(ĐSPL) – Sinh ra với một bên não khuyết và tưởng chừng không bao giờ có thể đi lại hay nói chuyện, cậu bé Jake Gladstone đã vượt qua tất cả và phát triển như một đứa trẻ bình thường.
Lúc Jake được 6 tháng tuổi, các bác sĩ đã thông báo với bố mẹ cậu bé rằng em có thể sẽ không bao giờ đi lại hay nói chuyện được do bị chết một bên não.
![]() |
| Dù bị khuyết một bên não, Jake vẫn có thể chơi đùa như những đứa trẻ bình thường khác. |
Tuy nhiên, trước sinh nhật một tuổi, Jake đã tự đứng lên và bắt đầu bò đi quanh nhà. Chỉ một năm sau đó, cậu bé này đã chập chững đi những bước đầu tiên và bi bô tập nói.
Mẹ của bé Jake - cô Sarah cho biết: “Thật không thể tin nổi. Khi chúng tôi nhìn phim chụp X-quang, gần như một nửa não bộ của Jake đã bị chết hoàn toàn. Tuy nhiên, giờ đây thằng bé vẫn tràn đầy năng lượng và chạy nhảy giống như những đứa trẻ cùng tuổi khác. Trái ngược với những dự đoán của bác sĩ, thằng bé vẫn có thể nói chuyện, đi lại và chạy nhảy. Jake là phép màu nhỏ bé của chúng tôi”.
Jake chào đời vào tháng 9/2011, nặng 3kg, tại bệnh viện phụ sản ở phía Đông Yorkshire (Anh). Khi được 1 tuần tuổi, cậu bé bắt đầu yếu đi và được đưa gấp tới bệnh viện. Tuy nhiên, các bác sĩ cho rằng bé trai này chỉ bị nhiễm một loại virus và cho bé về nhà chăm sóc.
Sáu tháng sau, cô Sarah phát hiện Jake không cử động được cánh tay phải. Bàn tay của bé lúc nào cũng nắm chặt lại. Cô nói rằng: “Thằng bé đã không bình thường kể từ lần đầu tiên trở lại bệnh viện lúc một tuần tuổi. Bé rất hay khóc và quấy vào những tháng sau đó. Sau đó, tôi nhận thấy cánh tay phải của bé không cử động được nên tôi đã đưa con tới gặp bác sĩ”.
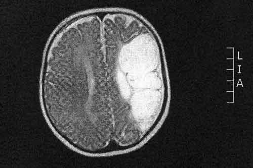
![]() |
| Phim chụp Xquang gần một nửa bộ não của Jake, phần màu trắng gần như bị khuyết trước khi sinh. |
Tại bệnh viên, các bác sĩ đã kiểm tra và thông báo rằng bé Jake đã bị u não khiến gần một nửa não bộ của em bị khuyết trước khi sinh ra.
Các bác sĩ tin rằng lúc Jake còn trong dạ con thì đã bị thiếu oxy cung cấp cho não. Khối u đã phát triển tại nơi não bị tổn thương.
![]() |
| “Phép màu” đã giúp cậu bé 4 tuổi này có thể giao tiếp và đi lại dù bị khuyết một bên não. |
Tuy nhiên, một phép màu nào đó đã giúp bé trai này có thể đi lại và nói chuyện bình thường.
Hiện, Jake vẫn được theo dõi về chứng động kinh của bé và cần sự giúp đỡ mặc quần áo và ăn uống.
Dù khả năng giao tiếp của Jake vẫn còn rất khó nhưng bố mẹ em hy vọng điều này sẽ dần được cải thiện.
Nguyễn Thị Ánh (Theo Mirror)
Xem thêm video "Đột nhập" ngôi nhà cổ tích được xây chỉ trong vòng 6 tuần:









