Nguy kịch vì thức uống nhiều đàn ông yêu thích
Theo VietNamNet, ông T.V.C (55 tuổi, Gia Lâm, Hà Nội) được đưa vào Bệnh viện Nội tiết Trung ương (Hà Nội) cấp cứu trong tình trạng đau bụng dữ dội, khó thở, mệt lả và tụt huyết áp. Hai ngày trước, ông C. xuất hiện cơn đau thượng vị lan ra sau lưng, sốt và khó thở tăng dần. Khi tiếp nhận, ê-kíp ghi nhận bệnh nhân sốt cao, tím tái, thở nhanh, huyết áp rất thấp và có dấu hiệu suy hô hấp cấp.
Bệnh nhân có tiền sử đái tháo đường, gout mạn tính, suy thượng thận do dùng thuốc kéo dài. Tuy nhiên, ông C. lại thích uống rượu.

Bệnh nhân đang được bác sĩ theo dõi chặt chẽ. Ảnh: VietNamNet.
Kết quả xét nghiệm cho thấy bệnh nhân ở tình trạng nguy cấp suy đa tạng tiến triển. Các bác sĩ đã chỉ định thở máy xâm nhập, bù dịch tích cực, duy trì hai vận mạch liều cao, dùng kháng sinh phổ rộng và thực hiện lọc máu liên tục.
Sau gần 3 ngày lọc máu và chăm sóc tích cực, sức khỏe bệnh nhân cải thiện rõ rệt, tỉnh táo, huyết động ổn định, ngừng lọc máu, từng bước cai máy thở.
Những ngày tiếp theo, các chỉ số sinh tồn trở lại bình thường, bệnh nhân hết sốt, huyết áp duy trì ổn định, bụng mềm và ăn uống tốt hơn và tiếp tục được theo dõi.
Các bác sĩ Bệnh viện Nội tiết Trung ương khuyến cáo, việc lạm dụng rượu bia được xác định là nguyên nhân của 70% trường hợp viêm tụy mạn tính. Bệnh thường khởi phát đột ngột, tiến triển nhanh trong thời gian ngắn và có thể đe dọa tính mạng nếu không được cấp cứu kịp thời. Các triệu chứng có thể xuất hiện từ nhẹ đến rất nghiêm trọng.
Những dấu hiệu thường gặp gồm:
- Đau bụng dữ dội, cơn đau thường bắt đầu ở vùng thượng vị (trên rốn), lan lên ngực, sang hai bên mạn sườn rồi xuyên ra sau lưng. Ở những người uống nhiều rượu bia, cơn đau có thể kéo dài nhiều giờ và tăng mạnh sau ăn, đặc biệt khi dùng thực phẩm nhiều dầu mỡ hoặc bữa ăn quá thịnh soạn.
- Sốt, đầy hơi, buồn nôn và nôn, rối loạn tiêu hóa.
- Nhịp tim tăng nhanh, cảm giác mệt lả.
Khi xuất hiện các triệu chứng trên, đặc biệt là đau bụng dữ dội kèm nôn nhiều hoặc khó thở, người bệnh cần đến cơ sở y tế ngay để được chẩn đoán và xử trí kịp thời.
Bộ Y tế yêu cầu gỡ ngay khỏi sàn thương mại điện tử loại sữa nhiễm khuẩn
Theo Dân Trí, trong công văn gửi đến Cục Thương mại điện tử và Kinh tế số - Bộ Công Thương, Cục An toàn thực phẩm thông tin, ngày 19/11, hệ thống các cơ quan an toàn thực phẩm quốc tế (INFOSAN) thông báo về vụ việc trẻ sơ sinh bị ngộ độc botulinum đang diễn ra tại Hoa Kỳ liên quan đến việc tiêu thụ sữa công thức ByHeart Whole Nutrition Infant Formula bị nhiễm khuẩn.
Tính đến ngày 17/11, Trung tâm Kiểm soát và Phòng ngừa Dịch bệnh Hoa Kỳ (CDC) đã báo cáo 23 trường hợp nghi ngờ và được xác nhận trên 13 tiểu bang, tất cả đều phải nhập viện.
Các bậc cha mẹ và người chăm sóc tại Hoa Kỳ được khuyến cáo ngừng sử dụng bất kỳ sản phẩm sữa công thức ByHeart Whole Nutrition Infant Formula nào ngay lập tức, bao gồm tất cả các số lô, tất cả các kích cỡ lon và gói dùng một lần.
Hiện nay, Công ty ByHeart Inc, Hoa Kỳ (nhà sản xuất) đang tiến hành thu hồi tự nguyện toàn bộ các lô sữa công thức ByHeart Whole Nutrition Infant Formula trên thị trường.
Trên một số sàn thương mại điện tử và ứng dụng thương mại điện tử tại Việt Nam như Lazada... có kinh doanh sản phẩm sữa công thức ByHeart Whole Nutrition Infant Formula. Vì vậy, Cục An toàn thực phẩm đề nghị Cục Thương mại điện tử và Kinh tế số yêu cầu các sàn thương mại điện tử và ứng dụng thương mại điện tử gỡ bỏ thông tin.
Trước đó, ngày 20/11, ngay sau khi Bộ Y tế phát đi cảnh báo về loại sữa dùng cho trẻ sơ sinh có nguy cơ gây ngộ độc ở Mỹ, phóng viên Dân trí đã khảo sát, cho thấy trong chiều 20/11, sản phẩm này vẫn xuất hiện trên một sàn thương mại điện tử ở Việt Nam.
Cục An toàn thực phẩm cho biết đã yêu cầu Sở Y tế, Sở An toàn thực phẩm, Chi cục An toàn thực phẩm các tỉnh, thành phố khẩn trương rà soát việc đăng ký bản công bố, tự công bố đối với sản phẩm sữa công thức ByHeart Whole Nutrition Infant Formula do Công ty ByHeart Inc, Hoa Kỳ sản xuất.
Đồng thời làm việc với công ty công bố sản phẩm sữa công thức ByHeart Whole Nutrition Infant Formula (nếu có), yêu cầu công ty thông báo cho các đơn vị phân phối, người tiêu dùng ngừng việc sử dụng sản phẩm và tiến hành thu hồi theo khuyến cáo của nhà sản xuất.
Cục An toàn thực phẩm cũng đề nghị người tiêu dùng không sử dụng toàn bộ các lô sản phẩm sữa công thức ByHeart Whole Nutrition Infant Formula nêu trên.
Thợ lặn biển hơn 20 năm bị hoại tử xương cánh tay, xương đùi
Theo Sức khoẻ & Đời sống, Bệnh viện Hữu nghị Quảng Bình cho biết, vừa tiếp nhận một bệnh nhân bị hoại tử xương chỏm cánh tay và tổn thương khớp háng nghi do ảnh hưởng lâu dài của nghề lặn biển.
Bệnh nhân N.V.H. (39 tuổi, trú xã Quảng Ninh, tỉnh Quảng Trị) đến viện thăm khám khi gặp tình trạng đau nhức vai trái nhiều tuần, cơn đau tăng khi nâng tay, dang tay hoặc thực hiện các động tác.

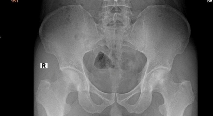
Bệnh nhân có dấu hiệu hoại tử vô mạch chỏm xương đùi hai bên độ 2 theo ficat và alert. Ảnh: Sức khoẻ & Đời sống.
Kết quả chụp MRI cho thấy phần chỏm xương cánh tay trái bị hoại tử, ổ hoại tử lan xuống vùng cổ và thân xương cánh tay. Khi chụp X-quang phần khớp háng nhận thấy dấu hiệu hoại tử vô mạch chỏm xương đùi hai bên độ 2 theo ficat và alert (tình trạng tế bào xương ở chỏm xương đùi chết đi do mất nguồn cung cấp máu).
Qua khai thác bệnh sử, bệnh nhân H. cho biết, làm nghề thợ lặn tự do hơn 20 năm, chuyên lặn biển đánh bắt hải sản và lặn trục vớt. Công việc nặng nhọc, tiếp xúc với môi trường áp lực cao trong thời gian dài khiến anh thường xuyên chịu tải lớn lên vùng vai – tay.
Bác sĩ Nguyễn Mạnh Thưởng, Trưởng Khoa Ngoại – Gây mê hồi sức, Bệnh viện Hữu nghị Quảng Bình cho biết, hoại tử chỏm xương là bệnh lý có thể diễn tiến âm thầm. Khi đã lan rộng sẽ làm tăng nguy cơ xẹp chỏm xương, gãy xương bệnh lý, mất chức năng khớp vai hoặc khớp háng người bệnh. Nếu tình trạng diễn tiến nặng phải phẫu thuật thay khớp để duy trì khả năng vận động.
Thợ lặn có nguy cơ cao bị hoại tử vô mạch khớp vai và khớp háng do áp lực khí nén cao và những thay đổi đột ngột về áp suất trong quá trình lặn, gây tổn thương mạch máu và thiếu máu cục bộ dẫn đến hoại tử xương. Người thợ lặn có thể phải ngừng công việc với những tổn thương này.
Với tình trạng sức khỏe, bệnh nhân được bác sĩ tư vấn chuyển lên tuyến trên để được thăm khám và điều trị chuyên sâu. Việc trì hoãn điều trị trong trường hợp này có thể khiến tổn thương xương tiến triển nhanh hơn, tăng nguy cơ gãy xương trong lúc lao động dưới nước – tình huống có thể đe dọa trực tiếp đến tính mạng.
Bác sĩ Thưởng khuyến cáo, nhóm nghề nghiệp thợ lặn, thợ lặn trục vớt, công nhân áp lực cao cần khám sức khỏe định kỳ khi có đau dai dẳng vùng vai – hông – háng, chú ý các triệu chứng hạn chế vận động. Bệnh nhân cần điều trị sớm để tránh biến chứng nặng nề.










