Một trường hợp hi hữu đã được phát hiện ở Bắc Ireland khi phát hiện bệnh nhân 84 tuổi, ở vị trí của thùy não phải lại hoàn toàn trống không, chỉ có túi khí.
Người đàn ông 84 tuổi này đã tới phòng cấp cứu với những than phiền khá phổ biến với một bệnh nhân ở độ tuổi “thất thập cổ lai hy”. Ông nói với bác sĩ rằng mình cảm thấy không ổn định trong vài tháng qua và thường xuyên khó chịu trong những tuần gần đây. Trong 3 ngày đầu tiên đến bệnh viện, tay trái và chân của ông đã suy yếu đáng kể.
Tuy nhiên, không có bệnh tật nào nghiêm trọng trong hồ sơ sức khỏe của người đàn ông. Ông không hút thuốc, rất ít khi uống rượu, xét nghiệm máu cũng không phát hiện thấy điều bất thường.
"Không có sự nhầm lẫn, suy nhược trên khuôn mặt hoặc rối loạn ngôn ngữ", các bác sĩ cho biết trong một bản tóm tắt bệnh tình của người đàn ông đăng trên tạp chí Medical BMJ Case Reports hôm 27/2. "Ông ấy hoàn toàn khỏe mạnh, có khả năng độc lập khi thực hiện các hoạt động thể chất trong cuộc sống hàng ngày. . . và sống cùng vợ với 2 con trai".
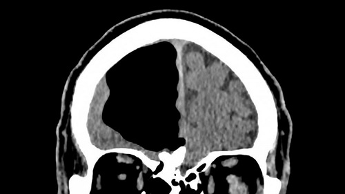
Bệnh nhân 84 tuổi có túi khí lớn ở não. Ảnh: SCMP |
Nói cách khác, các bác sĩ cho rằng không có lý do thực sự gây nên các triệu chứng của bệnh nhân. Chỉ sau khi chụp CT và quét MRI, đội ngũ y tế tại bệnh viện phát hiện sự thật kinh hoàng: Ở khu vực mà thùy não phải nên tồn tại thì bệnh nhân này lại chỉ có một không gian trống cực lớn.
Finlay Brown, một bác sĩ làm việc tại khoa cấp cứu thuộc Bệnh viện Causeway ở Coleraine, Bắc Ireland nhớ rằng đã xem xét rất kỹ hình chụp não bộ của bệnh nhân đặc biệt. "Chúng tôi rất bối rối bởi những gì đang thấy!", ông Brown nói.
Các bác sĩ sau đó đều tự hỏi liệu người đàn ông này có quên tiết lộ các cuộc giải phẫu não trước đây hay những dị tật bẩm sinh không nhưng ông ấy kiên quyết là không.
Theo thông tin được đăng trên BMJ Case Reports, túi khí trong não của bệnh nhân rộng khoảng 8,9cm. "Trong khi nghiên cứu để viết báo cáo về trường hợp này, tôi không thể tìm thấy nhiều trường hợp trong những tài liệu có tính chất tương tự", bác sĩ Brown nói.
Nguyên nhân của túi khí này là do khối u xương lành tính, đã hình thành trong xoang người và bị xói mòn qua đáy hộp sọ. Sự hình thành và vị trí của khối u cho phép tạo ra "hiệu ứng van một chiều", dần dần khiến không gian của khoang sọ trống rỗng.
"Khi bệnh nhân ngửi, hắt hơi hoặc ho, dường như có một lượng nhỏ không khí được tích tụ vào đầu", bác sĩ Brown chia sẻ.
Theo nghiên cứu của BMJ Case Reports, túi khí cũng được báo cáo là "nguyên nhân hiếm gặp" gây ra một cơn đột quỵ mà người đàn ông đã phải gánh chịu. Điều này dẫn tới tình trạng suy yếu của tay trái cùng các triệu chứng khác khiến bệnh nhân bắt buộc phải nhập viện. Các bác sĩ đã nghĩ đến phương án phẫu thuật, tuy nhiên, do bệnh nhân đã lớn tuổi nên phẫu thuật dự kiến sẽ tồn tại nhiều rủi ro, chủ yếu liên quan đến khả năng nhiễm trùng.
Cho đến nay, bệnh nhân 84 tuổi này có vẻ như vẫn khỏe mạnh. Ông sẽ đến bệnh viện sau 3 tháng nữa để kiểm tra lại.
PHƯƠNG PHƯƠNG(Theo SCMP)











