Ngày 9/7, Bệnh viện Chợ rẫy (TP Hồ Chí Minh), cho biết đã tiếp nhận bệnh nhân L.Q.H (55 tuổi) khi đang trong tình trạng ho liên tục 4 tháng qua, có khi ho ra máu.
Bệnh nhân làm nghề sửa tàu biển, 4 tháng trước trong khi đóng đinh vào thân tàu, bệnh nhân có há to miệng không ngờ chiếc đinh trên tay văng vào miệng ông sau đó rớt xuống phổi, nhưng vì nghèo, bệnh nhân đã không chịu đến bệnh viện khám.
Sau 4 tháng, bệnh nhân ho liên tục có khi ho ra máu nên tìm đến Bệnh viện tuyến tỉnh khám, sau khi chụp CT phát hiện có dị vật trong phổi đã được chuyển lên tuyến trên.
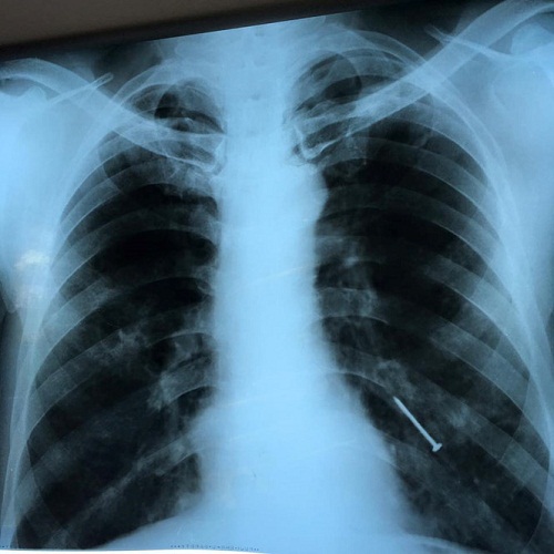
Dị vật là cây đinh dài khoảng 6cm đã gỉ sắt. Ảnh: Báo Thanh niên |
Bác sĩ Phạm Thị Vân Thanh, Khoa Nội soi, BV Chợ Rẫy, TP.HCM chia sẻ với báo VTC News cho biết, ekip điều trị đã tiến hành nội soi bằng ống mềm, gắp thành công dị vật là cây đinh đã gỉ dài khoảng 6cm khỏi phế quản của bệnh nhân. Sau khi lấy dị vật, tình trạng ho ra máu của bệnh nhân được khắc phục, chỉ còn viêm phổi nhẹ, dự kiến sẽ nhanh chóng tự hết.
Bác sĩ cho biết, may mắn bệnh nhân vẫn chưa bị uốn ván vì cây đinh đã gỉ sét, nếu không thì tình trạng rất nguy hiểm vì cây đinh để quá lâu có thể gây áp xe phổi, giãn phế quản hay viêm phổi, ho ra máu như trường hợp này.
Trước tình cảnh quá khó khăn của bệnh nhân, bác sĩ điều trị tại Bệnh viện Chợ Rẫy đã đóng giúp viện phí để ông xuất viện.
Minh Phạm(T/h)










