![]() |
| Ronaldo đang trải qua sự nghiệp thăng hoa. |
![]() |
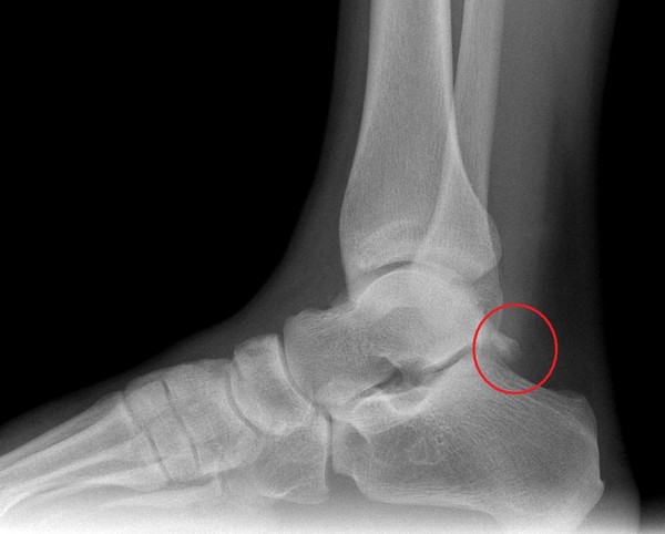
| Hình ảnh chiếc xương thừa của Ronaldo. |
![]() |
| Ronaldo đang trải qua sự nghiệp thăng hoa. |
![]() |
| Hình ảnh chiếc xương thừa của Ronaldo. |
.jpg)
(ĐSPL) - Lộ tân binh đầu tiên của M.U, Arsena sắp có sao Real, Liverpool rút ruột Sevilla... là những tin tức mới nhất được báo đời sống pháp luật cập nhật.
Cảm ơn bạn đã quan tâm đến nội dung trên.
Hãy tặng sao để tiếp thêm động lực cho tác giả có những bài viết hay hơn nữa.
.jpg)
(ĐSPL) - Lộ tân binh đầu tiên của M.U, Arsena sắp có sao Real, Liverpool rút ruột Sevilla... là những tin tức mới nhất được báo đời sống pháp luật cập nhật.

(ĐSPL) - Cầm dao đâm nhau với giang hồ trong những chuyến trốn trại đi đêm, cãi lại huấn luyện viên, ăn cắp đồ ăn của đồng đội.. đó là những chiến tích bất hảo của Cristiano Ronaldo khi còn khoác áo Sporting Lisbon.

(ĐSPL) – Một hình ảnh gây sốc vừa được truyền tải với tốc độ chóng mặt trên mạng Internet. Theo đó Lionel Messi đã bí mật đi cổ vũ kình địch Ronaldo.

(ĐSPL) - HLV bóng đá Ronan McCormack của CLB Eastern Harps GAA (Ailen) mới đây đã bị bắt và hầu tòa do bị cáo buộc tấn công tình dục, hiếp dâm nhiều học trò.