Người phụ nữ sưng nề bàn chân sau khi đắp lá chữa gãy xương
Theo VnExpress, gia đình người phụ nữ 35 tuổi cho biết, 2 tuần trước, bệnh nhân bị trượt ngã gãy xương cẳng chân phải nhưng không đi viện mà nghe người quen mách đắp lá.
Thời gian gần đây, bệnh nhân đau, không vận động được cổ chân phải, sưng nề bàn chân, vùng cổ chân có biểu hiện viêm da, kích ứng, phải nhập Bệnh viện Đa khoa Hùng Vương.

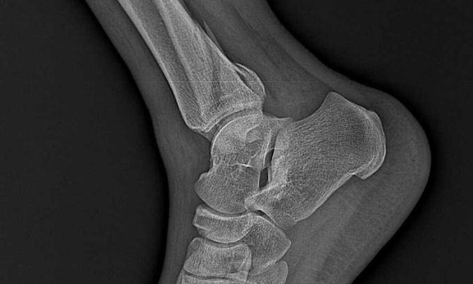
Ngày 19/2, các bác sĩ thông tin nữ bệnh nhân bị gãy 3 mắt cá chân nặng. Vùng cổ chân bị viêm, sưng đỏ do đắp lá không rõ nguồn gốc. Bác sĩ đã làm sạch ổ gãy, đặt lại xương, cố định lại bằng nẹp, vít. Hiện tại, sức khỏe của người bệnh ổn định, tiếp tục vận động để cải thiện tình trạng.
Được biết, gần đây, bệnh viện tiếp nhận nhiều trường hợp uống thuốc nam để chữa ung thư, bỏng nhưng chữa gãy xương thì khá hiếm. Gãy xương là tổn thương bên trong, tuyệt đối không lạm dụng thuốc nam, thuốc không rõ nguồn gốc, kéo dài thời gian điều trị, để lại nhiều biến chứng.
Khi gặp chấn thương, tốt nhất mọi người nên đến bệnh viện hoặc các cơ sở y tế để nhận được tư vấn của bác sĩ chuyên khoa.
Hóc dị vật, tổn thương phổi khi ngậm quả kha tử trị ho
Bệnh viện Trung ương Quân đội 108 (Hà Nội) vừa tiếp nhận và điều trị nam bệnh nhân 58 tuổi nhập viện trong tình trạng sốt cao, mệt mỏi, ho khạc đờm nhiều, theo VietNamNet.
Cách thời điểm vào viện 5 ngày, người bệnh bị ho khan do nhiễm lạnh. Theo phương pháp dân gian, người bệnh ngậm vỏ quả kha tử trị ho. Trong lúc ngậm, xuất hiện ho đột ngột, do không biết đã hít phải dị vật nên bệnh nhân không đi thăm khám kiểm tra.
Sau 2-3 ngày, bệnh nhân sốt cao 39-40 độ, ho nhiều hơn và bị khàn tiếng. Lúc này, người bệnh đến Bệnh viện Trung ương Quân đội 108 thăm khám, chụp CT ngực cho thấy hình ảnh tổn thương đông đặc thùy giữa phổi phải và dị vật trong lòng phế quản.

Qua nội soi phế quản ống mềm, các bác sĩ phát hiện dị vật có kích thước 1,2 x 1,5cm gây tắc hoàn toàn phế quản trung tâm. Các bác sĩ đã tiến hành gắp dị vật, hút rửa sạch phế quản.
Sau khi được nội soi lấy dị vật, bệnh nhân hết sốt, triệu chứng ho giảm. Tiếp tục điều trị kháng sinh, bệnh nhân dần ổn định và được xuất viện.
Cắt bỏ khối u ở tử cung nặng 7kg cho người phụ nữ 58 tuổi
VTV News đưa tin, Bệnh viện Đa khoa Đồng Nai vừa mổ lấy khối u xuất phát từ tử cung nặng 7kg cho nữ bệnh nhân 58 tuổi. 2 năm trước, người bệnh phát hiện khối u ở tử cung nhưng do không thấy đau nên chủ quan không chữa trị.
Mãi đến khi bụng to như phụ nữ mang thai, cứng ở phần hạ sườn, ăn không tiêu..., người bệnh mới đi khám tại TP.HCM. Kết quả kiểm tra cho thấy trong bụng bệnh nhân có khối u lớn. Để được hưởng bảo hiểm y tế, bệnh nhân được chuyển về Bệnh viện Đa khoa Đồng Nai điều trị.
Tại Bệnh viện Đa khoa Đồng Nai, nhiều bác sĩ của các chuyên khoa khác nhau đã hội chẩn và tiến hành mổ cho bệnh nhân. Đây là ca mổ được đánh giá khá khó và các bác sĩ phải mất gần 3 tiếng mới lấy được khối u cho bệnh nhân.

"Khối u này chúng tôi cắt mạch máu, rời tử cung, kéo ngược ra. Làm vậy vết mổ đỡ rộng, đỡ yếu thành bụng. Thành bụng yếu thoát vị ra ngoài. May mắn là bệnh nhân không mất nhiều máu", ThS.BS Nguyễn Mạnh Hoan – Trưởng khoa Phụ sản chia sẻ về ca bệnh.
Sau mổ, người bệnh đã dần hồi phục sức khỏe nhưng kết quả giải phẫu khối u cho thấy, có một số tế bào lạ, bệnh nhân có khả năng bị ung thư ở giai đoạn sớm.
Theo khuyến cáo của các bác sĩ, khi khối u quá to, việc phẫu thuật rất khó khăn. Chưa kể, khối u quá lớn sẽ bị dính và chèn ép các bộ phận khác trong cơ thể. Vì vậy, các chị em cần thường xuyên khám phụ khoa định kỳ, kể cả người có gia đình hay sống độc thân, qua đó phát hiện sớm, chữa trị sớm thì sức khỏe mới đảm bảo.
Đinh Kim(T/h)









