
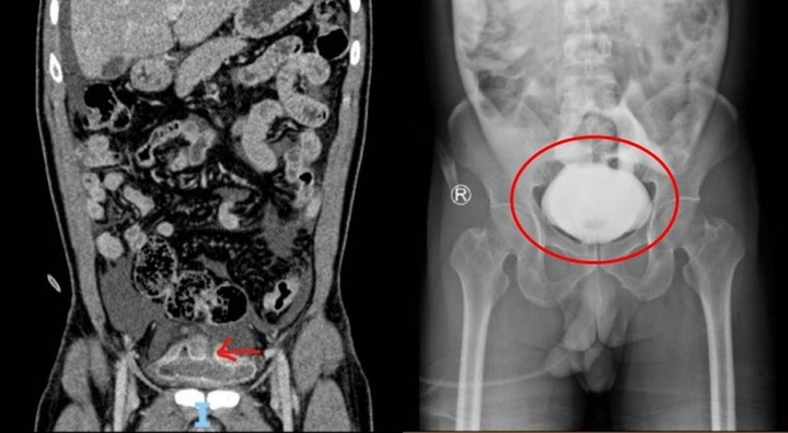
Tin tức đời sống 8/12: Gắp dây sạc trong bàng quang nam sinh 16 tuổi
Gắp dây sạc trong bàng quang nam sinh 16 tuổi; Đột ngột đổ gục khi đi vệ sinh, người phụ nữ được chấn đoán đột quỵ...là những tin đởi sống đáng chú ý.

Gắp dây sạc trong bàng quang nam sinh 16 tuổi; Đột ngột đổ gục khi đi vệ sinh, người phụ nữ được chấn đoán đột quỵ...là những tin đởi sống đáng chú ý.

Nam công nhân 44 tuổi phải cấp cứu vì bị vỡ đại tràng nghiêm trọng sau khi một người bạn dùng vòi xịt hơi áp lực cao xịt vào vùng nhạy cảm của anh.

Một người phụ nữ đã phải nhập viện khẩn cấp sau khi bị vỡ bàng quang trong phúc mạc do tự té vì uống quá nhiều rượu, bia.

Nhịn tiểu khi uống bia, một người đàn ông đã bị vỡ bàng quang, được các y bác sĩ Bệnh viện Nhân dân 115 kịp thời cứu chữa.

Người phụ nữ sống chung với tình trạng rò nước tiểu từ âm đạo không kiểm soát trong nhiều năm do một tai biến sản khoa từ năm 1992.

Đi tiểu nhiều lần trong ngày, người phụ nữ ở Hà Nội được các bác sĩ phát hiện có 2 bàng quang "thật" và "giả" hay còn gọi là túi thừa bàng quang.

Tin tức đời sống mới nhất ngày 9/4/2024. Cập nhật tin đời sống mới nhất ngày 9/4/2024 trên trang Đời sống & Pháp luật.

Bé gái được người nhà đưa vào bệnh viện trong tình trạng đau bụng. Qua kiểm tra, các bác sĩ phát hiện có một cây kim trong niệu đạo cháu bé.

Các bác sĩ nhất trí cho rằng người đàn ông đã không ăn đoạn dây sạc điện thoại như anh ta cam đoan mà đã đưa nó vào cơ thể qua đường phía dưới kiểu "tự sướng".

Bạn thường xuyên phải ngại ngùng, xấu hổ và tự ti vì căn bệnh khó nói mang tên tiểu són, tiểu nhiều, tiểu gấp, mà nguyên nhân là do hội chứng bàng quang kích thích.

Các bác sĩ ở Chiết Giang (Trung Quốc) vừa thực hiện ca phẫu thuật loại bỏ 70 viên bi từ trường trong bàng quang của một cậu bé 11 tuổi.

Bằng việc thực hiện một vài biện pháp sau, bạn có thể giữ cho bàng quang luôn khỏe mạnh.

Seb Cheer, 18 tuổi, đến từ ĐH Leeds, Cardiff luôn phải sử dụng thuốc liên tục để kiểm soát chứng bàng quang tăng hoạt của mình.

Bị đau ở hông và gặp khó khăn khi đi tiểu, người đàn ông đã đi khám bác sĩ và phát hiện sự thật bất ngờ.

Một cậu bé 11 tuổi đã phải làm phẫu thuật để lấy ra 26 viên bi nam châm mà cậu ta đã "chèn" vào dương vật của mình vì "tò mò".

Ngày 18/11, BVĐK bắc Quảng Nam cho biết, kíp mổ đã tiến hành phẫu thuật loại bỏ dị vật là một ống ruột bút bi dài 9cm ra khỏi dương vật của nạn nhân.
(ĐSPL) – Bé trai bị cắt nhầm gần hết bàng quang Trần Anh Đức ở Cam Ranh, Khánh Hòa vừa được các bác sĩ Mỹ và Bệnh viện Nhi Đồng 2 (TP.HCM) thăm khám.

(ĐSPL) – Obama thừa nhận từng hút ma túy, lũ lụt lịch sử ở Pháp,…là các tin tức nổi bật trên thế giới trong 24 giờ qua.