Một bệnh nhân 57 tuổi tại Úc đã thoát chết khi bị 2 lít phân tích tụ trong cơ thể sau 3 ngày táo bón.
Người đàn ông giấu tên này đã nhập viện và điều trị tại bệnh viện Footscray trong tình trạng đau dạ dày dữ dội, buồn nôn và táo bón. Ông nói với các bác sĩ rằng ông bị táo bón 3 ngày nay và chân phải bị liệt khoảng 24 tiếng.
Sau khi các bác sĩ làm các xét nghiệm cần thiết và phát hiện khối lượng phân khổng lồ tích tụ trong đại tràng.
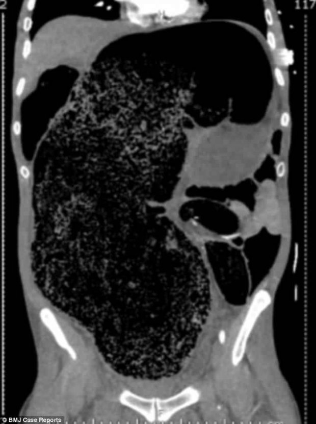
Ảnh chụp CT cho thấy lượng phân khổng lồ tích tụ trong khoang bụng bệnh nhân. |
Theo chẩn đoán của các bác sĩ, khối lượng phân lớn tích tụ trong cơ thể này là nguyên nhân chính dẫn tới tình trạng đau đớn của bệnh nhân, bởi nó chèn ép các nội tạng xung quanh của người đàn ông như tăng áp lực lên dạ dày, làm tắc các mạch máu lưu thông xuống chân, làm tổn thương thận.
Đồng thời, vì lượng phân rắn tích quá nhiều, người đàn ông bị táo bón nặng. Phân không được thải ra ngoài, ngày qua ngày cứ tích tụ dần trong khoang bụng của bệnh nhân.
Một bác sĩ cho biết, sự tích tụ phân trong cơ thể nguy hiểm hơn chúng ta tưởng. Nó gây ra các chứng như sưng trực tràng, mất cảm giác trong và ngoài hậu môn, ruột không điều tiết, chảy máu từ hậu môn, sa trực tràng (hội chứng này cũng có thể xảy ra ở những người bị táo bón mãn tính)
Sau khi xác định rõ nguyên nhân, các bác sĩ tiến hành thụt tháo hết số phân tắc nghẽn ra khỏi cơ thể người đàn ông 57 tuổi. Tại đây, hơn 2 lít phân từ đại tràng của bệnh nhân đã được lấy ra.
Sau 4 ngày điều trị tại bệnh viện, người đàn ông đã được xuất viện. Thế nhưng, ông ta cũng mất tới 13 ngày để tập luyện mới có thể đi lại bình thường.
Kiều Trang(T/h)











