Tri Thức Trực Tuyến đưa tin, khoa Phẫu thuật thần kinh cột sống, Bệnh viện Hữu nghị đa khoa (HNĐK) Nghệ An, tiếp nhận bệnh nhân S.V.T., 55 tuổi, trú tại Châu Lộc, Quỳ Hợp (Nghệ An), vào viện với tình trạng thất ngôn và không vận động được nửa người bên phải.
Theo người nhà bệnh nhân, ông T. có tiền sử động kinh cách đây 5 năm đang kiểm soát bằng thuốc (Depakin 500 mg x 2 viên/ngày), có thói quen ăn tiết canh lợn.
Trước khi vào viện 2 tháng, bệnh nhân thường nhức đầu nhẹ sau đó méo miệng về bên phải, tay và chân phải yếu dần, không cử động được, kèm theo các cơn động kinh xuất hiện dày hơn, không kiểm soát được bằng thuốc.
Bệnh nhân T. được đưa đến khám tại Bệnh Viện đa khoa Tây Bắc (Nghệ An) khám và triều trị nhưng bệnh ngày càng nặng. Bệnh nhân được chuyển Bệnh viện HNĐK Nghệ An cấp cứu, sau đó chuyển vào khoa Phẫu thuật thần kinh cột sống điều trị.

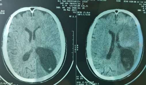
Tại đây bệnh nhân đã làm các xét nghiệm phân tìm ký sinh trùng (+), xét nghiệm Elisa chẩn đoán ấu trùng sán lợn Cysticercosis(+), chụp cắt lớp vi tính não cho thấy có nhiều ổ giảm tỷ trọng kèm phù não lớn vùng bán cầu trái.
Sau hội chẩn, các bác sĩ chẩn đoán bệnh nhân bị hội chứng tăng áp lực nội sọ do ấu trùng sán dây lợn trên hệ thần kinh, nguy cơ tử vong cao nếu không xử lý kịp thời.
Ê-kíp các y, bác sĩ đã nhanh chóng tiến hành phẫu thuật nội soi lấy bỏ nang sán để cứu sống bệnh nhân. Đồng thời bệnh nhân được điều trị nội khoa bằng thuốc diệt nang sán là Praziquantel kết hợp với thuốc solumedrol, thuốc chống động kinh và kháng sinh.

Sau phẫu thuật, sức khỏe bệnh nhân tiến triển tốt, tỉnh táo, nói được, tay chân bên phải hoạt động linh hoạt, đi lại bình thường, hết méo miệng, theo Vietnamnet.
Phòng ngừa bệnh sán dây lợn
Do sinh hoạt, tập quán, thói quen ăn uống chưa đảm bảo an toàn vệ sinh thực phẩm nên các bệnh về giun sán vẫn chiếm tỷ lệ tương đối cao tại Việt Nam.
Thông thường, trứng và ấu trùng sán sẽ chết khi ở trong nhiệt độ trên 75 độ C trong vòng 5 phút hoặc đun sôi liên tục với 100 độ C trong 2 phút. Để phòng bệnh, cần thực hiện các phương pháp:
Thực hiện đúng quy tắc “ăn chín, uống sôi”. Ăn các thực phẩm được nấu chín, không ăn các thức ăn sống từ lợn như nem chua sống, thịt lợn tái, tiết canh… Ngoài ra, ăn các loại rau sống không đảm bảo vệ sinh cũng có nguy cơ mắc bệnh sán dây lợn.
Sử dụng và quản lý hố xí hợp vệ sinh; đối tượng nghi nhiễm, có sán lợn trưởng thành trong ruột cần phải được điều trị, sinh hoạt hợp vệ sinh, không phóng uế bừa bãi, tránh lây lan ra cộng đồng.
Lợn cần được chăm thả đúng quy trình chăn nuôi và quản lý đúng cách, không thả rông. Quản lý các lò mổ lợn theo tiêu chuẩn an toàn thực phẩm.
Trứng và ấu trùng ký ký sinh trên heo có thể nhìn thấy bằng mắt thường. Người tiêu dùng cần cẩn thận trước khi chế biến thực phẩm, tránh mua thịt heo không có xuất xứ nguồn gốc để tránh nguy cơ nhiễm bệnh.
Thùy Dung (t/h)









