Đang chạy xe máy trên đường, thanh niên bị một sợi dây cáp viễn thông rơi xuống, cuốn vào người khiến ngón tay cái bị đứt lìa.
Ngày 21/2, thông tin từ Bệnh viện Chấn thương Chỉnh hình, TPHCM, cho hay, tại đây vừa tiếp nhận và can thiệp cho một trường hợp bị đứt lìa ngón tay sau tai nạn. Bệnh nhân là Nông Đại Hồng Đ. (19 tuổi) ngụ tại Đà Lạt nhập viện trong tình trạng bị đứt lìa đốt ngón cái của bàn tay phải do vướng vào dây cáp viễn thông.
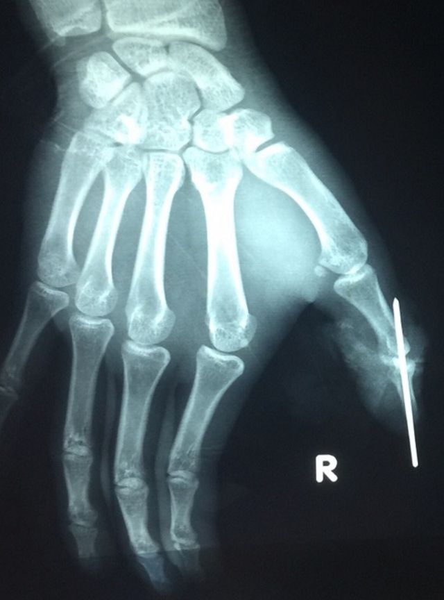
Các bác sĩ đã tiến hành cắt lọc hoại tử; kết hợp lại xương; dùng kĩ thuật "siêu vi phẫu" nối động mạch đốt xa ngón cái (đường kính động mạch ở vi trí này nhỏ dưới 1mm); nối thần kinh và tĩnh mạch ngón cái; nối lại gân để đảm bảo vận động cho bệnh nhân.
Sau cuộc vi phẫu, đốt ngón bị đứt lìa được tưới máu tốt, hiện ngón tay đã sống lại. Bệnh nhân được tiếp tục theo dõi để tránh nguy cơ nhiễm trùng, hoại tử. Bác sĩ nhận định sau khi bình phục, các chức năng ngón tay cái bị đứt của bệnh nhân sẽ không bị ảnh hưởng nhiều.
Phim chụp bàn tay bệnh nhân sau cuộc "siêu vi phẫu" - Ảnh: Dân trí. |
Bệnh nhân cho biết khi đang chạy xe máy từ nơi làm việc về nhà thì bị một sợi dây cáp viễn thông từ trên cao rơi xuống, cuốn vào tay lái và vướng vào mặt, 2 tay, nhưng Đ. không dừng xe.
Lúc này, dây vướng vào phía tay trái bung ra, nhưng tay phải (điều khiển ga xe máy) vẫn bị dây cáp viễn thông cuốn chặt và đau nhói. Khi bệnh nhân thắng xe lại thì phát hiện ngón cái của bàn tay phải bị dây cắt đứt lìa.
“Tay trái em tự gỡ sợi dây ra được còn tay phải bị vướng vào. Theo quán tính, em giật mạnh tay thì phát hiện đốt ngón tay đã bị đứt” - Đ. kể lại.
Sau khi tìm được đốt ngón tay bị đứt lìa, bệnh nhân vội chạy tới bệnh viện địa phương. Tại đây nạn nhân được sơ cứu, bảo quản phần chi bị đứt trong túi nylon cột kín, bỏ vào thùng đá lạnh và nhanh chóng chuyển đến Bệnh viện Chấn thương Chỉnh hình, TP HCM để chữa trị.
Minh Minh(T/h)











