Bị các triệu chứng như co giật chân tay và sùi bọt mép tái phát nhiều lần, người đàn ông đi khám và phát hiện điều kinh khủng trong não và cơ thể mình.
Bị 700 con sán bò khắp người chỉ vì ăn 1 bữa lẩu
Chỉ vì một lần liên hoan ăn lẩu mà người đàn ông họ Châu, 43 tuổi, sống tại Hàng Châu ở miền đông Trung Quốc, đã gặp phải tai họa suýt mất mạng.
Chỉ ăn một bữa lẩu mà ông Châu bị bệnh sán não. |
Theo lời ông Châu, một tháng trước, trong ngày được phát lương ông Chu đã ăn lẩu chua cay cùng thịt lợn, thịt cừu cùng các đồng nghiệp. Không ngờ một thời gian ngắn sau đó, ban ngày ông Chu thường cảm thấy chóng mặt, đau ở đỉnh đầu, và vào giữa đêm, có các triệu chứng như co giật chân tay và sùi bọt mép.
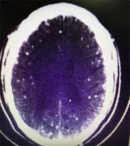
Các bác sĩ sau khi chụp CT não thấy “có nhiều vôi hóa nội sọ”, cộng hưởng từ đầu cho thấy nhiều tổn thương nội sọ. Bệnh viện địa phương đề nghị kiểm tra và xác nhận thêm. Tuy nhiên, do cảm thấy bản thân đã khỏe hơn và sợ tốn tiền nên ông Châu từ chối.
Không thể ngờ rằng, các triệu chứng như động kinh tái phát nhiều lần vào ban đêm buộc ông Chu phải đến Bệnh viện số 1 thuộc Đại học y khoa Chiết Giang kiểm tra kĩ lưỡng.
Biết ông Châu đã ăn lẩu thịt cừu thịt lợn trước đây không lâu, bác sĩ đã đề nghị chụp cộng hưởng từ não, kết quả cho thấy có nhiều tổn thương ở 2 bên bán cầu não, kết hợp kết quả kháng thể ấu trùng trong máu và não tủy dương tính, chẩn đoán là bệnh sán não.
Bác sĩ Vương Giang Vinh tại khoa Truyền nhiễm phát hiện thấy có hơn 700 con sán dây trên khắp cơ thể bệnh nhân. Đây chính là nguyên nhân khiến ông Chu xuất hiện các triệu chứng động kinh.
"Có nhiều sự tổn thương trong não của bệnh nhân. Sán dây cũng có ở trong phổi và lấp đầy các cơ bên trong khoang ngực của ông ấy và gây tổn hại đến các cơ quan" - bác sĩ Vương nói.
Ảnh chụp X quang phát hiện não của ông Chu có nhiều vôi hóa. |
Trường hợp ông Châu sở dĩ bị nhiễm sán dây là do đã ăn thịt bị bệnh mà chưa nấu chín. Bản thân ông cũng công nhận: "Trong khi ăn lẩu, nghĩ thịt nhúng tái sẽ ngọt hơn, hơn nữa nồi nước lẩu thường màu đỏ, nên khi thịt lấy ra từ nồi cũng không biết chín kỹ hay chưa, đây có lẽ là nguyên nhân khiến tôi bị nhiễm ký sinh trùng”.
Sau khi được điều trị bằng cách tẩy giun và giảm áp lực nội sọ, tình trạng sức khỏe của ông Chu đã được phục hồi.
Bệnh sán não và cách phòng tránh
Bệnh sán não gọi chính xác hơn là u não do ấu trùng sán dây. Nguyên nhân mắc bệnh là do ăn phải ấu trùng sán dây lợn hoặc bò (thường do ăn thịt lợn hoặc bò tái, nem chạo hoặc thịt nướng chưa chín kỹ). Khi vào cơ thể, ấu trùng chu du theo đường máu tới não, phổi, gan... và gây bệnh.
Ấu trùng sán theo máu đến các cơ, mắt hay não của người và sẽ hóa nang. Tùy thuộc vào vị trí ký sinh của nang sán mà có những biểu hiện khác nhau. Nếu nang sán nằm trong cơ sẽ thấy có những u nhỏ, chắc, kích thước khoảng 1 - 2 cm hoặc bằng hạt đỗ, hạt lạc, di động dễ, không ngứa, không đau, nằm ở vị trí cơ vân, không ở trên đường đi của hạch bạch huyết; nếu nang sán nằm trong não, người bệnh có thể bị động kinh, liệt tay, chân hay liệt nửa người, nói ngọng, rối loạn trí nhớ hoặc đau đầu dữ dội; nếu nang sán nằm trong mắt có thể gây tăng nhãn áp, giảm thị lực hoặc mù.
Sau khi vào cơ thể, sán dây sẽ lan tỏa đi nhiều bộ phận khác nhau. |
Người bệnh sẽ có biểu hiện, sốt cao, đau đầu, nôn do tăng áp lực nội sọ có thể dẫn đến co giật, thậm chí có trường hợp liệt mặt ngoại biên (liệt thần kinh VII, liệt nửa người...). Chẩn đoán dựa và tiền sử người bệnh có thói quen ăn thịt tái, thịt nướng chưa chín kỹ... Xét nghiệm miễn dịch huỳnh quang ký sinh trùng sán dây dương tính; chụp cắt lớp ở não thấy có khối u nhỏ. Khi đã phát hiện bệnh sán não thì người bệnh phải được điều trị tích cực bằng phác đồ theo chỉ định của bác sĩ (có thể phải điều trị nhiều đợt tùy thuộc vào tổn thương).
Để phòng bệnh sán dây, chuyên gia y tế khuyến cáo người dân không ăn thực phẩm sống hoặc chưa được nấu chín kĩ, rửa tay trước khi ăn, mua thịt có nguồn gốc rõ ràng...
Minh Khôi(T/h)












