(ĐSPL) - Hay hút thuốc lá sẽ khiến men răng bị ố vàng. Vậy có những cách làm trắng răng cho người hút thuốc lá nào, hãy tham khảo bài viết sau.
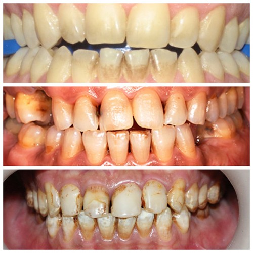
Hút thuốc lá không không chỉ có hại cho sức khỏe mà còn gây ra các bệnh về răng miệng, men răng ố vàng, dính nhiều mảng đen gây mất thẩm mỹ. Hơn thế, người hút thuốc thường bị hôi miệng, mùi khó chịu và chính là “tội phạm” làm tán phá men răng mà bạn không hay biết.
Ngoài việc đến phòng nha sĩ để được các bác sĩ tư vấn và điều trị các bệnh về hôi miệng, hỏng men răng, viêm nướu thì bạn có thể xử lý ngay tại nhà với những cách làm trắng răng cho người hút thuốc lá dưới đây.
Chải răng đúng cách
Không chỉ với người hút thuốc lá mà hầu hết chúng ta đều chưa chải răng đúng cách. Vì thế, các mảng bám vẫn còn ở chân răng và có nguy cơ gây ra các bệnh về răng miệng.
Làm trắng răng cho người hút thuốc lá đầu tiên cần phải chải răng đúng cách. Mỗi ngày nên đánh răng 3 lần sau các bữa ăn cũng như trước khi đi ngủ. Thời gian ít nhất là 3 phút.
Chảy răng đúng cách là một trong những cách làm trắng răng cho người hút thuốc lá |
Đặc biệt, khi đánh cần phải chải kỹ 3 mặt: mặt trước, mặt sau và mặt trên rằng. Đánh chậm, nhẹ nhàng, cẩn thận từ trên xuống, từ trong ra ngoài.
Lưu ý, nên đánh kỹ cả hàm trên vì khói thuốc dễ bám ở hàm trên nhất. Nhiều người chỉ chú ý đánh hàm dưới mà quên đi việc đánh hàm trên, nhất là bên trong. Tuy nhiên, muốn làm trắng răng cho người hút thuốc lá bạn nên dùng bàn chải mềm, nhiều chức năng để làm sạch cả trong và ngoài để làm sạch các vết ố vàng trên răng.
Súc miệng bằng nước muối đều đặn các bạn nhé |
Ngoài ra, hàng ngày bạn nên súc miệng bằng nước muối 2 ngày mỗi lần để tránh hôi miệng, hạn chế các mảng bám trên răng nhé.
Khám răng định kỳ
Muốn làm trắng răng cho người hút thuốc lá bên cạnh những lưu ý trên bạn nên đi khám răng định kỳ 6 tháng 1 lần để được các nha sĩ tư vấn và có những giải pháp kịp thời giúp bạn sớm có hàm răng trắng sáng, hết ố vàng nhé. Ngoài ra, các bạn có thể tham khảo thêm cách làm trắng răng ố vàng mà doisongphapluat.com đã tổng hợp trước đó nhé.
Hồng Ngọc(tổng hợp)












