Sau 1,5 giờ tiến hành phẫu thuật, các bác sĩ tại Bệnh viện Hữu nghị đa khoa Nghệ An đã thành công cứu sống bệnh nhân bị thủng tim do đạn nổ.
Được biết, anh Nguyễn Thái T (26 tuổi) trú xã Diễn Tân, huyện Diễn Châu, Nghệ An được đưa đến Bệnh viện hữu nghị đa khoa Nghệ An vào 15h21 chiều ngày 19/8. Lúc này, anh T. đang ở trong tình trạng khó thở, mất máu mức độ nhẹ, da xanh, huyết áp thấp, có một lỗ thủng ở dưới núm vú trái 1cm.
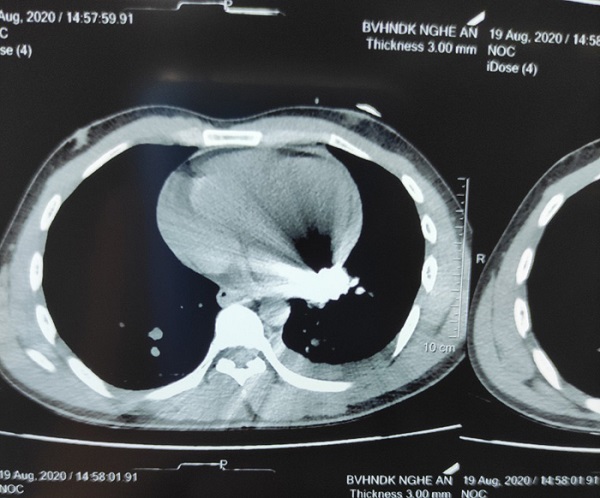
Phim cắt lớp vi tính cho thấy dị vật kim khí nằm trong tim bệnh nhân. Ảnh: suckhoedoisong.vn |
Người nhà anh T. cho hay, anh T. đang đốt rác thì bất ngờ có tiếng nổ lớn. Người nhà và hàng xóm chạy ra thấy anh T. đã nằm gục trên nền đất nên vội vàng đưa anh đi cấp cứu.
Sau khi tiếp nhận bệnh nhân, các bác sĩ tại Bệnh viện hữu nghị đa khoa Nghệ An đã tiến hành lấy máu xét nghiệm, thực hiện siêu âm phát hiện tràn dịch màng tim, dịch màng phổi trái; thực hiện chụp cắt lớp vi tính phát hiện thêm dị vật kim khí nằm trong màng ngoài tim ở thành sau tâm thất trái.
Đầu đạn có chiều dài 3cm, đường kính gần 1cm găm vào tim của bệnh nhân. Ảnh: suckhoedoisong.vn |
Anh T. sau đó được chỉ định phẫu thuật cấp cứu, xử lý thương tổn và lấy dị vật ra khỏi tim. Khi mổ ngực người đàn ông này, các bác sĩ phát hiện mặt trước màng ngoài tim của anh có vế thủng khoảng 1cm, thành trước tâm thất phải có một vết thủng 1 cm đang chảy máu rỉ rả, thành sau thất trái có 1 vết thương tương tự, màng ngoài tim ở phía sau thất trái có 1 vết thủng và 1 đầu đạn đồng đang cài ở vị trí này.
Sau khi tiến hành khâu các vết thương tim và lấy đầu đạn ra, các bác sĩ tiếp tục mở màng ngoài tim, rửa sạch khoang màng tim và khoang màng phổi trái, đặt dẫn lưu màng phổi trái. Sau gần 2 tiếng nỗ lực hết sức, đội ngũ các bác sĩ trong ca phẫu thuật đã cứu sống anh T. trong gang tấc.
Anh T. hiện đã tỉnh táo và dự kiến sẽ được xuất viện vào tuần tới. Ảnh: suckhoedoisong.vn |
Hiện tại, bệnh nhân này đã được chuyển sang khoa hồi sức ngoại, đã tỉnh táo, tự thở và nói chuyện được. Theo dự kiến, bệnh nhân sẽ được xuất viện trong tuần tới.
Đinh Kim (T/h)













