Gia đình xin đưa về lo hậu sự, cụ bà bất ngờ có phản xạ, thoát “cửa tử”
Theo VietNamNet, ngày 13/3, bà N.T.T. (73 tuổi, trú tại Hiệp Hòa, Bắc Giang) xuất hiện các triệu chứng đau tức ngực, khó thở. Gia đình đã đưa bà T. đến Trung tâm Y tế huyện Hiệp Hòa khám nhưng bệnh nhân bất ngờ ngừng tuần hoàn và được cấp cứu bằng thở máy, đặt nội khí quản, sử dụng thuốc vận mạch.
Cùng ngày 13/3, bệnh nhân được chuyển tuyến đến Bệnh viện Bạch Mai (Hà Nội). Tại đây, các bác sĩ tiên lượng tình trạng rất nặng nên trong ngày 13/3, gia đình xin đưa bệnh nhân về lo hậu sự.
Khi đến nhà, người thân phát hiện bà T. có phản xạ kích thích, với hy vọng “còn nước còn tát” nên lập tức đưa bệnh nhân quay trở lại Bệnh viện Đa khoa tỉnh Bắc Giang ngay trong ngày 13/3.
Tại khoa Cấp cứu, bệnh nhân nhập viện trong tình trạng hôn mê sâu, đang thở máy qua nội khí quản, huyết áp chỉ còn 60/40 mmHg. Các bác sĩ đánh giá đây là một trường hợp hôn mê sau ngừng tuần hoàn – sốc tim, nghi ngờ nhồi máu cơ tim cấp.

Bệnh nhân đang tiếp tục được hỗ trợ vật lý trị liệu. Ảnh: VietNamNet
Trước tình trạng nguy kịch, các bác sĩ lập tức tiến hành hội chẩn liên chuyên khoa và quyết định chuyển người bệnh đến phòng can thiệp tim mạch để thực hiện chụp và can thiệp mạch vành khẩn cấp.
Tại phòng can thiệp, ekip tiến hành chụp DSA phát hiện động mạch vành phải bị tắc hoàn toàn, động mạch mũ hẹp nặng. Các bác sĩ đã nhanh chóng đặt một stent động mạch vành phải, tái thông dòng chảy mạch vành. Người bệnh được chuyển về khoa Hồi sức tích cực – Chống độc để tiếp tục điều trị, theo dõi sát.
Bác sĩ CKI Thái Văn Tiệp - Phó Trưởng khoa Hồi sức tích cực – Chống độc Bệnh viện Đa khoa tỉnh Bắc Giang) ho biết, tình trạng của bệnh nhân rất nặng, tổn thương tim nghiêm trọng, kèm theo diễn biến phức tạp của sốc tim sau ngừng tuần hoàn.
"Trong quá trình cấp cứu, bệnh nhân có lúc tưởng không thể qua khỏi, huyết áp tụt sâu. Bác sĩ phải dùng kết hợp hai loại thuốc vận mạch liều cao để duy trì tuần hoàn. Bệnh nhân từng được cai thở máy, rút ống nội khí quản nhưng sau đó lại suy hô hấp trở lại, buộc phải đặt lại nội khí quản", bác sĩ Tiệp cho biết.
Đến ngày 8/4, sau cả quá trình điều trị và nỗ lực của gia đình, bệnh nhân đã có những dấu hiệu hồi phục rõ rệt, được rút ống nội khí quản, thở oxy, các chỉ số sinh tồn ổn định.
Hiện tại, bà T. tỉnh táo, tự thở khí phòng, ăn uống được qua đường miệng. Bệnh nhân đang tiếp tục được hỗ trợ vật lý trị liệu và dự kiến có thể xuất viện trong 1 - 2 ngày tới.
Bé 5 tuổi nuốt phải nam châm khi đang ăn cơm
Theo báo Sức Khỏe & Đời Sống, ngày 16/4, Bệnh viện TP.Thủ Đức (TP.HCM) cho biết, bệnh viện vừa tiếp nhận bệnh nhi bị hóc dị vật đường tiêu hoá trên.
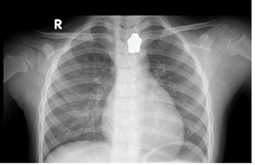
Cụ thể, bệnh nhi N.N.N.Y (5 tuổi, ngụ TP.Thủ Đức, TPHCM) nuốt phải nam châm hình ngôi sao trong lúc ăn cơm. Bệnh nhi nhập viện trong tình trạng mắc nghẹn, đau vùng cổ, khó thở nhẹ. Kết quả chụp X-quang ghi nhận, dị vật hình ngôi sao cản quang mắc tại vùng cổ.
Bác sĩ CKI Phan Chương ở khoa Thăm dò chức năng, Bệnh viện TP.Thủ Đức cho biết, do dị vật có bề mặt trơn láng và mắc tại thực quản trên nên việc dùng kiềm cá sấu để gắp dị vật ra rất khó. Các bác sĩ đã quyết định áp dụng kỹ thuật đẩy dị vật theo nhu động thực quản xuống dạ dày sau đó dùng vợt chuyên dụng để lấy ra.
Sau thủ thuật, kiểm tra nội soi ghi nhận niêm mạc thực quản trơn láng, không tổn thương hay chảy máu. Bệnh nhi có thể uống sữa và được theo dõi thêm một ngày và đã được xuất viện.

Kết quả chụp X-quang ghi nhận, dị vật hình ngôi sao cản quang mắc tại vùng cổ. Ảnh: Sức Khỏe & Đời Sống
Bác sĩ CKI Phan Chương cho biết, dị vật đường tiêu hoá là tình trạng cấp cứu thường gặp ở trẻ, đặc biệt trong độ tuổi từ 6 tháng đến 3 tuổi. Những dị vật nguy hiểm như vật sắc nhọn, pin, nam châm, vật hút ẩm… nếu không được xử trí kịp thời có thể gây biến chứng nặng nề.
ThS.BSCKII Kim Phúc Thành - Trưởng khoa Thăm dò chức năng, Bệnh viện TP.Thủ Đức cho biết, mỗi năm bệnh viện tiếp nhận khoảng 80-100 ca dị vật đường tiêu hóa.
Để phòng ngừa, bác sĩ khuyến cáo phụ huynh cần giám sát trẻ chặt chẽ, cất giữ vật nhỏ ngoài tầm tay trẻ, không để trẻ vừa chơi vừa ăn và nhanh chóng đưa trẻ đến bệnh viện khi nghi ngờ nuốt dị vật.
Gắp ký sinh trùng dài gần 10cm trú ẩn trong mắt người phụ nữ
Theo VietnamPlus, ngày 16/4, Bệnh viện Bệnh nhiệt đới Trung ương thông tin các bác sĩ của bệnh viện vừa tiếp nhận và điều trị nữ bệnh nhân N.T.T (53 tuổi, ở Hà Nam) mắc ký sinh trùng hiếm gặp.
Bệnh nhân đến khám với tình trạng đau nhức mắt kéo dài, cảm giác cộm như có dị vật, chảy nước mắt liên tục và ngứa râm ran. Trước đó, bệnh nhân đã tự ý nhỏ thuốc mắt tại nhà nhưng không thấy cải thiện.
Tại bệnh viện, khi thăm khám chuyên sâu và kiểm tra bằng các thiết bị chuyên dụng, các bác sĩ đã phát hiện có ký sinh trùng trong mắt bệnh nhân. Ngay sau khi phát hiện, ký sinh trùng đã được lấy ra an toàn trong điều kiện vô trùng. Mẫu vật hiện đang được phân tích tại phòng xét nghiệm ký sinh trùng học để định danh và phân tích thêm.

Ký sinh trùng được gắp ra ngoài. Ảnh: VietnamPlus
Bác sĩ Nguyễn Thị Thu Huyền - Trung tâm Khám chữa bệnh theo yêu cầu và quốc tế cho hay nếu không được phát hiện và xử trí kịp thời, ký sinh trùng có thể gây viêm nhiễm kéo dài, tổn thương giác mạc, suy giảm thị lực, thậm chí dẫn đến mù lòa.
Theo bác sĩ Huyền, trường hợp bệnh nhân trên cảnh báo về việc ký sinh trùng không chỉ gây bệnh ở đường tiêu hóa như nhiều người vẫn nghĩ. Trên thực tế, chúng có thể xâm nhập vào các cơ quan quan trọng như mắt, não, phổi, gan, hoặc tim và gây ra những biến chứng nặng nề nếu không được phát hiện sớm. Đáng lo ngại hơn, ký sinh trùng có thể tồn tại âm thầm trong cơ thể nhiều tháng, thậm chí nhiều năm mà không bộc lộ triệu chứng rõ rệt.
Một số biểu hiện ban đầu của người mắc ký sinh trùng như đau bụng kéo dài không rõ nguyên nhân, rối loạn tiêu hóa, dị ứng tái phát, nổi mẩn ngứa toàn thân, sụt cân nhanh hoặc các triệu chứng bất thường ở mắt như đỏ, ngứa, chảy nước mắt thường xuyên có thể dễ dàng bị bỏ qua.
Các bác sĩ khuyến cáo, nguồn lây nhiễm ký sinh trùng thường bắt nguồn từ các thói quen ăn uống và sinh hoạt thiếu an toàn như ăn thịt tái, tiết canh, rau sống không rửa kỹ, uống nước lã hoặc không tẩy giun định kỳ. Bên cạnh đó, môi trường sống ô nhiễm và nguồn nước không đảm bảo vệ sinh cũng góp phần làm gia tăng nguy cơ mắc bệnh trong cộng đồng. Do đó, người dân cần nâng cao ý thức phòng ngừa bệnh.
Bác sĩ Nguyễn Thị Thu Huyền khuyến cáo để phòng bệnh do ký sinh trùng gây ra người dân cần giữ gìn vệ sinh cá nhân, tẩy giun định kỳ 6 tháng một lần, ăn chín uống sôi, rửa tay bằng xà phòng trước khi ăn và sau khi đi vệ sinh, đồng thời duy trì nguồn nước sạch và môi trường sống lành mạnh.










