Thai nhi 23 tuần tuổi đã được đưa ra khỏi tử cung mẹ để phẫu thuật khối u và sau đó lại được đưa vào trong tử cung một cách nhanh chóng. Hẳn là phép màu!
Khi lớn lên cô bé Lynlee Boemer có lẽ phải tổ chức đến 2 lần sinh nhật trong một năm bởi em đã được sinh ra đến hai lần một cách đầy màu nhiệm. 12 tuần sau khi được đưa ra khỏi bụng mẹ cho một cuộc phẫu thuật quan trọng để giữ mạng sống và được đưa vào bụng mẹ lại, em chính thức ra đời. Nói về cuộc phẫu thuật, các bác sĩ phát hiện ra một khối u ở xương cụt của cô bé khi mẹ em - chị Margaret Boemer - đang mang thai ở tuần thai thứ 16.
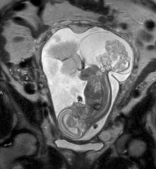
Hình ảnh siêu âm của bé Lynlee (Ảnh: dailymail). |
Niềm hy vọng sống sót duy nhất của em khi đó là một cuộc phẫu thuật kéo dài 20 phút vào tuần thai thứ 23 để mở tử cung người mẹ. Thời điểm đó, em chỉ mới nặng gần 540gr, các bác sĩ đã tiến hành mổ cắt bỏ khối u rồi đưa em lại vào trong tử cung của mẹ. Khối u được đo có kích thước bằng với thai nhi. Chị Margaret sau đó đã được yêu cầu nằm yên trên giường suốt cho đến gần tuần thai 36. Và rồi bé gái Lynlee Boemer đã chính thức chào thế giới bằng phương pháp sinh mổ với cân nặng hơn 2,4kg. Sau đó em đã được đưa đi kiểm tra sức khỏe và đưa vào phòng dưỡng nhi.
Chị Margaret (Texas, Mỹ) nhớ lại cảm giác khi các bác sĩ công bố kết quả siêu âm và chia sẻ với CNN: "Các bác sĩ đã thấy cái gì đó trên màn hình và họ bảo với tôi rằng có chuyện nghiêm trọng đã xảy ra với con gái tôi. Con bé bị khối u tên sacrococcygeal teratoma rất hiếm gặp. Tôi cực kì sốc và sợ hãi".
Theo Tiến sĩ Darrell Cass - Giám đốc Trung tâm Thai nhi Texas, đồng thời là Phó giáo sư Nhi khoa, sản khoa, phụ khoa ở Đại học Y Baylor: "Dù đây là khối u sẽ thường gặp ở trẻ sơ sinh nhưng nó cũng rất hiếm, trong 35.000 - 40.000 ca sinh mới có một". Nguyên nhân đến nay vẫn chưa được xác định và tỉ lệ bé gái mắc phải cao hơn 4 lần so với bé trai. Đôi khi các bác sĩ sẽ trì hoãn phẫu thuật cho đến khi người mẹ sinh em bé nhưng trường hợp khối u đã cạnh tranh với thai nhi, hút chất dinh dưỡng và máu của thai nhi, khi khối u phát triển lớn hơn, sức khỏe của thai nhi xấu đi, các bác sĩ buộc phải hành động, phẫu thuật ngay khi em còn là bào thai. Lynlee là một trường hợp như thế. "Trong một số trường hợp, khối u chiến thắng và tim thai không thể giữ được, dẫn đến thai nhi sẽ qua đời", Darrell nói thêm.
Cô bé chính thức chào thế giới ở tuần thai thứ 36 với cân nặng hơn 2,4kg (Ảnh: dailymail). |
Niềm hạnh phúc vô bờ của vợ chồng Margaret (Ảnh: dailymail). |
Cô bé Lynlee xinh xắn (Ảnh: dailymail). |
Trước Lynlee, chị Margaret đã từng mang thai một cặp song sinh nhưng một trong hai bé không thể sống được đến ngày chào đời và mất trước tam cá nguyệt thứ hai của thai kì. Chính vì thế, chấm dứt thai kì khi mang thai bé Lynlee là một quyết định khó khăn của chị Margaret nên chị quyết định tiến hành phẫu thuật với hy vọng giữ mạng sống của con. Chị cho biết:"Lynlee không có nhiều cơ hội. Ở tuần thứ 23, khối u khiến tim con yếu dần, sẽ làm con bị suy tim. Vì thế, chúng tôi phải chọn phẫu thuật khối u để cho con cơ hội sống sót. Quyết định phẫu thuật là một điều khá dễ dàng bởi chúng tôi muốn con sống trên đời này".
Toàn bộ cuộc phẫu thuật kéo dài 5 giờ nhưng em chỉ được đưa ra khỏi tử cung mẹ khoảng 20 phút mà thôi. Tiến sĩ Darrell cho biết: "Chúng tôi phải thực hiện nhanh, cực kì nhanh, chỉ khoảng 20 phút mà thôi. Phẫu thuật mở ổ bụng nhanh nhưng khó khăn nhất là mở tử cung mà vẫn phải giữ lượng nước ối trong tử cung, đưa em bé ra ngoài phẫu thuật, chú ý sức khỏe người mẹ". Sau khi phẫu thuật khối u của Lynlee, các bác sĩ lại đặt em vào tử cung của mẹ, rồi đóng tử cung, ổ bụng. Cuộc phẫu thuật thành công đối với gia đình Margaret và các bác sĩ được ví như phép màu.
| Cả gia đình Lynlee giờ đây đã có thể nhẹ nhõm sau những tháng ngày trong tình huống "ngàn cân treo sợi tóc" với tình trạng bệnh nguy hiểm của em. (Ảnh: dailymail). |
| Lynlee ngoan ngoãn trong vòng tay ấm của mẹ (Ảnh: dailymail). |
Sau khi chào đời khỏe mạnh, cô bé Lynlee phải trải qua một ca phẫu thuật nữa vào lúc 8 ngày tuổi để cắt bỏ phần còn lại của khối u. Giờ đây, Lynlee đã phát triển rất khỏe mạnh, đủ những cột mốc quan trọng. Đó có lẽ là niềm hạnh phúc vô bờ của gia đình em sau những tháng ngày căng thẳng với tình huống "ngàn cân treo sợi tóc".
Xem thêm video:
[mecloud]iIMZxkPNkm[/mecloud]














