Dòng sự kiện
      +Aa-
      Zalo

      Phục hồi thẩm mỹ và chức năng cho bệnh nhân bị khuyết hổng xương hàm dưới

      • DSPL

      (ĐS&PL) - Những bệnh nhân bị khuyết hổng xương hàm do nguyên nhân u nang hàm mặt, viêm nha chu, hoại tử xương hàm, chấn thương…

      Những bệnh nhân bị khuyết hổng xương hàm do nguyên nhân u nang hàm mặt, viêm nha chu, hoại tử xương hàm, chấn thương… thường dẫn đến khó khăn trong việc phục hồi chức năng ăn nhai và thẩm mỹ.

      Nếu kế hoạch điều trị chỉ sử dụng các phương pháp thông thường mà không thực hiện việc ghép xương thay thế xương hàm khuyết hổng thì hiệu quả thẩm mỹ, chức năng sẽ không đạt và khuôn mặt người bệnh không được tự nhiên.

      Kỹ thuật ghép xương mác có cuống mạch giúp tái tạo lại đường viền khuôn mặt gần như bình thường. Xương mác sau khi ghép vào mô xương hàm còn lại sẽ tiếp tục được nuôi sống, cho phép thực hiện phục hình răng bên trên bằng cấy ghép implant, nhờ đó phục hồi chức năng ăn nhai cho bệnh nhân cũng như phục hồi được thẩm mỹ khuôn mặt một cách tối ưu. Việc lấy một đoạn xương mác từ chi dưới không ảnh hưởng đến chức năng của cơ thể. Kỹ thuật ghép xương mác tự thân đã được áp dụng thành công trên thế giới và tại Việt Nam.

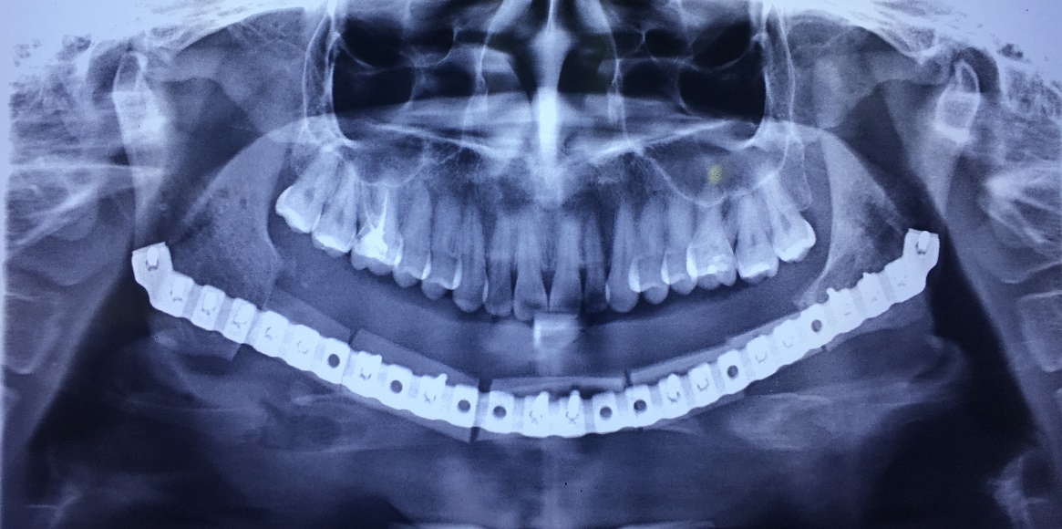
      Tại Bệnh viện Răng Hàm Mặt TP.HCM, chúng tôi đã thực hiện thành công ca lâm sàng trên một bệnh nhân nữ (38 tuổi). Chị đã trải qua vài lần phẫu thuật điều trị u men xương hàm dưới và sau cùng là cắt đoạn xương hàm dưới từ góc hàm phải sang trái. Để giúp bệnh nhân phục hồi chức năng ăn nhai cũng như thẩm mỹ khuôn mặt, chúng tôi đã tiến hành phẫu thuật ghép xương mác vi phẫu, cấy ghép implant và hoàn tất với phục hình toàn hàm trên 04 implant.

      X-Quang trước điều trị
      X-Quang sau cắt đoạn xương hàm dưới

      X-Quang sau ghép xương mác

      X-Quang sau cấy ghép răng (Implant)
      X-Quang sau đặt phục hình tái tạo
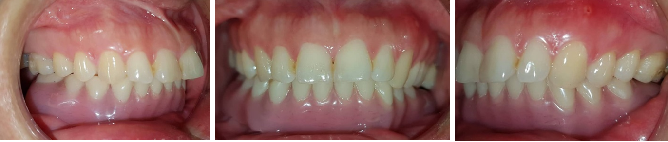
      Thử răng
      Phục hình sau cùng
      Sau điều trị

      Kết quả điều trị thành công là do sự phối hợp điều trị của nhiều khoa lâm sàng như: Khoa Phẫu thuật Hàm mặt, Khoa gây mê hồi sức , Khoa Cấy ghép răng (Implant), Khoa điều trị đặc biệt, . . . Việc mang lại cho chị được chức năng ăn nhai tốt và nụ cười thẩm mỹ là niềm hạnh phúc của tập thể bác sĩ Bệnh viện Răng Hàm Mặt TPHCM, theo đúng tiêu chí mà Ban Giám Đốc bệnh viện luôn nhắc nhở nhân viên của mình: “Nụ cười của bạn, trách nhiệm của chúng tôi”.

      ThS-BSCKII NGUYỄN ĐỨC MINH - Giám Đốc Bệnh Viện Răng Hàm Mặt TP.HCM

      Link bài gốcLấy link
      https://doisongphapluat.nguoiduatin.vn/dspl/phuc-hoi-tham-my-va-chuc-nang-cho-benh-nhan-bi-khuyet-hong-xuong-ham-duoi-a277962.html
      Zalo

      Cảm ơn bạn đã quan tâm đến nội dung trên.

      Hãy tặng sao để tiếp thêm động lực cho tác giả có những bài viết hay hơn nữa.

      Đã tặng:
      Tặng quà tác giả
      BÌNH LUẬN
      Bình luận sẽ được xét duyệt trước khi đăng. Xin vui lòng gõ tiếng Việt có dấu.
      Tin liên quan