Tạp chí Tri Thức dẫn lời ThS.BS Nguyễn Sỹ Thấu, Khoa Hồi sức Truyền nhiễm, Viện Lâm sàng các bệnh Truyền nhiễm, Bệnh viện Trung ương Quân đội 108, cho biết vừa tiếp nhận một trường hợp nhiễm ấu trùng sán dây lợn hiếm gặp ở người phụ nữ 77 tuổi.
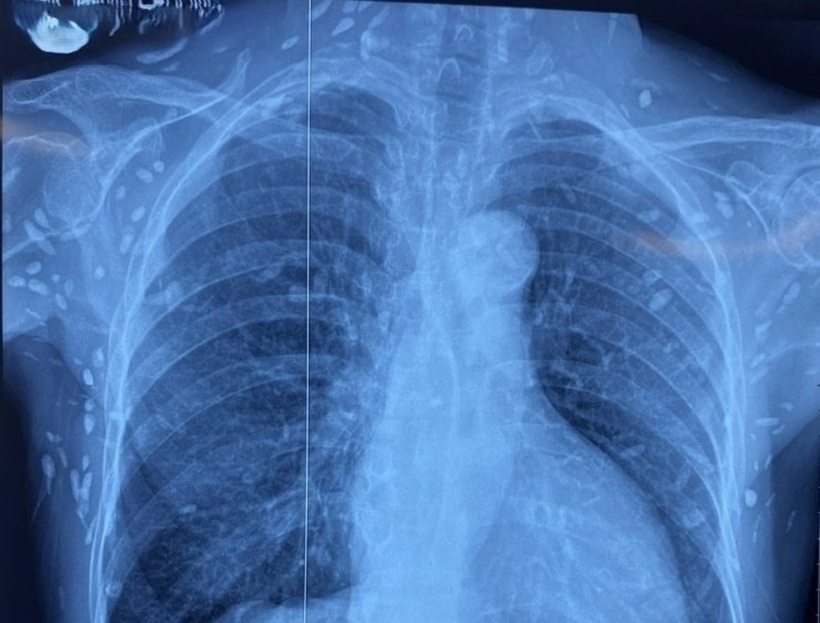
Bệnh nhân được chuyển lên từ tuyến trước trong tình trạng rối loạn ý thức, đe dọa suy hô hấp. Kết quả chụp CT sọ não và X-quang ngực cho thấy nhiều nốt cản quang trong nhu mô não và dưới da vùng ngực - bụng, gợi ý tổn thương do sán dây lợn.

Nhiều nốt cản quang dưới da thành ngực - bụng và chi trên của bệnh nhân. Ảnh: Tạp chí Tri Thức.
Theo ThS.BS Nguyễn Sỹ Thấu, khoa Hồi sức Truyền nhiễm, một số u cục nhỏ có thể sờ thấy dưới da vùng ngực và cánh tay của bệnh nhân. Dù xét nghiệm kháng thể IgM với sán dây lợn âm tính, hình ảnh X-quang cho thấy bệnh nhân đã từng nhiễm ấu trùng sán dây lợn, sau đó các nang sán thoái hóa, vôi hóa và tồn tại lâu dài trong mô.
Hiện bệnh nhân này được điều trị theo phác đồ bệnh chính, đáp ứng tốt và xuất viện, tiếp tục theo dõi điều trị tại tuyến dưới.

Nhiều nốt cản quang trong nhu mô não của người bệnh nghi sán dây lợn. Ảnh: Báo Lao Động
Theo Lao Động, sán dây lợn (Taenia solium) là ký sinh trùng nguy hiểm có thể sống nhiều năm trong ruột người. Sán trưởng thành dài từ 2-7 mét, gồm hàng nghìn đốt nối liền, đào thải trứng hoặc đốt sán qua phân. Khi trứng sán ra ngoài, chúng có thể tồn tại nhiều tháng trong môi trường. Nếu lợn ăn phải, ấu trùng sẽ phát triển thành các nang sán nhỏ trong cơ, hình thành những “hạt gạo” dễ thấy trong thịt lợn bị nhiễm.
Con người bị nhiễm bệnh khi ăn phải thịt lợn gạo chưa được nấu chín kỹ hoặc rau sống dính trứng sán. Ấu trùng sau khi xâm nhập cơ thể có thể di chuyển đến cơ, não hoặc mắt, gây ra các triệu chứng nghiêm trọng như co giật, rối loạn thần kinh, đau đầu, giảm thị lực... Trong nhiều trường hợp, nang sán có thể tự thoái hóa hoặc vôi hóa, để lại các nốt cản quang trên phim chụp như trường hợp của bệnh nhân nêu trên.
Để phòng ngừa bệnh sán dây lợn, người dân cần ăn chín, uống chín, rửa tay sạch trước khi ăn, đặc biệt khi chế biến thịt. Ấu trùng sán lợn sẽ bị tiêu diệt khi được đun sôi trong ít nhất 2 phút. Người có nguy cơ cao hoặc có biểu hiện nghi ngờ nên đến cơ sở y tế kiểm tra sớm. Ngoài ra, người nhiễm sán trưởng thành trong ruột cần được điều trị triệt để và quản lý chất thải đúng cách để tránh lây lan trong cộng đồng.










