Một thiếu niên bị nhức đầu kinh niên và đi khám, thì thật kinh ngạc khi phát hiện ra có một con sâu dài 11 cm đang sống kí sinh trong não của mình.
Ký sinh trùng dài gần 11cm đã xâm nhập vào cơ thể của Wen Xiaoli như một ấu trùng khi anh vô tình cắt phải tay mình, và đi khắp cơ thể rồi sống kí sinh trong não, nó lớn lên theo sự trưởng thành của con người.
Các bác sĩ đang phẫu thuật để lấy con sâu dài 11cm ra ngoài. |
Nó đã sống trong đó hai năm, trước khi các bác sĩ phát hiện và phẫu thuật, các bác sĩ đã phẫu thuật hộp sọ và họ có thể lấy ra một con giun vẫn còn co rúm.
"Nó vẫn còn sống. Nó vẫn di chuyển trong não", Bác sĩ giải phẫu thần kinh Yang Zhiquan cho biết.
Chúng tôi đã phải gỡ bỏ nó ra ngoài khi đang còn nguyên vẹn và không thể để cho nó có nguy cơ sinh sản thêm nữa nếu một phần nào đó bị đứt ở lại.
Kí sinh trùng dài 11cm sống trong não của nam thanh niên. |
Họ phải làm việc cẩn thận để kéo con sâu ra trong một lần, và mất khoảng hai phút để có thể rút nó ra ngoài.
Wen, 19 tuổi, đã bị chứng đau nửa đầu nặng, trước khi tìm lời khuyên từ các bác sĩ.
Anh được cho là đã bị nhiễm ấu trùng spirometra erinaceieuropaei khi anh vô tình cắt phải tay trong khi lột da một con ếch để làm thức ăn.
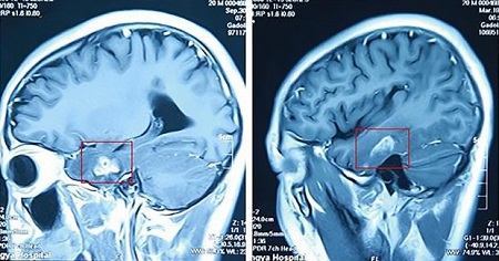
Các bác sĩ đã phát hiện có ấu trùng sinh sống trong não khi siêu âm. |
Các vết cắt chi tiết trên đầu của anh cho thấy anh đã bị nhiễm trùng sán dây.
Không chỉ là ký sinh trùng được hình thành hoàn toàn, nó còn sống và dường như sống thoải mái trong tế bào não
Cuộc phẫu thuật không hề dễ dàng mà còn có nhiều rủi ro cao, Tiến sĩ Yang nói: "Đó là lý do tại sao chúng tôi phải rút nó ra từ từ và cẩn thận."
Con sâu này dài 11 cm (4,33 inch).
Tiến sĩ Yang nói: "Nhiễm trùng ký sinh trùng là rất hiếm, nhưng ấu trùng có thể di chuyển khắp cơ thể và một khi trong não, nó sẽ nuôi sống tế bào não để tồn tại.
Đồng thời, những ký sinh trùng này thải ra chất thải độc có hại cho não - làm cho nó có thể gây tổn thương thần kinh và mất tế bào não. "
Nam thanh niên dần hồi phục sau khi phẫu thuật xong. |
"Bác sĩ nói thêm rằng các triệu chứng nghiêm trọng của chứng sparganosis bao gồm chứng động kinh, tê liệt, mất trí nhớ và thậm chí mất khả năng nói.
Chàng thanh niên sau khi phẫu thuật xong đang dần được hồi phục.
Nguyên Anh
Theo Metro

.jpg)












