Anh Sơn nhập viện trong tình trạng vết thương phức tạp: dập nát 1/3 dưới cẳng tay, đứt da tay toàn bộ vùng cẳng tay, mất nhiều máu, gãy xương, đứt động mạch, đứt gân cơ.
Gia đình anh cho biết, nguyên nhân do anh bị xe gòng chèn phải trong lúc đang làm việc tại nhà máy gạch.
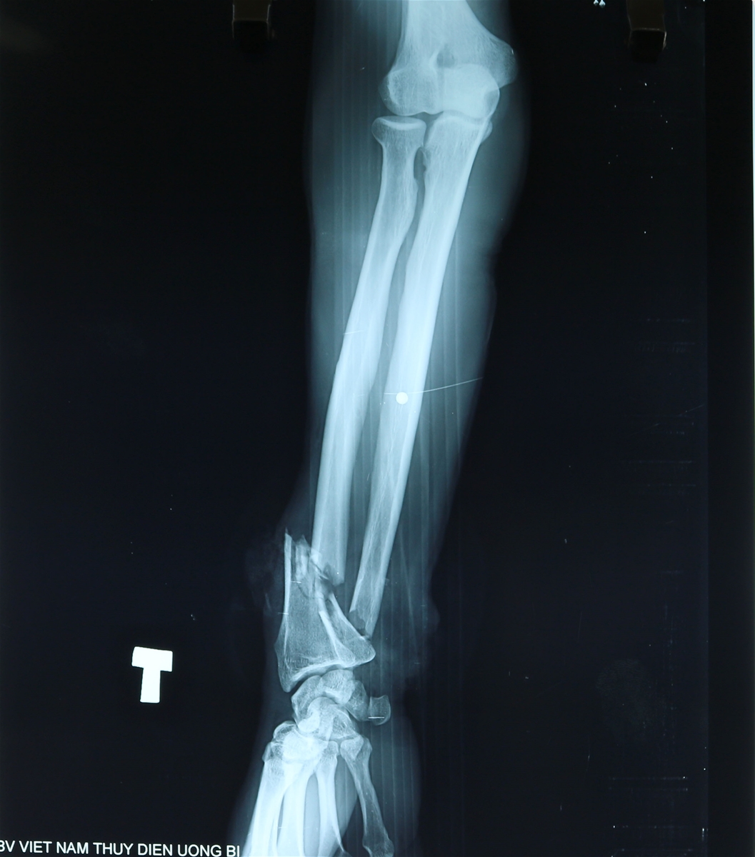
| Hình ảnh cẳng tay gần như đứt lìa của anh Sơn |
BSCKI. Nguyễn Đức Hoành - Trưởng khoa Phẫu thuật Can thiệp tim mạch & Lồng ngực cho biết người bệnh Sơn nhập viện trong tình trạng rất nặng, do đứt động mạch, đứt da toàn bộ vùng cẳng tay, mất nhiều máu, nếu không được tiến hành phẫu thuật cấp cứu kịp thời thì nguy cơ người bệnh phải cắt bỏ cẳng tay và nguy hiểm hơn có thể đe dọa đến tính mạng.
Sau khi tiến hành hội chẩn, các bác sĩ đã nhanh chóng tiến hành chuyển người bệnh tới phòng phẫu thuật. Hai kíp phẫu thuật được triển khai: một kíp phẫu thuật cố định xương cẳng tay và một kíp phẫu thuật khâu nối mạch máu, nối cơ, gân gấp, gân duỗi cẳng tay trái. Sau 3 giờ, ca phẫu thuật diễn ra thành công.
Hiện tại sức khỏe người bệnh Lê Văn Sơn đã ổn định. Tay của người bệnh sau khi được nối đã hồng hào, các ngón tay đã cử động được, cảm giác tốt.
Người bệnh sẽ được các bác sĩ hướng dẫn tập các bài tập vật lý trị liệu giúp hồi phục gân gấp duỗi để cẳng tay trái của người bệnh có thể hoạt động bình thường.












