(ĐSPL) - Ông bà ta thường nói : “Cái răng cái tóc là vóc con người”, câu nói đó quả không sai, từ xưa đến nay hàm răng đặc biệt quan trọng với mỗi con người chúng ta về cả hai mặt sức khỏe và thẩm mĩ. Chính vì vậy việc làm thế nào để có một hàm răng chắc khỏe luôn là một câu hỏi được rất nhiều người quan tâm, cụ thể là các vấn đền liên quan đến việc loại bỏ cao răng. Thấu hiểu được tâm lí đó, hôm nay chúng tôi sẽ hướng dẫn cách lấy cao răng bằng đường nâu rất hiệu quả, các bạn hoàn toàn có thể áp dụng ngay tại nhà của mình.
Có nhiều nguyên nhân dẫn đến việc hình thành cao răng nhưng về tổng quan thì do hằng ngày chúng ta sử dụng nhiều loại thức ăn khác nhau, do đó việc các loại đồ ăn thức uống còn thừa và sót lại ở răng, đến cuối ngày thì răng cần có nhu cầu được làm sạch để loại bỏ các chất thừa đó nhưng vì một lí do khách quan nào đó mà chúng ta không chú trọng đến công tác này. Lâu ngày, các thức ăn thừa này bám dính hình thành nên một lớp cao răng cứng cáp, bám chặt vào răng gây nên một số bệnh về răng miệng khá nguy hiểm, ảnh hưởng đến chất lượng cuộc sống và sức khỏe của người bệnh.
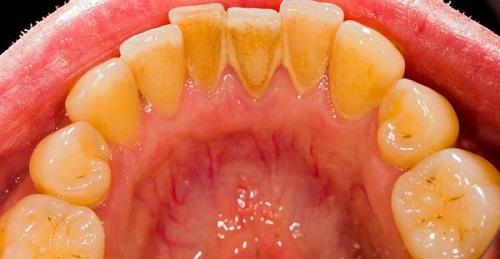
Lấy cao răng với đường nâu |
Với cách làm sạch răng rất hiệu quả sau đây các bạn sẽ không còn lo lắng nữa, chỉ trong một thời gian ngắn, cao răng sẽ được đánh bay khỏi hàm răng của bạn , trả lại sự trắng trong như vốn dĩ nó đã từng.
Những nguyên liệu mà các bạn cần chuẩn bị gồm có: Đường nâu, muối iot và nước lọc.
Cách lấy cao răng bằng đường nâu có các bước thực hiện cực kì đơn giản như sau:
Cách lấy cao răng bằng đường nâu cực hiệu quả |
Đầu tiên, cho một ít muối iot vào cốc nước lọc sao cho vừa đủ, dùng đũa khuấy đều cho muối tan hết, dùng dung dịch nước muối này để ngậm trong khoảng 30 giây sao đó nhổ ra, mục đích là để khử trùng khoang miệng, đẩy hết các vi trùng ra ngoài.
Tiếp theo là lúc chúng ta cần sử dụng đến đường nâu, dùng khoảng hơn một thìa đường nâu cho vào miệng, ngậm nó trong thời gian khoảng từ 10 – 15 phút cho đến khi nào đường bị hòa tan hoàn toàn bởi nước bọt tiết ra. Bước này rất quan trọng nên khi thực hiện cần chú ý, trong khoảng thời gian ngậm đường nâu cần liên tục dùng lưỡi khuấy động để đưa đường tiếp xúc đều hết với cả hàm răng, tăng lực ma sát giữa đường và răng.
Sau khi đường tan hết, các bạn nhổ bỏ dung dịch này ra và tiến hành đánh răng bằng nước sạch như hằng ngày.
Cuối cùng, các bạn nên dùng lại dung dịch nước muối để súc miệng lại một lần nữa để đảm bảo rằng khoang miệng thật sạch và không còn vi khuẩn.
Đối với các bạn bị nhiều cao răng bám vào thì có thể thực hiện cách lấy cao răng bằng đường nâu 2 lần một ngày, cụ thể là vào sáng sớm và tối trước khi đi ngủ để có thể nhanh chóng loại bỏ cao răng.
Lấy lại hàm răng trắng đẹp với đường nâu ngay thôi! |
Hi vọng với cách xử lí cao răng bằng đường nâu trên đây, cùng với típ về các bài thuốc chữa chảy máu chân răng cho những bạn có vấn đề về nướu có thể giúp bạn tự tin hơn với nụ cười của mình mà không còn lo ngại về những chiếc răng ố vàng nữa.
Huỳnh Kiên (tổng hợp)












