Làm đẹp "chớp nhoáng" cô gái nhận cái kết đau đớn
Theo VietNamNet, do không tự tin vì răng cửa hơi hô, Minh Ngọc (Tuyên Quang) quyết định bọc sứ 4 chiếc răng cửa hàm trên tại một phòng khám nha khoa địa phương để cải thiện.
Cô được nhân viên phòng khám lấy tủy, mài nhỏ răng, làm bắc cầu chụp sứ cùng lúc 4 răng.

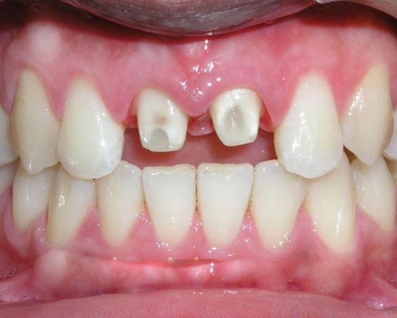
Răng cửa của cô gái trẻ bị mủn, có mùi. Ảnh: VietNamNet.
Đẹp chưa được bao lâu, Minh Ngọc thường xuyên thấy răng cửa ê buốt, viêm lợi tái phát nhiều lần. Khi thắc mắc với phòng khám, cô được hướng dẫn thay kem đánh răng, uống thuốc kháng sinh song tình trạng chỉ cải thiện được vài ngày.
Ngọc sau đó thấy lợi tụt sâu, đau đớn, miệng có mùi hôi rất nặng nên đến Bệnh viện Đa khoa Hùng Vương, Phú Thọ để kiểm tra.
BS Lê Minh Đức, Khoa Liên chuyên khoa, Bệnh viện Đa khoa Hùng Vương cho biết, bệnh nhân Ngọc bị biến chứng rất nghiêm trọng sau bọc răng sứ, hình thành nang xương hàm khá lớn do cầu răng sứ bị viêm nhiễm lâu ngày.
Khi bác sĩ lay nhẹ cầu răng sứ, toàn bộ 4 răng cửa rơi ra, bên trong mủn toàn bộ. Bệnh nhân được chỉ định phẫu thuật loại bỏ cầu răng sứ, lấy nang xương hàm, điều trị viêm lợi. BS Nguyễn Trạch Dân, Phó giám đốc bệnh viện trực tiếp phẫu thuật cho bệnh nhân.
Theo BS Đức, trường hợp trên nếu để nang xương hàm lớn hơn sẽ chạm vào dây thần kinh số 5 khiến bệnh nhân liên tục đau, nóng rát vùng mặt, thậm chí uống giảm đau thông thường không hiệu quả.
BS Đức nhấn mạnh, bệnh nhân Ngọc bọc sứ sai chỉ định, kỹ thuật viên mài quá nhỏ và lấy hết tủy răng, xương hàm hiện đã bị tiêu. Phương án tối ưu phải ghép xương hàm, sau đó cắm implant dựng lại 4 răng cửa, tuy nhiên do bệnh nhân không có điều kiện nên có thể chỉ đắp bột xương, sau đó cấy ghép 2 implant để phục hình sứ bắc cầu.
Chớ ham rẻ mà "rước họa vào thân"

Sai lầm nghiêm trọng của nhiều người là chỉ quan tâm đến giá cả mà không quan tâm đến xuất xứ, chủng loại của răng sứ. Ảnh minh họa.
Bọc răng sứ là phương pháp sử dụng mão sứ chụp lên răng thật (đã được mài nhỏ để làm trụ) nhằm che đi khuyết điểm của răng như sứt mẻ, răng thưa, hô, móm, khấp khểnh, răng nhiễm màu kháng sinh, răng sâu... mang lại một hàm răng trắng, đều và đẹp tự nhiên. Răng sứ thẩm mỹ là xu hướng làm đẹp được nhiều người lựa chọn. Kỹ thuật này đòi hỏi công nghệ cao, bác sĩ thực hiện phải có kinh nghiệm cùng chuyên môn vững chắc để đảm bảo kết quả tốt nhất, hạn chế tối đa các biến chứng sau khi hoàn thành.
Theo bác sĩ, sai lầm nghiêm trọng của nhiều người là chỉ quan tâm đến giá cả mà không quan tâm đến xuất xứ, chủng loại của răng sứ. Nhiều cơ sở nha khoa tung ra các gói bọc răng sứ giá rẻ, kém chất lượng, đánh trúng tâm lý ham rẻ của khách hàng.
Theo bác sĩ, không tuân thủ các kỹ thuật khi bọc răng sứ sẽ gây ra nhiều biến chứng như đau nhức răng kéo dài, hôi miệng, viêm nướu, viêm lợi. Ngoài ra người bọc răng sứ còn có nguy cơ bị lệch khớp cắn, mất chức năng nhai của hàm, viêm tủy, nguy cơ hỏng cả răng gốc, vỡ răng sứ...
LTS: Trong guồng quay hối hả của cuộc sống hiện đại, khát khao sở hữu vẻ đẹp hoàn hảo ngày càng trở nên mạnh mẽ. Phẫu thuật thẩm mỹ, với lời hứa về sự thay đổi diệu kỳ, đã trở thành một lựa chọn không còn xa lạ. Tuy nhiên, đằng sau những ánh hào quang và niềm hy vọng về một "phiên bản" đẹp hơn của bản thân, lại ẩn chứa không ít câu chuyện bi hài, thậm chí là những hậu vận đầy cay đắng.
Trang Đời sống & Pháp luật giới thiệu độc giả tuyến bài "Bi hài hậu vận sau thẩm mỹ" nhằm vén màn những góc khuất ít ai ngờ tới của thế giới "dao kéo". Lắng nghe những lời kể xót xa của những người đã từng đặt trọn niềm tin vào "bàn tay vàng" của các bác sĩ thẩm mỹ, nhưng cuối cùng lại phải đối diện với hiện thực phũ phàng: tiền mất, tật mang, nhan sắc chẳng những không cải thiện mà còn trở nên tồi tệ hơn. Những biến chứng khôn lường, những đau đớn thể xác và cả sự dằn vặt tinh thần đã trở thành gánh nặng đeo bám họ suốt quãng đời còn lại.
Những câu chuyện này không chỉ là lời cảnh tỉnh đanh thép cho những ai đang ấp ủ ý định "trùng tu" nhan sắc, mà còn là hồi chuông gióng lên về trách nhiệm của các cơ sở thẩm mỹ và sự thiếu thông tin, thiếu hiểu biết của một bộ phận không nhỏ khách hàng. Qua những mảnh đời đầy nước mắt và sự hối hận muộn màng, chúng tôi hy vọng quý độc giả sẽ có cái nhìn đa chiều và thận trọng hơn về phẫu thuật thẩm mỹ. Vẻ đẹp thực sự không chỉ nằm ở những đường nét bên ngoài mà còn tỏa ra từ sự khỏe mạnh, tự tin và yêu thương bản thân.










