Bệnh viện Hữu nghị Việt Đức vừa cấp cứu thành công một bệnh nhân nam bị que xiên thịt đâm trúng tủy sống, nguy hiểm tính mạng.
TTXVN đưa tin, Tiến sĩ - bác sĩ Nguyễn Hoàng Long, Phó trưởng Khoa Phẫu thuật cột sống, Bệnh viện Hữu nghị Việt Đức (Hà Nội), cho biết ngày 6/7/2019, bệnh nhân N.C.H (21 tuổi, ở Bắc Ninh) nhập viện với vết thương rất nặng do dị vật cắm vào tủy sống.
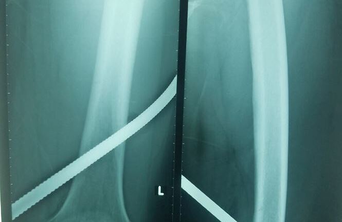
Dị vật được các bác sĩ phẫu thuật lấy ra từ cột sống của bệnh nhân - Ảnh: TTXVN. |
Theo người nhà bệnh nhân, sự việc xảy ra trong lúc H. đang ăn cỗ cưới thì bị một người bạn có mâu thuẫn cầm que xiên thịt đâm trúng vào vùng thắt lưng bên trái.
Bệnh nhân nhập viện trong tình trạng tê bì tầng sinh môn, bí đái và có vết thương ở thắt lưng bên trái. Các bác sĩ đã tiến hành phẫu thuật làm sạch đường vào và lấy hoàn toàn dị vật cho bệnh nhân.
Sau 7 ngày điều trị tích cực, tình trạng của bệnh nhân ổn định và đã được ra viện.
Thanh niên dẫn lời bác sĩ chuyên khoa cho hay, tủy sống cùng với não hình thành nên hệ thần kinh T.Ư, có vai trò điều phối cử động và cảm giác của cơ thể. Tổn thương tủy sống thường có nguyên nhân do chấn thương cột sống. Các chấn thương này gây ảnh hưởng đến khả năng của tủy sống trong việc gửi và nhận tín hiệu từ não đến các hệ của cơ thể điều khiển cảm giác, vận động và một số chức năng khác của của cơ thể.
Tiến sĩ Nguyễn Hoàng Long đánh giá, với tình huống của bệnh N.C.H, đó là vết thương ít gặp ở ống sống, bởi lực tác động vào tương đối đặc biệt, cắm thẳng vào tủy sống, thay vì tổn thương thường gặp khác. Nếu không điều trị kịp thời, tổn thương tủy sống có thể khiến người bệnh gặp phải những di chứng rất nặng nề.
Đặt biệt, không chỉ gây tổn thương, các vật như que xiên thịt khi đâm vào cơ thể có nguy cơ nhiễm trùng cao do dị vật có kèm theo nhiều vi khuẩn, uốn ván... Bởi vậy, nếu không may khi gặp trường hợp tương tự, bệnh nhân cần đến ngay các cơ sở y tế chuyên khoa uy tín để được cấp cứu kịp thời, tránh nguy hiểm đến tính mạng.
Minh Khôi(T/h)










