Dòng sự kiện
      +Aa-
      Zalo

      Ngạc nhiên hình ảnh bào thai của động vật qua ảnh chụp X-quang

      • DSPL

      (ĐS&PL) - (ĐSPL) – Bộ sưu tập những hình ảnh phim chụp bào thai của các loài vật sẽ khiến bạn cảm thấy ngạc nhiên.

      (ĐSPL) – Bộ sưu tập những hình ảnh phim chụp bào thai của các loài vật sẽ khiến bạn cảm thấy ngạc nhiên.

      Thật không có gì ngạc nhiên khi bạn muốn chia sẻ một bức ảnh bào thai em bé trong bụng bạn. Tuy nhiên, ngay cả khi bạn nghĩ điều đó bình thường, nhưng khi nhìn thấy những hình ảnh bào thai động vật này, bạn sẽ không khỏi ngạc nhiên mà thốt lên rằng “Trời ơi!”.

      Bào thai rùa.

      Bào thai khỉ.

      Tuy nhiên, tự nhiên còn nhiều điều hấp dẫn hơn. Bởi thời gian thai kỳ của chúng không giống với người bình thường, ví dụ như thai kỳ của voi phải lên đến 23 tháng. Nhưng với những chú cún thì chỉ khoảng 58 - 68 ngày (trung bình là 9 tuần)…

      Bào thai chó.

      Bào thai rắn.

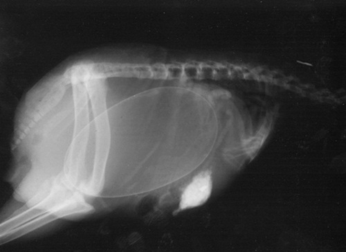
      Bào thai mèo.

      Bào thai chim Kiwi.

      Bào thai hươu cao cổ.

      Bào thai chuột Chinchilla.

      HOÀNG HÀ (Theo Bordpanda)

      Xem thêm video:

       [mecloud]kVNnVe7aIw[/mecloud]

      Link bài gốcLấy link
      https://doisongphapluat.nguoiduatin.vn/dspl/ngac-nhien-hinh-anh-bao-thai-cua-dong-vat-qua-anh-chup-x-quang-a169864.html
      Zalo

      Cảm ơn bạn đã quan tâm đến nội dung trên.

      Hãy tặng sao để tiếp thêm động lực cho tác giả có những bài viết hay hơn nữa.

      Đã tặng:
      Tặng quà tác giả
      BÌNH LUẬN
      Bình luận sẽ được xét duyệt trước khi đăng. Xin vui lòng gõ tiếng Việt có dấu.