Tin tức đời sống mới nhất ngày 25/3/2019. Cập nhật tin đời sống mới nhất trên cả nước ngày 25/3/2018 trên trang Đời sống & Pháp luật.
Hành khách khỏa thân thản nhiên xếp hàng chờ lên máy bay
Sự việc xảy ra tại sân bay Domodedovo ở Moscow (Nga). Cảnh quay cho thấy các hành khách khi đó đang xếp hàng chờ qua cửa kiểm soát để lên máy bay tới thành phố Simferopol, Crimea. Mọi chuyện có vẻ bình thường trừ một người đàn ông khỏa thân đang lấy tay che bộ phận nhạy cảm.
Hành khách khỏa thân chờ lên máy bay ở Moscow. |
Người đàn ông này hoàn toàn bình tĩnh, đứng chờ đến lượt mình khi những người khác vượt qua cửa kiểm soát. Những hành khách khác cũng không chú ý đến anh ta, ngoài một số người cười khúc khích.
Theo một nhân chứng, hành khách trên giải thích rằng “quần áo khiến thân thể bị giảm tính khí động học” nên khỏa thân “sẽ dễ bay hơn”. Cảnh sát sau đó xuất hiện và tạm giữ người đàn ông để đưa đi kiểm tra tâm thần.
Hãng hàng không thực hiện chuyến bay sau đó xác nhận về vụ việc nhưng không nói rõ làm sao người đàn ông kia có thể vượt qua quầy thủ tục và an ninh để vào khu vực lên máy bay.
Không có nhiều thông tin về danh tính của anh ta, ngoại trừ cảnh sát nói rằng anh ta 38 tuổi và sinh ra ở Siberia, theo RT.
Bị nhồi máu cơ tim vì 1 nốt ong đốt
Bệnh viện Nhân dân 115 TP HCM thông tin, vừa tiếp nhận và điều trị cho một phụ nữ bị biến chứng cấp tính hiếm gặp do ong đốt. Bệnh nhân là bà N.T.T.B (61 tuổi, ngụ tỉnh Bình Thuận), nhập viện với trình trạng đạu ngực, khó thở, suy tim cấp.
Trước đó, người phụ nữ bị một con ong (không rõ loài) đốt vào 1 ngón tay, sau đó vết đỏ từ ngón tay lan ra đến bàn tay, cánh tay và vùng ngực chỉ sau 5 giờ. Ở nhà bệnh nhân tự mua thuốc giảm đau điều trị thì sau khoảng 6 giờ xuất hiện triệu chứng khó thở và được gia đình đưa vào bệnh viện địa phương cấp cứu. Tại đây, bệnh nhân được chẩn đoán hội chứng mạch vành cấp và chỉ định chuyển đến Bệnh viện Nhân dân 115 TP.HCM.
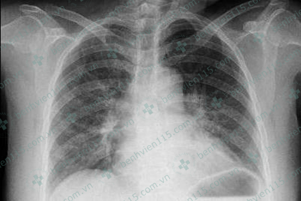
Ảnh X-quang tim phổi thẳng: Lồng ngực cân đối, thành ngực dày trung bình, không ghi nhận tụ dịch lớn trong thành ngực, xương sườn hình dạng bình thường, không ghi nhận nứt gãy, thâm nhiễm rải rác hai rốn phổi, bóng tim to. |
Tại Khoa Tim mạch Tổng quát xác định bệnh nhân bị nhồi máu cơ tim cấp chênh lên vùng trước rộng. Sau đó, bác sĩ đã điều trị tích cực, bệnh nhân đã giảm khó thở bớt đau ngực, sinh hiệu ổn định và tim đều trở lại.
Bác sĩ Châu Minh Thông, người trực tiếp điều trị cho bệnh nhân cho biết, bị ong đốt gây đến biến chứng nhồi máu cơ tim là một trường hợp hiếm gặp, cấp tính, nguy cơ tử vong cao, diễn biến rất phức tạp. Thường ong đốt biến chứng nặng chỉ dẫn đến suy thận cấp, tán huyết, tiểu Myoglobin do tiêu cơ vân, suy đa cơ quan.
Bác sĩ Thông khuyên cáo, đối với các trường hợp sau khi bị đốt, có triệu chứng đau ngực bệnh nhân cần xem xét cẩn thận, thực hiện các biện pháp loại trừ nhồi máu cơ tim.
Nuốt ruột bút bi dài hơn 10cm vào bụng
Ngày 24/3, Bệnh viện An Bình (TP.HCM) cho biết, vừa cấp cứu cho thanh niên trong tình trạng đau bụng nhiều vùng thượng vị. Qua khai thác bệnh sử, bác sĩ cho biết trước đó 2 tuần, nam thanh niên vô tình nuôt một chiếc ruột bút bi dài hơn 10 cm.
Dị vật ruột bút bi dài 11cm được gắp ra khỏi cơ thể chàng trai. |
Bệnh nhân sau đó thấy đau nhiều và mong sẽ đi ngoài để loại chiếc ruột ra ngoài, song vì đau quá đã đến bệnh viện.
Tại đây, bác sĩ cho bệnh nhân làm các xét nghiệm, chụp X-quang, siêu âm ổ bụng. Kết quả cho thấy có dị vật giống ruột bút bi kẹt lại trong dạ dày. Bác sĩ chỉ định nội soi để gắp dị vật ra ngoài. Khi nội soi đến vùng hang vị, bác sĩ đã nhận thấy chiếc ruột bút bi cắm hai đầu vào hai thành dạ dày. Trước khả năng dị vật gây thủng dạ dày cao, vì vậy bác sĩ đã dùng dụng cụ chuyên dụng dể gắp ruột bút bi.Sau 20 phút, dị vật là ruột bút bi dài 11 cm đã được gắp ra ngoài.
Ngộ độc thuốc gây tê khi đang rút chỉ vết khâu
Trưa ngày 23/3, Bệnh viện đa khoa Hùng Vương cấp cứu một bệnh nhân trong tình trạng buồn nôn, khó thở, run người, ban đỏ khắp cơ thể.
Bệnh nhân là chị T.T.H. (40 tuổi, xã Phú Mỹ, huyện Phù Ninh, Phú Thọ) bị ngộ độc thuốc tê.
Người nhà bệnh nhân cho biết, chị H. bị ngã xe máy cách đây 12 ngày, đã được đưa đến một cơ sở y tế trên địa bàn để xử trí khâu vết thương. Đến sáng ngày 23/3, bệnh nhân đi rút chỉ vết khâu.
Tại cơ sở, nhân viên y tế cho chị H. dùng 1 ống novocain (thuốc gây tê) để thực hiện thủ thuật. Thế nhưng sau khi dùng thuốc gây tê khoảng 15 phút thì bệnh nhân xuất hiện nổi mẩn đỏ toàn thân và được cho dùng thuốc solumedrol 1 ống, dimedrol 2 ống, 1 adrenalin (tĩnh mạch). Sau khi dùng thuốc được 3 phút, bệnh nhân xuất hiện run người, tím 2 bàn tay. Ngay sau đó bệnh nhân được đưa vào BV Đa khoa Hùng Vương cấp cứu.
Qua chẩn đoán, tại BV, các bác sĩ xác định bệnh nhân bị ngộ độc thuốc tê novocain và nhanh chóng truyền thành dòng nhũ dịch Lipofundin 20% giải độc nhanh cho bệnh nhân.
Sau khi truyền 1 chai Lipofundin 20% tình trạng nguy kịch đã được kiểm soát, huyết áp bệnh nhân giảm dần về giới hạn cho phép, liều dùng nhũ dịch Lipofundin tiếp tục được duy trì và sau khi truyền hết chai thứ hai bệnh nhân hồi phục hoàn toàn, không còn cảm giác buồn nôn, đau đầu, khó thở. Bệnh nhân được chuyển phòng hồi sức tích cực theo dõi sát trong các giờ tiếp theo.
Thu Hằng (T/h)













