Mẹ hiến thận cứu sống con gái 26 tuổi
VOV đưa tin, Bệnh viện Đa khoa Đức Giang đã thực hiện thành công ca ghép thận đầu tiên cho một bệnh nhân nữ ở Tuyên Quang vào ngày 8/9. Đến nay, bệnh viện đã thực hiện thành công 3 ca ghép thận và làm chủ được kỹ thuật ghép thận được hướng dẫn đào tạo chuyển giao từ các chuyên gia của Bệnh viện Quân y 103.
Một cuộc sống mới đang đến là tâm sự của chị N.T.B.H (26 tuổi, ở Tuyên Quang) sau khi được ghép thận thành công, với quả thận được hiến từ người mẹ đẻ của mình.
Chị N.T.B.H. được phát hiện suy thận mạn giai đoạn cuối từ đầu năm 2022 và phải chạy thận chu kỳ 3 lần/tuần từ tháng 3/2022, với mong muốn được ghép thận tại Bệnh viện Đa khoa Đức Giang và niềm hy vọng không phải hàng tuần phải đến bệnh viện lọc máu đến 3 lần bất kể ngày mưa hay ngày nắng, ngày lễ hay ngày tết.
Sau thời gian sàng lọc và điều trị trước ghép, bệnh nhân được ghép thận thành công bởi các phẫu thuật viên của Bệnh viện Đa khoa Đức Giang, dưới sự giám sát của các chuyên gia của Bệnh viện Quân y 103.

Chị N.T.B.H hòa hợp với quả thận mới hoạt động tốt, các chỉ số xét nghiệm của thận ghép trong giới hạn bình thường. Ảnh: VOV
Điều đặc biệt ở cặp ghép này là mẹ của bệnh nhân tương đối nhiều tuổi và thể trạng nhỏ hơn so với người nhận nên nguy cơ chức năng thận ghép khó đạt như kỳ vọng. Để ca ghép thành công, cần phải chuẩn bị kỹ lưỡng về nhân lực, hậu cần và cần tiên lượng trước tất cả các kịch bản có thể xảy ra sau ghép vì khả năng thải ghép ở bệnh nhân này tương đối cao.
Với sự chuẩn bị chu đáo về nhân lực, trang thiết bị, ca phẫu thuật ghép thận của bệnh nhân diễn ra theo dự kiến. Sau ghép, sức khỏe cả người cho và người nhận hoàn toàn ổn định, chức năng thận ghép và các chỉ số cận lâm sàng trong giới hạn bình thường và nhanh chóng hồi phục, trở về với cuộc sống thường ngày.
Người mẹ xuất viện sau mổ 1 tuần, sức khỏe ổn định. Chị N.T.B.H hòa hợp với quả thận mới hoạt động tốt, các chỉ số xét nghiệm của thận ghép trong giới hạn bình thường và tiếp tục điều trị duy trì sau ghép, tái khám định kỳ theo hẹn của bác sĩ.
"Tôi rất xúc động trước tình cảm của người thân trong gia đình và sự tận tụy của các y, bác sĩ, nhân viên y tế của Bệnh viện Đa khoa Đức Giang. Tôi không biết nói gì hơn ngoài lời cảm ơn chân thành gửi tới gia đình và các y, bác sĩ, những người đã dành cho tôi trọn vẹn sự yêu thương.
Thời gian trước và sau ghép thận là phần cuộc đời đáng nhớ nhất của tôi. Tôi sẽ luôn biết ơn những người đã cho tôi được một lần nữa sinh ra trong cuộc đời này.
Tôi cũng muốn nói lời cảm ơn đến người đặc biệt nhất cuộc đời mình – mẹ tôi, người đã mang nặng đẻ đau sinh ra tôi, đã hy sinh cho tôi một phần cơ thể để tôi tiếp tục được sống một cuộc đời khỏe mạnh", chị N.T.B.H chia sẻ khi xuất viện.
TS. Nguyễn Văn Tuyên, Trưởng khoa Nội thận - Tiết niệu cho biết: "Để có thể duy trì sự sống thì cứ cách một ngày bệnh nhân phải đến bệnh viện lọc máu 1 lần và ngoài các chi phí bảo hiểm y tế thanh toán thì người bệnh vẫn phải mất một khoản chi phí không nhỏ hàng năm như: các chi phí đi lại, xe cộ và điều khó khăn hơn là những thu nhập của chính họ và của người nhà đi cùng không làm ra được.
Và mặc dù được lọc máu thường xuyên, sức khỏe những người bệnh cũng chỉ có thể làm được những việc nhẹ nhàng, cố gắng tự chăm sóc cho bản thân, còn việc tham gia lao động, công tác, học tập là rất khó. Đối với những bệnh nhân này, nếu được ghép thận, họ sẽ có cơ hội sống khỏe mạnh, sinh hoạt và làm việc bình thường".
Hơn 80 người ở cùng chung cư bị đau bụng buồn nôn
Báo Người Lao Động đưa tin chiều 26/9, ông Hoàng Thế Tùng - Giám đốc Trung tâm Y tế TP.Vinh (tỉnh Nghệ An), cho biết đơn vị này đã lấy mẫu nước sinh hoạt ở tòa chung cư có nhiều người dân bị đau bụng gửi Trung tâm Kiểm soát bệnh tật tỉnh Nghệ An xét nghiệm để xác minh nguyên nhân.

Bể cung cấp nguồn nước cho chung cư. Ảnh: Người Lao Động
Trước đó, ông Trần Đức Kỳ - Trưởng ban quản trị chung cư Golden City 3 (xã Nghi Phú, TP.Vinh), thông tin những ngày gần đây, nguồn nước máy sinh hoạt ở chung cư có đổi màu nhẹ, mùi lạ.
Từ trưa 25/9, nhiều người dân ở chung cư bắt đầu xuất hiện các triệu chứng bụng đầy hơi, đau bụng, buồn nôn. Đến ngày 26/9, đã có hơn 80 người xuất hiện triệu chứng đau bụng, nôn, tụt huyết áp, trong đó có 7 người nặng hơn phải nhập viện điều trị.
Được biết, do nghi ngờ nguồn nước là nguyên nhân dẫn tới các triệu chứng đau bụng, buồn nôn, từ tối 25/9, cư dân ở chung cư Golden City 3 cũng đã tạm dừng sử dụng nước máy, mua nước lọc đóng bình để về nấu ăn, uống.
Cứu người đàn ông 63 tuổi bị tụ máu não nguy kịch
Theo Người Đưa Tin Pháp Luật, ngày 26/9, thông tin từ Bệnh viện Hữu nghị Việt Nam – Cuba Đồng Hới (tỉnh Quảng Bình), các y, bác sĩ tại bệnh viên vừa cứu sống thành công một người đàn ông nhập viện trong trạng thái nguy kịch.
Cụ thể, trung tuần tháng 9, nam bệnh nhân P.V.H. (63 tuổi) được người nhà đưa đến nhập viện tại khoa Ngoại thần kinh Bệnh viện Hữu nghị Việt Nam – Cuba Đồng Hới, với chấn thương ở vùng đầu.
Khai thác tiền sử, người nhà bệnh nhân cho biết, trước đó ông H. bị ngã rồi về nhà nằm ngủ. Sau đó, người nhà gọi mãi không thấy ông H. dậy, kiểm tra thì phát hiện ông H. hôn mê nên đưa ngay đến bệnh viện.
Ths.BS Nguyễn Mạnh Linh ở khoa Ngoại Thần kinh Bệnh viện Hữu nghị Việt Nam – Cuba Đồng Hới chia sẻ, thời điểm tiếp nhận, bệnh nhân hôn mê rất sâu. Khám lâm sàng cho thấy điểm tri giác của bệnh nhân rất thấp, gần như chết não.
"Theo thang điểm tri giác 15 điểm là người bình thường, 3 điểm là chết não thì bệnh nhân này chỉ có 4 điểm. Chúng tôi nhanh chóng thực hiện các chỉ định cận lâm sàng để đánh giá tình trạng và đưa ra phương án điều trị", bác sĩ Linh cho biết.
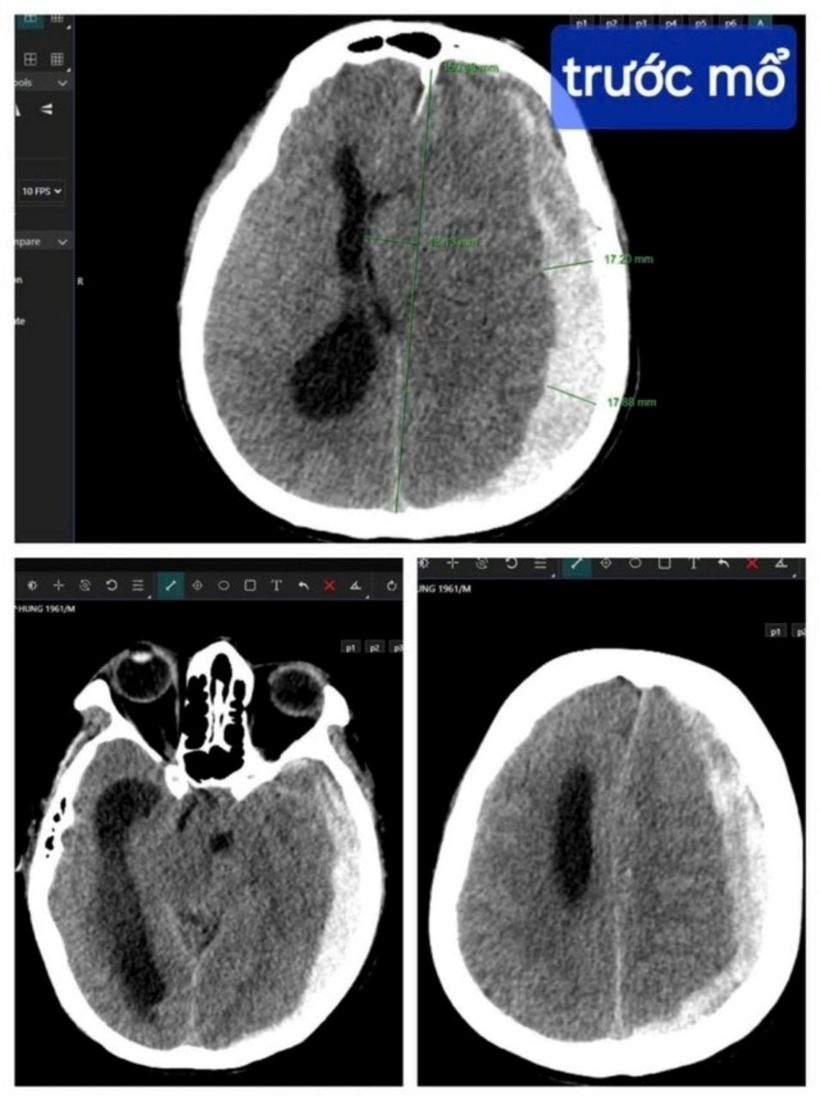
Kết quả cho thấy bệnh nhân tiên lượng xấu, bệnh nhân bị tụ máu dưới màng cứng bán cầu não trái, thoát vị qua liềm đại não sang phải. Khi tính mạng của bệnh nhân đang "ngàn cân treo sợi tóc", bác sĩ giải thích với gia đình tình trạng bệnh và đề xuất phương án điều trị.

Hình ảnh trước và sau ca phẫu thuật. Ảnh: Người Đưa Tin Pháp Luật
Báo động đỏ được kích hoạt để thực hiện ca mổ khẩn, y bác sĩ, kỹ thuật viên liên chuyên khoa Ngoại Thần kinh – Gây mê – Hồi sức tích cực – Huyết học được điều động. Vừa phẫu thuật, ekip vừa liên hệ xin máu để chuyền cho bệnh nhân.
Trong phòng mổ, kíp mổ tiến hành mở hộp sọ, lấy máu tụ và cầm máu cho bệnh nhân. Ngoài phòng mổ, người thân của bệnh nhân H. lo lắng đứng ngồi không yên bởi tình trạng ông H. như "ngàn cân treo sợi tóc".
"Bác sĩ nói rằng tình trạng của bố rất nguy kịch, tỷ lệ thành công của ca mổ rất thấp. Dù biết cơ hội sống thấp nhưng chúng tôi đồng ý mổ vì tin tưởng vào các bác sĩ", anh Phan Quốc Vĩ - con trai ông H. nhớ lại.
Ca phẫu thuật kéo dài hơn 2 giờ diễn ra suôn sẻ và thành công. Nhận tin từ bác sĩ, gia đình ông H. vui mừng khôn siết, với họ, ông H. như được sống lại lần 2.
Sau phẫu thuật các chỉ số sinh tồn dần ổn định, bệnh nhân được chuyển điều trị tích cực. Những ngày sau đó, sức khỏe bệnh nhân dần ổn định, tỉnh táo, vết mổ tốt, vận động bình thường. Sau 10 ngày tại bệnh viện, ông H. được chỉ định xuất viện.
"Lúc mổ bệnh nhân hôn mê rất sâu, với mức điểm tri giác thì tỷ lệ tử vong sau mổ là khoảng 97%. Nhưng với suy nghĩ phải làm tất cả dù cơ hội nhỏ nhất vì sự sống của bệnh nhân chúng tôi vẫn tiến hành mổ.
Sau mổ bệnh nhân tỉnh táo, phục hồi tốt, đây có thể gọi là ca bệnh hy hữu. Có kết quả đó ngoài sự may mắn còn có sự nỗ lực của các y bác sĩ liên chuyên khoa", bác sĩ Linh nói.










