Tin tức đời sống mới nhất ngày 28/8/2018. Cập nhật tin đời sống mới nhất trên cả nước ngày 28/7/2018 trên trang Đời sống & Pháp luật.
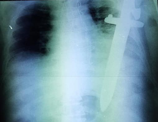
Bệnh nhân vào viện với cây dao còn cắm trên ngực
Ảnh chụp X-Quang cây dao cắm trong ngực bệnh nhân. |
Ngày 27/8/2018, nguồn tin từ Bệnh viện Đa khoa TP Cần Thơ cho biết, các bác sĩ của ngoại Lồng ngực Mạch máu của bệnh viện này vừa phẫu thuật thành công, cứu bệnh nhân tự đâm xuyên thấu ngực trái.
Theo người nhà, trong phút yếu lòng, bệnh nhân đã dùng dao tự đâm vào tim để kết liễu mạng sống.
Kết quả thăm khám cho thấy: bệnh nhân tổn thương từ khoảng liên sườn 3, đường trung đòn bên trái xuyên thủng vào màng tim, thủng cơ hoành, đứt động mạch gây tràn máu màng phổi. Sau khi hội chẩn, bệnh nhân được chỉ định phẫu thuật khẩn cấp.
Bệnh nhân được tiến hành gây mê nội khí quản kiểm soát đường thở. Tiến hành mở ngực phía dưới cây dao và rút dao ra ngoài. Vị trí vết thương thấu ngực đứt bó mạch liên sườn nên các bác sĩ phải khâu cầm máu động mạch. Sau đó, các bác sĩ tiến hành kiểm tra khoang màng tim, màng phổi trái, lượng máu lấy ra được khoảng 700ml. Cuối cùng, các bác sĩ đặt dẫn lưu, khâu vết thương. Trong suốt quá trình phẫu thuật, bệnh nhân phải truyền 2 đơn vị máu. Ca mổ hoàn thành sau hơn 1 giờ.
Theo các bác sĩ, đây là một trường hợp tai nạn thương tích nặng cần xử trí nhanh và chính xác nhằm tránh nguy cơ đáng tiếc có thể xảy ra. Ngoài tiền sử bị thiếu máu cục bộ cơ tim và bệnh nhân còn bị tiểu đường type 2. Bệnh nhân đã phẫu thuật tim bắt cầu mạch vành và đang sử dụng thuốc kháng đông máu. Điều này khiến cho việc cầm máu trong lúc mổ khó khăn và vết thương sau mổ lâu hồi phục.
Hiện bệnh nhân đang được theo dõi và điều trị tích cực.
Thiếu nữ Anh bị liệt do hít 15 quả bóng cười
Olivia Golding trên giường bệnh. |
Sau khi hít 15 quả bóng cười chứa oxit nitơ, Olivia Golding (Anh) bị tổn thương thần kinh, phải di chuyển bằng xe lăn.
Hệ thần kinh của Olivia Golding bị tổn thương nặng nề. Cô không còn cảm giác từ bắp chân lên đến vai, tay cũng mất kiểm soát và không thể cầm nắm. Trước đó, thiếu nữ 24 tuổi bị đau nhói sau lưng.
"Các bác sĩ đang cố gắng chữa trị cho tôi. Tôi cảnh báo mọi người rằng 20 giây 'phê pha' mà một quả bóng cười mang lại có thể khiến bạn phải nằm viện chữa trị nhiều tuần", Golding chia sẻ trên trang cá nhân.
Cô gái trẻ được chẩn đoán mắc bệnh Lichtheim, căn bệnh khiến các bộ phận trên cơ thể ngừng hoạt động. Hiện Golding phải di chuyển bằng xe lăn và điều trị cùng các bệnh nhân tổn thương thần kinh.
Bóng cười là thú tiêu khiển mới của nhiều bạn trẻ vì cảm giác phê, lâng lâng. Đây không phải ma túy mà là quả bong bóng được bơm khí cười oxit nitơ. Theo Cơ quan Y tế Quốc gia Anh, khí oxit nitơ hợp pháp nếu được sử dụng đúng cách, nhưng khi lạm dụng sẽ mang lại cảm giác hưng phấn và ảo giác. Khí này có thể dẫn đến tử vong nếu sử dụng liên tục hoặc hít ở trong phòng kín, thiếu oxy.
"Chắc hẳn đa số mọi người đọc xong bài này sẽ nghĩ chẳng đến lượt mình bị đâu. Trước đây tôi cũng nghĩ như thế cho đến khi chính mình trở thành nạn nhân", Golding cảnh báo.
Nổi u như hạt đậu sau nhấn mí tại spa
TS.BS Phạm Cao Kiêm, Trưởng khoa Phẫu thuật Thẩm mỹ và Phục hồi chức năng (BV Da liễu Trung ương) cho biết, bệnh nhân nữ 28 tuổi vào viện khám sau một năm nhấn mí tại spa.
Bệnh nhân cho biết, người nhấn mí cho chị là một nữ nhân viên spa bình thường, không phải bác sĩ. Sau khi nhấn mí, mắt chị cũng trở về bình thường, mí rõ hơn.
Tuy nhiên, thời gian gần đây, chị thấy mắt có biểu hiện sưng đỏ, phần chỉ nhấn mí bị lộ ra ngoài khiến da nhiễm khuẩn, hình thành u hạt… rất khó chịu. Đợi mãi u không hết, chị vội đến BV Da liễu khám.
Sau nhấn mí mắt bệnh nhân nổi u như hạt đậu. |
TS Kiêm cho biết, bệnh nhân bị u hạt nhiễm khuẩn sau nhấn mí. Tại thời điểm nhập viện, hai bên mí của bệnh nhân nổi nốt đỏ gây đau và khó chịu.
Tại thời điểm nhập viện, bác sĩ khám thấy phần chỉ nhấn mí bị lộ ra ngoài khiến da nhiễm khuẩn, từ đó hình thành u hạt ở cả hai bên mí mắt. Bệnh nhân đã được phẫu thuật u hạt, loại bỏ mủ ở khu vực nhiễm khuẩn và cắt bỏ đoạn chỉ lộ.
TS Kiêm cho biết, u hạt nhiễm khuẩn sau cắt mí nếu không phát hiện và xử lý kịp thời, bệnh nhân có thể bị “ăn mòn” hết mí dẫn tới hoại tử. Đáng nói, tình trạng u hạt sau nhấn mí không phải là hiếm gặp. BV Da liễu Trung ương tiếp nhận điều trị nhiều trường hợp tương tự do nhấn mí tại các spa, cơ sở không uy tín.
Bé trai lõm ngực, tim bị đẩy lệch sang phải
Bé trai 7 tuổi quê Đăk Lăk sinh ra với dị dạng nang tuyến phổi bẩm sinh khổng lồ và lõm ngực nặng. Bác sĩ Bệnh viện Nhi đồng 2 TP HCM phát hiện nang tuyến phổi của bé rất lớn, chiếm gần hết phổi trái, đẩy lệch tim sang hẳn bên phải. Dị dạng nang tuyến phổi bẩm sinh tỷ lệ mắc khoảng 1/12.000 trẻ, còn dị tật lõm ngực tỷ lệ 1/1.000 trẻ. Rất hiếm trường hợp mắc hai dị tật cùng lúc.
Bé trai lõm ngực, tim bị đẩy lệch sang phải. |
Bệnh nhi có thể đối diện với nhiều biến chứng nguy hiểm tính mạng như chèn ép tim và trung thất, cản trở chức năng hô hấp, viêm phổi nặng... Do bé mắc hai dị tật, các bác sĩ chọn phương án mổ cùng lúc vừa cắt thùy phổi qua nội soi vừa nâng ngực lõm cho bé.
Bác sĩ Nguyễn Trần Việt Tánh, Khoa Ngoại Tổng hợp, Bệnh viện Nhi đồng 2 cho biết trường hợp này không giống các ca cắt thùy phổi nội soi thông thường. Bệnh nhi có tổn thương ở thùy dưới phổi trái rất to và viêm dính nhiều vào thành ngực. Do đó ca mổ phức tạp hơn so với dự kiến. Để thành công phẫu thuật viên phải cắt thùy phổi và hoàn thành ca mổ trong thời gian ngắn nhất.
Kíp mổ đã phẫu thuật nội soi lồng ngực cắt thùy dưới phổi trái cho bệnh nhi chỉ trong 2,5 giờ thay vì 3,5 giờ như dự kiến. Sau đó bác sĩ đặt thanh dụng cụ nâng ngực mất thêm một giờ nữa. Bệnh nhi nhanh chóng ổn định sức khỏe sau mổ, được rút ống dẫn lưu lồng ngực, ăn uống tốt. Tái khám sau một tuần, bé hết mệt, ăn uống tốt, ngủ ngon.
Thu Hằng(T/h)














