(ĐSPL) – Một người đàn ông Trung Quốc đã bị sán dây làm “tổ” khắp người sau khi ăn quá nhiều món sushi.
Tin tức trên Daily Mail cho biết, một người đàn ông Trung Quốc đã đến gặp bác sĩ sau khi xuất hiện các triệu chứng đau bụng và ngứa da. Sau khi kiểm tra và chụp cắt lớp, các bác sĩ phát hiện sán dây đã ký sinh trên khắp cơ thể bệnh nhân này.
![]() |
Tình yêu sushi suýt chút nữa đã khiến người đàn ông Trung Quốc mất mạng do sán ký sinh khắp cơ thể. |
Nguyên nhân được cho là do ông này ăn quá nhiều món sushi và sashimi (gỏi cá). Các bác sĩ tin rằng, món ăn làm từ cá và thịt chưa nấu chín kiểu Nhật mà bệnh nhân ăn đã bị nhiễm sán.
Hiện tại, "tín đồ" sushi này đang được điều trị tại bệnh viện Nhân dân số 8 ở Quảng Châu, tỉnh Quảng Đông, miền Đông Trung Quốc.
![]() |
Nghiên cứu đã chỉ ra rằng, việc ăn những loại cá sống hoặc chưa qua chế biến có thể khiến cơ thể bị nhiễm ký sinh trùng.
Người bệnh nhiễm sán dây sau khi ăn phải diphyllobothrium, loại ấu trùng được tìm thấy trong các loại cá nước ngọt như cá hồi sống, các loại cá tẩm gia vị hay cá hun khói...
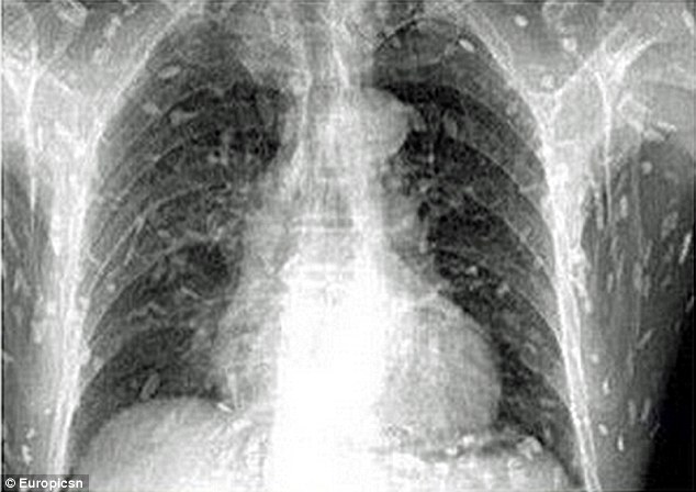
![]() |
Sán làm "tổ" khắp người bệnh nhân. |
Tiến sĩ Yin đến từ bệnh viện Nhân dân số 8 cho biết trên trang web mags.com rằng, nếu ăn những thực phẩm chưa được nấu chín bị nhiễm trứng sán dây, con người có thể mắc bệnh nang sán khi sán dây xâm nhập vào mạch máu, thậm chí có thể đe dọa tính mạng khi sán nhiễm lên não bộ.













