Cụ bà bị trúng “đạn lạc” khi đang lượm cà phê
Theo thông tin trên báo Đắk Nông, Bệnh viện Đa khoa tỉnh Đắk Nông thông tin vừa cứu sống thành công cụ bà 95 tuổi bị “đạn lạc” bắn trong khi đang lượm cà phê. Cụ thể, bệnh nhân là H.T.P (SN 1928), dân tộc Mông, trú tại xã Đắk Ngo, huyện Tuy Đức, tỉnh Đắk Nông.
Người nhà bệnh nhân kể sáng 8/12, người bệnh đi lượm nhặt cà phê thì bị trúng đạn không biết do ai bắn. Bệnh nhân được đưa tới Trung tâm Y tế huyện Đắk R'lấp sơ cứu.
Đến 14h cùng ngày, bệnh nhân được chuyển lên Bệnh viện Đa khoa tỉnh Đắk Nông. Mặc dù chảy máu nhưng bệnh nhân nhập viện trong tình trạng tỉnh táo, dấu hiệu sinh tồn ổn định, bình thường, không bị khó thở.

Qua tiến hành sơ cứu kiểm tra, các bác sĩ nhận thấy, bệnh nhân có 1 vết thương ở vùng hõm ức, kích thước 1x1cm, rỉ máu, đau nhiều nhưng không sờ thấy dị vật. Sau khi được chụp X-quang, các bác sĩ phát hiện thấy dị vật giống hình viên đạn nằm sâu trong vết thương ở ngực được chỉ định phẫu thuật.
Sau 45 phút phẫu thuật, bệnh nhân đã được các y bác sĩ tại Bệnh viện Đa khoa tỉnh Đắk Nông cứu sống thành công. Hiện tại, sức khỏe bệnh nhân đã ổn định và đang tiếp tục được theo dõi, điều trị tại bệnh viện.
Ngành Y tế khuyến cáo, người dân khi bị vết thương hỏa khí cần nhanh chóng chuyển tới cơ sở y tế chuyên khoa để được cấp cứu kịp thời, cứu sống tính mạng.
Liên quan đến vụ việc, theo ông Phạm Xuân Lam - Chủ tịch UBND xã Đắk Ngo, chính quyền địa phương đã ghi nhận thông tin về trường hợp của bệnh nhân H.T.P. Hiện, địa phương đã giao vụ việc cho Công an xã Đắk Ngo phối hợp với Công an huyện Tuy Đức để xác minh và làm rõ sự việc.
Chân bé gái sưng tấy chỉ vì sợi tóc của mẹ
VTC News dẫn thông tin từ The Mirror cho hay, chị Laura Powles (ở Bridgend, xứ Wales) đang thay bỉm cho con gái Skylah-Rae thì phát hiện một ngón chân bên bàn chân phải của con sưng tấy, đỏ.
Ngay sau đó, chị Laura đưa con đi khám và các bác sĩ phát hiện ngón chân bé sưng là do bị tóc của mẹ quấn chặt, khiến máu không lưu thông. Các bác sĩ sau đó đã phải dùng kem tẩy lông để gỡ sợi tóc ra khỏi ngón chân đang sưng tấy của em bé, rồi lấy nhíp phẫu thuật gỡ nó ra.

"Nếu không phát hiện sớm, ngón chân của con gái tôi có thể bị hoại tử. Lúc đó ngón chân đã bị đỏ và sưng tấy. Các bác sĩ nói chân con tôi bị tóc quấn chặt khiến máu không lưu thông.
Họ bôi kem tẩy lông 4 lần trong vòng 20 phút để loại bỏ sợi tóc nhưng sau 20 phút thử 4 lần kem tẩy lông, da chân chỗ sưng của con tôi bị rách, khiến bé rất đau đớn.
Các bác sĩ đã nghĩ tới phương án phẫu thuật để lấy sợi tóc quấn chặt khỏi ngón chân con tôi nhưng may mắn sau lần bôi kem tẩy lông thứ 4, sợi tóc đã tan ra", The Mirror dẫn lời người phụ nữ.
Chị Laura quyết định chia sẻ sự việc xảy đến với con gái với mong muốn các bậc cha mẹ khác không mắc lỗi như chị, gây nguy hiểm cho ngón tay, ngón chân của con nhỏ.
Cứu người đàn ông bị phình động mạch chủ ngực phức tạp
Theo thông tin trên báo Sức Khỏe & Đời Sống, nam bệnh nhân T.V.D. (86 tuổi, trú tại xã Thiệu Vận, huyện Thiệu Hóa, tỉnh Thanh Hóa) có tiền sử tăng huyết áp nhưng điều trị không thường xuyên, nhập viện tại khoa Nội Tim mạch Bệnh viện Đa khoa tỉnh Thanh Hóa với triệu chứng đau ngực trái dữ dội lan ra sau lưng, khó thở, kèm khàn tiếng.
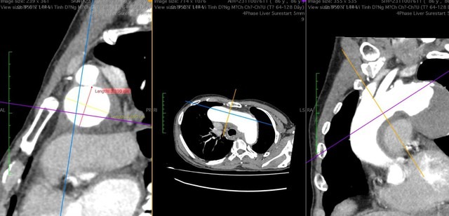
Sau khi thăm khám, làm các xét nghiệm cận lâm sàng và chụp MSCT, bệnh nhân được chẩn đoán phình lớn động mạch chủ ngực ngay dưới động mạch dưới đòn trái, kích thước 57 x 59mm, khối phình gây triệu chứng đau ngực và khàn tiếng do liệt dây thần kinh quặt ngược trái.
TS.BS Lê Thế Anh - Trưởng khoa Nội Tim mạch, người trực tiếp can thiệp và điều trị cho bệnh nhân D. cho biết, trường hợp bệnh nhân này là ca bệnh rất phức tạp, ngoài kích thước khối phình lớn có nguy cơ vỡ bất cứ lúc nào ảnh hưởng đến tính mạng người bệnh.

"Vị trí và đặc điểm của túi phình đặc biệt, cổ túi phình rất ngắn (1cm), không phù hợp với chỉ định đặt stent bằng phương pháp can thiệp thông thường do có thể sẽ làm bít tắc đến các mạch máu chính nuôi não và cánh tay. Bên cạnh đó, bệnh nhân tuổi cao, thể trạng yếu nên phương pháp phẫu thuật cũng không được chỉ định", TS.BS Lê Thế Anh nói.
Để có phương án điều trị tối ưu cho bệnh nhân, các bác sĩ khoa Nội Tim mạch, khoa Phẫu thuật Thần kinh - Lồng ngực Bệnh viện Đa khoa tỉnh Thanh Hóa và các chuyên gia đầu ngành Bệnh viện tuyến Trung ương hội chẩn và quyết định kết hợp phương pháp phẫu thuật và can thiệp nội mạch.
Sau phẫu thuật, bệnh nhân được hồi sức, tỉnh táo và bước tiếp vào phòng can thiệp đặt stent graft để kịp thời xử lý khối phình. Bệnh nhân được xuất viện sau 5 ngày theo dõi và điều trị theo phác đồ.
XEM THÊM: Trào lưu "ăn trứng 10 ngày giảm 5 -8kg" có đúng như lời đồn, cùng lắng nghe chuyên gia
Theo TS.BS Lê Thế Anh, đây là một trường hợp phẫu thuật mạch máu rất phức tạp, đặc biệt là khi phải chuyển vị hoàn toàn 2 nhánh mạch máu nuôi não. Trong suốt quá trình phẫu thuật chuyển vị phải duy trì huyết động tối ưu, đảm bảo độ mê và theo dõi tưới máu não liên tục bằng máy theo dõi độ bão hòa oxy não để đảm bảo cung cấp máu đầy đủ cho não bệnh nhân.
Bên cạnh đó, vị trí túi phình là vị trí khó để đặt stent graft do liên quan đến giải phẫu vùng cổ, có thể gây tổn thương thần kinh đặc biệt vùng tủy ngực. Tuy nhiên, nhờ việc phối hợp nhịp nhàng liên chuyên khoa trong điều trị, bệnh nhân đã được điều trị thành công. Đây không chỉ là niềm vui cho bệnh nhân và gia đình mà còn là niềm vui của đội ngũ y bác sĩ.
Đinh Kim(T/h)









