Người phụ nữ đến từ Dundee, Scotland đã bị kính áp tròng kẹt trong mí mắt suốt 28 năm mà không hề hay biết.
Một vận động viên cầu lông người Scotland bị quả cầu bắn vào mặt năm 14 tuổi. Khi ấy, do không thấy kính áp tròng bên trái còn trong mắt, cô nghĩ nó đã rơi ra ngoài. Tuy nhiên, kính áp tròng này đã rơi ngược vào trong mí mắt cô sau tai nạn.
Cụ thể đến năm 42 tuổi, cô bỗng thấy mí mắt trái có cảm giác đau nhức, sưng phồng nhẹ. Sau 6 tháng chịu đựng cuối cùng cô đã quyết định đi khám tại một cơ sở y tế.
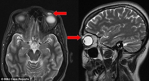
Kết quả chụp cắt lớp vị trí khối u trên mắt người phụ nữ. Ảnh: BMJ Case Reports |
Bằng công nghệ chụp cắt lớp MRI, các bác sỹ nhận thấy có một cục u nhỏ với kích thước 8mm x 4mm x 6mm cho rằng đó là u nang và quyết định lấy bỏ nó ra khỏi mắt bệnh nhân. Nhưng sau khi ca tiểu phẫu hoàn thành, họ mới phát hiện cục u đó thực chất là chiếc kính áp tròng đã rạn vỡ dính vào mí mắt bệnh nhân cách đây 28 năm.
Bác sĩ Sirjhun Patel tại cơ sở y tế cho biết: "Đó là một chiếc kính áp tròng loại RGP (kính cứng)”. Các bác sỹ hiện vẫn chưa thế giải thích lý do vì sao kính áp tròng yên vị tại đó gần 30 năm mà không gây cộm hay viêm mà chỉ mới rạn nứt cách đây nửa năm khiến người phụ nữ khó chịu.
Cận cảnh chiếc kính áp tròng kẹt trong mắt người phụ nữ suốt 28 năm. Ảnh: BMJ Case Reports |
Hiện tại vùng mí mắt sưng của cô đã được trị khỏi nhưng vẫn còn di chứng khiến cô bị sụp vĩnh viễn một bên mí mắt.
Trong lịch sử y khoa thế giới từng có 4 trường hợp kính áp tròng di chuyển do va chạm với vùng mắt. Nhưng đây là trường hợp mà kính áp tròng nằm trong mắt lâu nhất từng thấy, trong khi hầu như không hề có triệu chứng nào biểu hiện ra ngoài.
Bích Nga (T/h)












