Ngày 3/8, VietNamNet đưa tin về trường hợp của bệnh nhân L.T.D (68 tuổi, ở Hà Nội). Theo đó, người bệnh đến Trung tâm Y học hạt nhân và Ung bướu, Bệnh viện Bạch Mai vì bị đau bụng. Cách thời điểm vào viện khoảng 3 tháng, bệnh nhân xuất hiện cơn đau bụng vùng hố chậu trái, thỉnh thoảng rối loạn tiêu hóa (lúc lỏng, lúc táo), mệt mỏi, ăn kém, gầy sút 5 kg trong 3 tháng.
Được biết, bệnh nhân tiền sử khỏe mạnh (cao 1,65m, nặng 50kg), không bị dị ứng, không hút thuốc lá, gia đình cũng không có người nào bị ung thư. Tiến hành nội soi đại trực tràng, các bác sĩ phát hiện khối u sùi loét vùng đại tràng sigma gây hẹp lòng đại tràng.
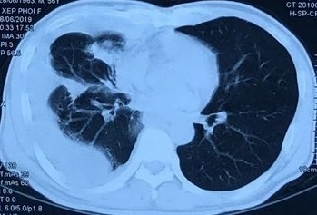
Sinh thiết tổn thương làm mô bệnh học, bệnh nhân nhận kết quả ung thư biểu mô tuyến biệt hóa vừa. Kết quả chụp cắt lớp vi tính ổ bụng cho thấy hình ảnh khối nhu mô gan hạ phân thùy V gan phải, kích thước 25x36 mm. Bệnh nhân được chẩn đoán ung thư đại tràng sigma di căn phổi, gan (giai đoạn IV).
Người bệnh có chỉ định phẫu thuật triệt căn (phẫu thuật cắt đoạn đại tràng Sigma và nhân di căn gan), sau đó điều trị bổ trợ sau phẫu thuật. Tuy nhiên, vì gia đình và bệnh nhân không đồng ý phẫu thuật nên các bác sĩ chọn phương án liệu pháp toàn thân kết hợp với đốt sóng cao tần nhân di căn gan. Bệnh nhân đáp ứng với phương pháp điều trị, các triệu chứng lâm sàng được cải thiện tốt. Phác đồ đã giúp kéo dài thời gian sống cho bệnh nhân.

Ung thư đại tràng là ung thư gây tử vong cao thứ 4 trên thế giới sau ung thư phổi, ung thư dạ dày và ung thư gan nhưng nếu được phát hiện ở giai đoạn sớm, tỷ lệ được chữa khỏi lên đến 90%. Dưới đây là các dấu hiệu sớm cảnh báo ung thư đại tràng mà mọi người cần lưu ý:
Rối loạn tiêu hóa kéo dài
Ung thư đại trực tràng có biểu hiện ở mọi bộ phận liên quan tới tiêu hóa. Một số dấu hiệu thường gặp như hơi thở hôi, hay ợ hơi, ợ chua, đau tức vùng bụng trước hoặc sau khi ăn. Đau quặn bụng, đau râm ran là biểu hiện của rối loạn tiêu hóa do nhiễm khuẩn. Tuy nhiên, ở một số trường hợp lại báo hiệu sự tồn tại ở các khối u ở dạ dày – ruột.
Chán ăn, khó tiêu, đầy trướng bụng trên vùng rốn, ăn không ngon cũng là tình trạng thường thấy ở người bệnh ung thư đại tràng. Tình trạng này kéo dài khiến cơ thể mệt mỏi, sút cân.
Xuất hiện máu trong phân
Đại tiện kèm máu đỏ tươi, nhỏ giọt, phủ lên phân. Ở một số trường hợp, vào giai đoạn cuối, người bệnh còn thấy hậu môn trực tràng sa xuống, toàn thân gầy đi, số lần đại tiện tăng, lúc bị táo bón, lúc lại tiêu chảy.
Lưu ý, đại tiện ra máu do trĩ thường là máu tươi, còn bệnh nhân ung thư trực tràng thường xuất huyết dưới dạng máu lẫn với nhầy, vì máu chảy ở niêm mạc vùng ung thư có thể bị viêm nên tiết nhầy.
Phân mỏng, hẹp so với người bình thường
Tình trạng phân mỏng rất có khả năng do một vật cản giống như một khối u khiến phân bị chặn lại. Nếu phân có kích thước mỏng như một chiếc bút chì hoặc có hình lá lúa do phải đi qua khối u thì cần cảnh giác với ung thư đại tràng.
Giảm cân bất thường
Không được chủ quan nếu đột ngột giảm cân mà không phải do tập luyện hoặc ăn kiêng. Đây rất có thể là dấu hiệu của ung thư, đặc biệt là ung thư đại tràng, dạ dày hoặc các bộ phân khác liên quan tới đường tiêu hóa.
Các rối loạn liên quan bài tiết phân
Đại tràng là cơ quan bài tiết phân trong quá trình tiêu hóa, do đó ở giai đoạn sớm, bệnh nhân thường gặp chứng rối loạn đại tiện, bài tiết phân như đi táo, đi lỏng thất thường, tình trạng này kéo dài.
Ung thư đại trực tràng thường khiến bệnh nhân đau quặn, mót rặn, khó chịu khi đi ngoài. Khi đi đại tiện, người bệnh thường bị đau quặn, mót rặn, phân nhày mũi máu và phân nát, phân hình lá lúa (do phân phải đi qua khối u), đi xong vẫn muốn rặn tiếp.
Mệt mỏi và suy nhược
Mệt mỏi do ung thư đại tràng thường liên quan tới thiếu máu do mất máu trong phân. Ngay cả khi đã nghỉ ngơi, bệnh nhân vẫn cảm thấy kiệt sức, suy nhược cơ thể một cách nhanh chóng mà không rõ nguyên nhân.
Ngoài các triệu chứng nói trên, ở giai đoạn muộn, bệnh nhân ung thư đại tràng có thể sờ thấy cả khối u nổi ở dưới da bụng, vàng da, bụng to dần...
Đinh Kim(T/h)








