Mỗi khi cảm thấy "đen" nhiều người vẫn hay "giải" bằng cách ăn bát tiết canh cho "đỏ", cho may mắn mà không biết mình đang mạo hiểm vô cùng...
Cứ vào thời điểm cuối năm lại xuất hiện những ca bệnh liên cầu khuẩn nguy kịch, thậm chí là tử vong do ăn tiết canh giải đen cuối năm. Người Việt tin rằng ăn tiết canh bổ, mát và mang lại may mắn nhất là trong những dịp đầu tháng, đầu năm, cuối năm.
Mất mạng vì ăn tiết canh
Đầu năm 2019, ông Mai Văn Minh, 61 tuổi, ở TP. Hạ Long bị biến chứng hết sức nặng nề do nhiễm liên cầu lợn từ bát tiết canh. Được biết, trước khi nhập viện , ông Minh giết mổ lợn nhà để mời mọi người liên hoa cuối năm, trong đó có món tiết canh. 2 ngày sau bữa tiệc, ông Minh xuất hiện mệt mỏi, sốt, đau bụng và đi ngoài phân lỏng.
Ông Minh nhập viện khi trên người đã xuất hiện nhiều vết ban hoại tử. |
Nhập viện và bị chẩn đoán nhiễm khuẩn liên cầu lợn, ông Minh đã được các bác sĩ nhiệt tình chữa trị. Tuy nhiên, do tình trạng quá nặng, căn bệnh của ông không tiến triển mà rơi vào tình trạng sốc, suy đa tạng không hồi phục và tử vong sau đó.
Cách đây 4 năm, anh Nguyễn Hữu Vinh – 34 tuổi, Hà Nội, về quê liên hoan đám cưới đứa em trai. Sau liên hoan mổ lợn mọi người chia nhau bát tiết canh vì nghĩ tiết canh của lợn nhà nuôi sẽ an toàn.
Kết quả, sau tiệc cưới một người đi viện cấp cứu vì nhiễm liên cầu lợn và tử vong sau bữa tiệc lòng lợn, tiết canh. Sau trường hợp này, anh Vinh và đại gia đình đều sợ tiết canh và từ đó họ không còn ăn tiết canh nữa.
Có người chuyển qua ăn tiết canh dê cho an toàn nhưng vì lợi nhuận, người bán đã trộn thêm tiết canh lợn do vậy vẫn bị nhiễm khuẩn phải đi cấp cứu. Trường hợp anh Hồng ở Thanh Hóa là một ví dụ.
Chỉ đến khi nhập viện cấp cứu, tốn cả tỷ đồng điều trị mà vẫn bị điếc do biến chứng từ liên cầu lợn, anh Hồng mới vỡ lẽ "uẩn khúc" sau bát tiết canh dê anh đã ăn cùng bạn bè ở Ninh Bình.
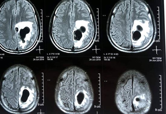
Không nhiễm khuẩn liên cầu lợn đến nỗi mất mạng, nhưng anh Lô Văn S. (38 tuổi, ngụ tại Qùy Hợp) lại bị đau đầu triền miên, liệt nửa người, khi nhập viện đã được bác sĩ bệnh viện Hữu nghị Đa khoa Nghệ An phát hiện có sán lợn trong não. Theo người nhà cho biết, anh S. có thói quen thích ăn tiết canh lợn. Trước đó 1 tuần, bệnh nhân đau đầu nhiều, buồn nôn, sốt, tê yếu nửa người, tri giác chậm, nên được người nhà đưa vào viện cấp cứu.
Ổ sán trong não bệnh nhân. |
Kết quả chụp CT não cho thấy có 5 ổ sán nằm rải rác trong não, trong đó có một ổ sán lớn trên đỉnh của bệnh nhân gây phù não. Bệnh nhân sau đó đã được phẫu thuật để lấy được trọn vẹn ổ nang sán khỏi não.
"Giải" may cuối năm vì tiết canh
Tại Bệnh viện Bệnh nhiệt đới trung ương, các bác sĩ cho biết hầu như năm nào cũng rải rác các ca mắc bệnh liên cầu lợn. Bệnh nhân chủ yếu là do ăn tiết canh lợn. Bệnh thường mắc nhiều hơn vào dịp cuối năm do thói quen của người dân là mổ lợn ăn liên hoan, ăn Tết. Hơn nữa, thói quen nghĩ rằng lợn nuôi an toàn càng khiến người dân thích ăn tiết canh hơn.
Nhiều người cho rằng ăn tiết canh lợn nhà nuôi là an toàn. |
Thạc sĩ, Bác sĩ Nguyễn Trung Cấp – Trưởng khoa Cấp cứu, Bệnh viện Bệnh nhiệt đới Trung ương cho biết liên khuẩn cầu lợn là bệnh lây truyền từ động vật sang người nguy hiểm gây ra bởi liên cầu khuẩn Streptococcus suis (S. suis). Bệnh có diễn biến nhanh và nặng, thời gian điều trị kéo dài và chi phí điều trị tốn hàng trăm triệu đồng mỗi ca nhưng nhiều trường hợp vẫn không thể qua khỏi hoặc có qua khỏi cũng để lại những biến chứng nặng nề.
Ở nhiệt độ 25oC, liên cầu khuẩn lợn sẽ sống được 24h trong bụi và 8 ngày trong phân động vật.
Điều tra các ca bệnh nhiễm liên cầu lợn trên người cho thấy khoảng 70% bệnh nhân mắc liên cầu lợn có ăn tiết canh lợn. Các ca mắc còn lại do ăn nem chạo sống, do tiếp xúc, giết mổ lợn bệnh. Một điều tra dịch tễ học của Viện Vệ sinh dịch tễ Trung ương trước đó cũng cho thấy, gần 70% bệnh nhân liên cầu lợn có giết mổ, ăn thịt lợn tái, tiết canh.
Người dân thường có quan điểm cho rằng lợn do gia đình nuôi, lợn chăn nuôi dân dã, thả rông là lợn sạch và có thể ăn tiết canh. Tuy nhiên, các chuyên gia ngành thú y cho biết bất kể giống lợn nào, được chăn nuôi trong điều kiện nào thì vẫn có nguy cơ nhiễm liên cầu lợn.
Ngoài khuẩn liên cầu, tiết canh lợn còn có thể nhiễm nhiều bệnh như sán, virus lợn gạo... |
Không chỉ nguy cơ mang khuẩn gây ra bệnh liên cầu khuẩn, theo bác sĩ Cấp, bản chất của món tiết canh vẫn là ăn sống nên có thể nhiễn sán nếu con lợn bị bệnh gạo, nhiễm sán dây... Có người đã bị sán dây bò lên não làm tổ, kí sinh trong mắt, nội tạng.
Vì lý do này mà nhiều người vốn đang yên lành cả năm, cuối năm ăn bát tiết canh, "đen" chưa thấy giải, may mắn đã mất tăm, hao tài tốn của, có khi còn mất mạng.
Minh Khôi(T/h)













