp được báo cáo riêng lẻ, chẩn đoán khó khăn, phẫu thuật kịp thời cho kết quả tốt.
Muốn phát hiện sớm ung thư đường tiêu hóa, cần làm các xét nghiệm gì?
Ths.BS Phí Thị Quang, Bệnh viện đa khoa Medlatec cho biết, hiện nay, phương pháp hiệu quả nhất để phát hiện sớm ung thư đường tiêu hoá là kiểm tra định kỳ, giúp phát hiện sớm bệnh khi chưa có dấu hiệu rõ ràng để góp phần nâng cao chất lượng sống và giảm chi phí điều trị của người bệnh.
Hiện nay, ung thư đại trực tràng tại Việt Nam đang gia tăng bởi nhiều yếu tố nguy cơ như chế độ ăn nhiều thịt mỡ, động vật; thực phẩm nhiễm hóa chất gây ung thư như: benzopyren, nitrosamin, chế độ ăn ít chất xơ, vitamin A, B, C, E,…; trong gia đình có người từng bị ung thư đại tràng.
“Nếu thấy xuất hiện polyp trong ruột già, đặc biệt khi kích thước trên 2cm cũng như hiện tượng viêm đại trực tràng chảy máu và bệnh Crohn thì người bệnh phải hết sức lưu ý, tầm soát kỹ lưỡng”, BS Quang khuyến cáo.
Bệnh nhân cần thực hiện thủ thuật nội soi đại tràng. Ảnh: VTC News |
Với những triệu chứng trên, nghi ngờ ung thư đại tràng, các bệnh nhân sẽ được xét nghiệm để tìm máu ẩn trong phân. Đây là xét nghiệm bước đầu có giá trị trong tầm soát ung thư đường tiêu hóa. Bệnh nhân cần làm xét nghiệm máu tìm chất chỉ điểm CEA vì đây là chất được tế bào ung thư sản xuất.
Chất này có thể tăng cao ở bệnh nhân ung thư đại tràng, nên là xét nghiệm có ý nghĩa theo dõi bệnh nhân đang điều trị và sau điều trị ung thư đại trực tràng. Ngoài ra, bệnh nhân cần thực hiện thủ thuật nội soi đại tràng, sinh thiết nếu phát hiện tổn thương tiền ung thư hoặc nghi ngờ ung thư.
Với ung thư dạ dày, nguyên nhân chủ yếu gây ung thư do helicobacter pylori (Hp) là một tác nhân gây viêm và loét dạ dày, có thể là một yếu tố nguy cơ của ung thư dạ dày.
Vì thế, khi thấy cơ thể ăn uống kém hoặc ợ nóng, đau thượng vị ở nhiều mức độ khác nhau; nôn và buồn nôn; nuốt nghẹn sau xương ức; chướng bụng; chán ăn; mệt mỏi và yếu sức; gầy sút nhiều; xuất huyết (ói ra máu hoặc máu trong phân) thì nên đi khám.
Kiều Trang (T/h)













